
It's been a bit more than a decade since teleradiology really started to take off in the U.S. Fed by a radiologist shortage in the early 2000s and a desire by many practices to shed their night call work.

It's been a bit more than a decade since teleradiology really started to take off in the U.S. Fed by a radiologist shortage in the early 2000s and a desire by many practices to shed their night call work.

Do you think stripping out textual identifying information in publicly available radiologic images will protect you against privacy violations? Think again. A paper presented Thursday at the 2010 RSNA meeting showed how facial images reconstructed from maxillofacial sinus and cerebral vasculature images could be matched in a database using commonly available face-matching software.

CT scout or scanogram images make up only about 4% of the typical chest/abdominal scan radiation dose, but are an easy target for dose reductions, according to a study presented Wednesday. Further, as technology changes and protocol updates reduce overall dose rates, scout images will make up a relatively larger part of the total and still represent a good target for cuts.

It should be possible to reduce radiation dose levels by as much as 50% in CT appendicitis scans without seriously sacrificing accuracy, a study presented Tuesday by Duke University researchers concluded.

Imagers know that you can skip the contrast in heavier patients undergoing CT scans for suspected appendicitis, but just how heavy is heavy enough?

Mobile devices for image display scored well in scientific papers presented Monday but still face significant hurdles before they are ready to become a routine part of image interpretation.

Alternative strategies for controlling imaging utilization, radiology benefit managers and computerized decision support, squared off in a scientific session Sunday.

In the middle part of the last decade, dozens of courses cropped up to train radiologists how to read coronary CT angiography, a first-line strategy for low- and intermediate-risk patients with what could be heart-related chest pain.

When Congress passed the stimulus legislation last year, with its $19 billion appropriation to help boost electronic health record adoption in the U.S., it was considered mildly interesting to radiologists

In recent months we've found a steady and strong interest in the practice-related material we've been presenting on our website.

Imaging costs were front and center in an investigative review of Sutter Health pricing practices conducted by Bloomberg News.

Three U.S. senators have joined the debate over the safety of x-ray based whole-body airport scanners, asking federal officials to review scanner health effects on travelers and airport and airline personnel.

Proposed new credentialing requirements could make it more difficult for hospitals to contract with teleradiologists to provide night and weekend call, a legal analysis concludes.

Is it the end of an era, or only a short breather before the next growth spurt begins?

In our headlong rush into electronic medical records, a move fueled by $19 billion in stimulus money, we should heed some cautionary notes that are emerging as the transition from paper to digital takes place.

In a case that goes to the heart of privileging issues, six interventional radiologists associated with Radiological Associates of Sacramento have filed lawsuits against Sutter Health for refusing to allow them to perform procedures at Sutter facilities.

Virtual Radiologic, already a major player in the teleradiology field, aims to become a major player in the radiology IT space as well with the launch of a new suite of image management products.

There was a time when attendees of what was then known as the Stanford Multidetector CT Symposium workstation face-off went expecting to see a train wreck. In the past, that often occurred: a workstation would freeze, an operator would get lost, a network would crash.

In a report bristling with documentation, the Medicare Payment Advisory Commission issued a broad-ranging critique of in-office self-referred imaging and outlined a series of steps to curb practices it said were contributing to the growth in imaging volume.

A new initiative by the American College of Radiology addresses growing tensions between hospitals and their contracted radiology groups, some of which have caused the relationship to end in a bitter breakup.

How would you feel if legislators in your state approved a law requiring a specific statement in certain types of radiology reports?

The landscape for hospital-based radiologists has shifted dramatically in the last couple of years. They’ll need to update their thinking if they hope to preserve their hospital contracts, and perhaps, a significant role in medicine, a pair of presenters said Sunday at the American Roentgen Ray Society meeting in San Diego.

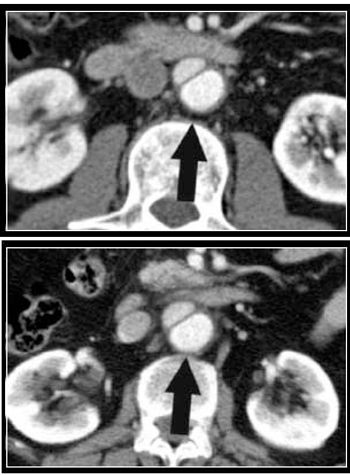
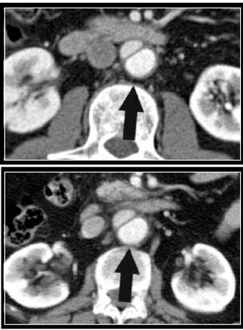
Korean researchers tested the ability of radiologists to spot CT images altered with commercially available software to introduce pathology and found that their skill is no more certain than the toss of a coin.

Radiologists can anticipate a sea change in the way their facilities monitor and manage CT dose exposure as a series of initiatives now under way begins to bear fruit.

NightHawk Radiology Services announced its entry into the imaging interpretation quality assurance business at a scientific session Thursday at the ECR, arguing that it offers a more rigorous and objective system for evaluating the quality of radiologists’ work.

They couldn't be more different in their approach to accrediting radiology imaging centers.

Korean researchers tested the ability of radiologists to spot CT images altered with commercially available software to introduce pathology and found that their skill at doing so is no more certain than a coin flip.

There is electronic decision support in your future and it's probably going to change the way you practice radiology.

Since the attempted explosion of an airliner as it was landing in Detroit on Christmas Day by an alleged terrorist from Nigeria, global air safety experts have been scrambling to enact new safety measures. A quick answer has come in the form of whole-body scanners that use low-level radiation to allow screeners to see through clothing to identify hidden weapons or explosives.

Korean researchers tested the ability of radiologists to spot CT images altered with commercially available software to introduce pathology and found that their ability to do so is no more certain than a coin flip.

Published: December 1st 2004 | Updated:

Published: January 1st 2007 | Updated:

Published: January 20th 2005 | Updated:

Published: June 2nd 2005 | Updated:

Published: June 27th 2005 | Updated:

Published: January 1st 2009 | Updated: