
European radiologists should have specialist training in emergency radiology, just as happens in the U.S., delegates were told at ECR 2010 in Vienna.

European radiologists should have specialist training in emergency radiology, just as happens in the U.S., delegates were told at ECR 2010 in Vienna.

Would you drink a half-liter of cream? Not the most appealing prospect, but Prof. David Lomas did just that to check the robustness of liver fat as an imaging biomarker and self-experiment.

The lungs have quite literally been a black hole for MRI for many years.

The lungs have quite literally been a black hole for MRI for many years. Now advances in hardware and imaging techniques are helping lung MRI move into the clinical arena.

European radiologists should have specialist training in emergency radiology, just as happens in the U.S., ECR delegates were told Friday.

The topic of radiation protection has moved steadily up the political agenda over the past decade. Headline-grabbing research detailing the rise in medical radiation exposure and forging a link between imaging and cancer has helped to focus attention on the need to do something. But what exactly should be done? Tighter legislation, better self-regulation, or improved education? The probable answer is all three.

People, not images, were the stars of the show at the ECR 2010 Josef Lissner honorary lecture. Prof. Suzanne Anderson used her 30-minute timeslot to link inspirational teachers and mentors to the future of musculoskeletal radiology.

Would you drink a half-liter of cream? Not the most appealing prospect, but Prof. David Lomas did just that to check the robustness of liver fat as an imaging biomarker and self-experiment.

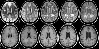
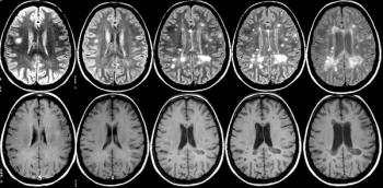
MRI is useful in early multiple sclerosis diagnosis, improving efficacy of drug treatments. Work is under way to also identify biomarkers that signal treatment success.

“Trust us; it's not in our interest to offera substandard service.”

There is a growing consensus that interventional radiologists should take over the management of deep vein thrombosis (DVT) to resolve the continued undertreatment of patients.

Music, alcohol, perhaps a few drugs, little sleep, and an extremely slippery dance floor make for an undeniably dangerous cocktail.

A combination of loud music, alcohol, drugs, and rainy weather churn a dangerous brew that can lead to musculoskeletal injuries. At the U.K.’s mammoth Glastonbury music festival in June they were evaluated with onsite diagnostic imaging services.

The International Atomic Energy Agency has launched an effort to create a running total of how much medical radiation patients are exposed to over time by issuing smart cards and modifying electronic medical records.

The International Atomic Energy Agency has launched an effort to create a running total of how much medical radiation patients are exposed to over time by issuing smart cards and modifying electronic medical records.

Applications for ultrasound contrast continue to grow, fueled by the safety and stability of microbubble agents and the widespread availability of ultrasound units, according to speakers at ECR 2009.

The absence of ionizing radiation is one of the main arguments in favor of interventional MRI, but even fervent supporters of this technology appreciate the many practical difficulties involved in providing real-time MR image guidance.

Radiologists must learn from the words of Charles Darwin: embrace change and adapt.

Forensic radiography sessions have become a fixture at medical imaging conferences. Delegates are guaranteed a good visual show, with presenters displaying many novel images seldom seen in clinical radiology departments.

Mountaineering metaphors provided the framework for Sunday’s Josef Lissner honorary lecture: Ode to the liver.

Mountaineering metaphors provided the framework for Sunday’s Josef Lissner honorary lecture: Ode to the liver.

Coughing, shortness of breath, chest pain, chest tightness, and an abnormal breathing pattern are common indications of lung disease. The question is which one?

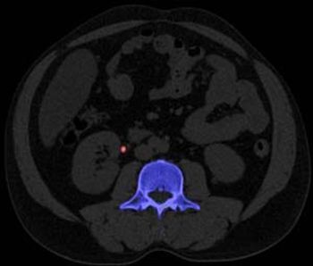
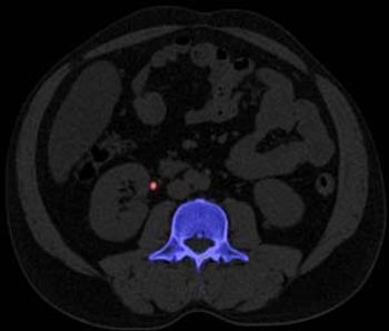
Rheumatoid arthritis, which affects approximately 2.9 million people in Europe, can be difficult to differentiate from other forms of arthritis. Without an early diagnosis, however, it is impossible to assess the true effect of promising early intervention strategies. Could an alternative diagnostic imaging strategy be the answer?

If radiologists could design the perfect modality for guiding interventional procedures, the resulting technology would undoubtedly produce high-quality images without exposing patients to any ionizing radiation. So given the widespread availability of MRI, why are so many interventions still performed in the angiography suite?

Yes, size does matter, but it is certainly not the only way to monitor the efficacy of cancer treatment. The way in which lesions are measured is extremely important as well, ECR delegates were told at a special focus session on the assessment of tumor response.

Prof. Hedvig Hricak told delegates during Friday’s opening lecture that they must learn from the words of Charles Darwin: embrace change and adapt.

Forensic radiography sessions have become a fixture at medical imaging conferences. Delegates are typically guaranteed a good visual show, with presenters displaying many novel images that would seldom be seen in clinical radiology departments. The sessions are, to some extent, radiology’s own shock and awe.

Prof. Hedvig Hricak told delegates during Friday’s opening lecture that they must learn from the words of Charles Darwin: embrace change and adapt.

Slice wars have long dominated advances in CT technology. That situation is changing, and the market appears ripe for innovation. Energy-dependent imaging, a topic first aired over two decades ago, is back on the agenda

The High Flux Reactor in Petten, the Netherlands, is back online after its lengthy unscheduled closure, following special approval from the Dutch Council of Ministers.

Published: June 1st 2005 | Updated:

Published: October 1st 2006 | Updated:

Published: June 24th 2005 | Updated:

Published: February 17th 2009 | Updated:

Published: March 6th 2009 | Updated:

Published: March 10th 2009 | Updated: