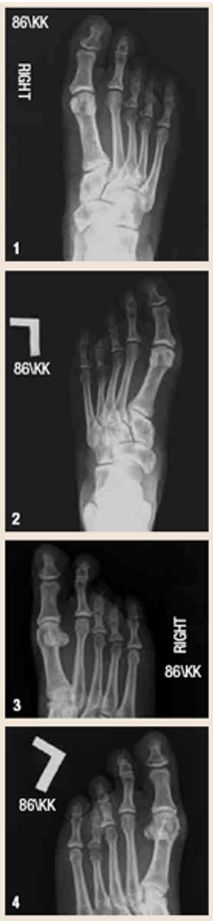
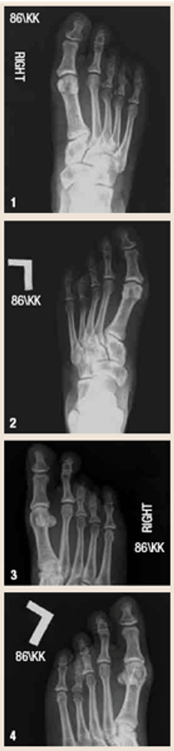
Bilateral brachymetapodyByAndrew Allmendinger, DO,Paul Yeghiayan, MD,Robert Perone, MDJune 27th 2011This 41-year-old woman presented with a known history of bilateral foot deformities and new complaints of bilateral foot pain. She had associated hallux valgus deformities.