
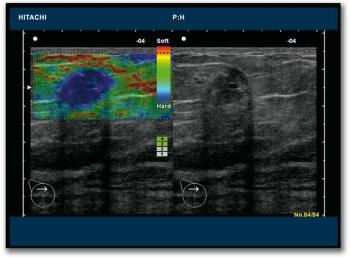
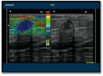
The exhibition booths occupied by vendors of ultrasound systems at ECR 2010 are likely to be very busy places throughout the congress. Difficult economic conditions are causing a dip in global demand for the more capital-intensive modalities like CT and MRI, and hospital managers are keen for their staff to explore the clinical potential of this versatile and cost-effective technology.














