
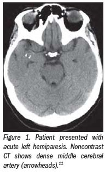
CT perfusion for stroke leaped from clinical discussion forums to the front pages in the last 13 months.

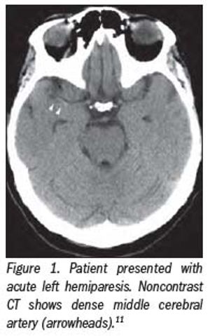
CT perfusion for stroke leaped from clinical discussion forums to the front pages in the last 13 months.

Contrast-enhanced FLAIR is more sensitive than other MRI techniques due to T2 prolongation and T1 shortening.

When considering which is the most sensitive MRI technique for detecting disease in the brain, the choice is usually between contrast-enhanced T1-weighted imaging and T2-weighted fluid-attenuated inversion recovery (FLAIR) imaging.

Like an expanding bubble, the number of MR applications continues to rise exponentially. Looking back over the last 27 years, I see several major MRI epochs: low- to midfield systems (late 1970s to mid-1980s), 1.5T with 10 mT/m gradients (mid-1980s to mid-1990s), and 1.5T with echo-planar gradients (mid-1990s to early 2000s). We entered a new epoch a few years ago: 3T with echo-planar gradients. Examining changes currently occurring, and understanding why they occur, can help us predict further changes to come over the next decade.

Since the introduction of cardiac catheterization in the 1940s, development and implementation of cardiovascular imaging techniques have been a collaborative effort among several specialties, particularly radiology and cardiology. Many pioneers in CV imaging have held joint appointments.

Since the introduction of cardiac catheterization in the 1940s, development and implementation of cardiovascular imaging techniques have been a collaborative effort among several specialties, particularly radiology and cardiology. Many pioneers in CV imaging have held joint appointments.

During the two decades in which MR has been used clinically, progress has been more sporadic than steady. If one were to plot it out, MR advances would be represented by a series of steep climbs followed by plateaus, rather than by a slow, steady climb. The steep parts include the transition from resistive to superconducting magnets in the early 1980s, the transition from low-field superconducting magnets to 1.5T superconducting systems in the mid-1980s, the introduction of echo-planar systems in the mid-1990s, and the introduction of "cardiovascular systems" with even stronger, faster gradients in the late '90s.

Published: November 3rd 2010 | Updated:

Published: July 29th 2010 | Updated:

Published: September 1st 2005 | Updated:

Published: December 1st 2006 | Updated:

Published: February 11th 2006 | Updated:

Published: October 13th 2004 | Updated: