
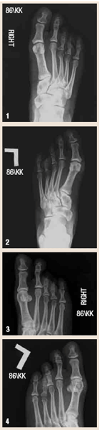
This 41-year-old woman presented with a known history of bilateral foot deformities and new complaints of bilateral foot pain. She had associated hallux valgus deformities.

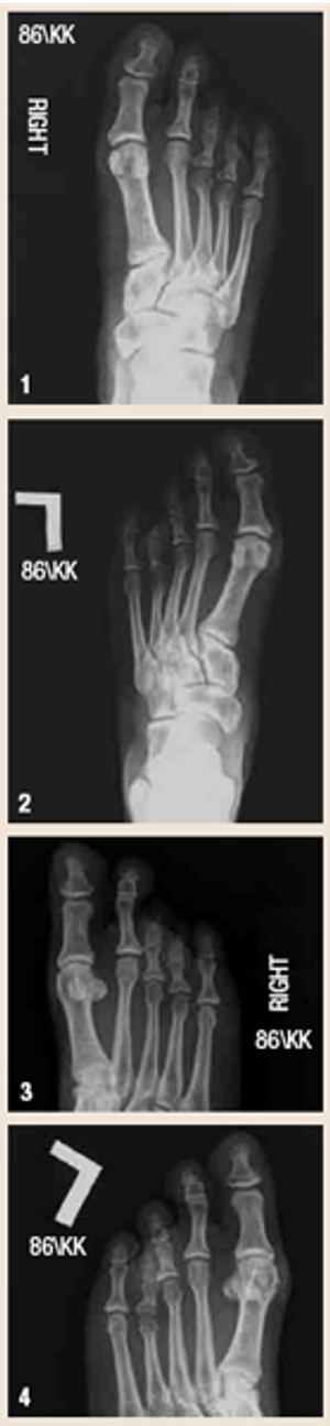
This 41-year-old woman presented with a known history of bilateral foot deformities and new complaints of bilateral foot pain. She had associated hallux valgus deformities.

A 13-year-old girl presents with abdominal pain, right lower quadrant tenderness, guarding, elevated lipase, and a history of gastroesophageal reflux disease.

Published: January 22nd 2008 | Updated:

Published: June 27th 2011 | Updated: