|Slideshows|February 19, 2012
Test Antrochoanal Polyp Case Study
Advertisement
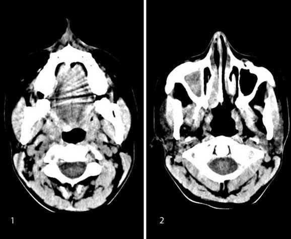
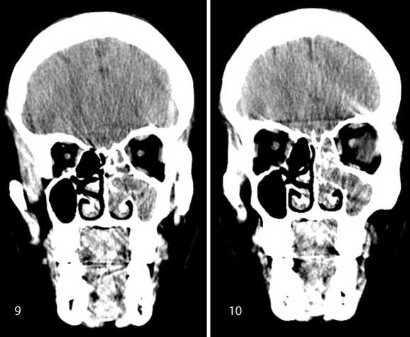
Case history: A 35-year-old patient with history of unilateral nasal obstruction.
Newsletter
Stay at the forefront of radiology with the Diagnostic Imaging newsletter, delivering the latest news, clinical insights, and imaging advancements for today’s radiologists.
Advertisement
Advertisement
Advertisement
Trending on Diagnostic Imaging
1
Assessing the Potential Impact in Radiology for GE HealthCare’s Acquisition of Intelerad
2
RSNA: CCTA Study Reveals Link Between Common Air Pollutants and Coronary Artery Stenosis
3
Diagnostic Imaging's Weekly Scan: November 30 — December 6
4
The Potential of Mammography Image-Based AI Models for Assessing Risk: An Interview with Constance Lehman, MD
5
























