
Catch up on the top radiology content of the past week.

Catch up on the top radiology content of the past week.

Consistent adherence to the five most recent mammography screenings prior to a breast cancer diagnosis reduced breast cancer death risk by 72 percent in comparison to women who did not have the mammography screening, according to new research findings presented at the annual Radiological Society of North America (RSNA) conference.

In a recent interview at the annual RSNA conference in Chicago, Richard Heller, MD discussed the impact of reduced reimbursement rates in radiology, the projected CMS conversion factor for 2024, the severity of payment cuts in interventional radiology and the importance of radiologist advocacy.

BrainSpec Core reportedly offers enhanced sensitivity for low-grade gliomas and may facilitate the diagnosis of conditions including Alzheimer’s disease, multiple sclerosis, and epilepsy.

Dr. Kottler sat down with Diagnostic Imaging at RSNA 2023 to discuss AI imaging milestones and the potential impact of AI on workflows in radiology.

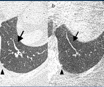
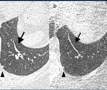
People who smoke marijuana and cigarettes have 12 times the risk for centrilobular emphysema than non-smokers, according to new computed tomography (CT) research presented at the annual Radiological Society of North America (RSNA) conference.

The Aquilion ONE/Insight Edition and Aquilion Serve SP computed tomography (CT) systems reportedly offer enhanced deep learning reconstruction and intuitive workflow efficiencies.

In a four-year study of over 1,600 patients who had outpatient head CTs, head CT angiography and/or brain MRI to assess cognitive impairment, researchers found that Black patients were over 9 percent less likely than White patients and over 16 percent less likely than Hispanic patients to receive brain MRI.

Catch up on the top radiology content of the past week.

Artificial intelligence (AI) assessments of chest X-rays identified 28 percent of a 17,000 plus cohort of never-smokers as being at high-risk for lung cancer, according to research to be presented at the annual Radiological Society of North America (RSNA) conference next week.

Through assessment of diffusion tensor MRI of the brain, a new AI system reportedly offers a 97 percent sensitivity rate in diagnosing autism in children between two to four years of age, according to research to be presented at the annual Radiological Society of North America (RSNA) conference next week.

Utilizing computed tomography (CT) guidance, researchers have found that performing a minimally invasive anesthetic injection into the stellate ganglia may help address parosmia due to COVID-19, according to study results that will be presented at the annual Radiological Society of North America (RSNA) conference next week.

In a video interview at the recent Radiological Society of North America (RSNA) conference, Wayne Dell, M.D., discussed retrospective research that examined the use of hyperlinked multimedia radiology reports across modality and subspecialty five years after initial implementation of the technology at the University of Virginia.

In the second part of a recent interview, Nina Kottler, M.D., M.S., discussed keys to evaluating the potential value of artificial intelligence (AI) systems and emerging developments with AI that were discussed at the recent Radiological Society of North America (RSNA) conference.

In a recent interview from the Radiological Society of North America (RSNA) conference, Mary Yamashita, M.D. discussed a variety of findings from a survey of over 8,000 women about breast density awareness, challenges with current breast density notification after mammography exams, and the ongoing need to educate patients as well as referring providers on breast density awareness.

Catch up on our RSNA 2022 interviews with Tessa Cook, MD, Nina Kottler, MD, Eliot Siegel, MD and more.

In a video interview discussing one of her recent lectures at the Radiological Society for North America (RSNA) conference, Nina Kottler, M.D., M.S., noted how the combination of artificial intelligence (AI) and radiologist experience can help mitigate bias limitations with the development of AI algorithms as well as educational biases inherent to a radiologist’s training and experience.

In an interview at the recent Radiological Society of North America (RSNA) conference, Alex Pozdnyakov, M.D. discussed findings from a new meta-analysis, which revealed that prostate-specific membrane antigen/positron emission tomography (PSMA PET) imaging in patients with prostate cancer recurrence led to treatment changes that resulted in a pooled 60.2 percent rate of prostate cancer-free survival at 20 months.

In a recent interview at the Radiological Society of North America (RSNA) conference, Eliot Siegel, M.D., discussed a variety of potential benefits with cloud-based image management in radiology, ranging from enhanced data security and economies of scale to improved access to a variety of artificial intelligence (AI) solutions to increase efficiency.

In a recent video interview from the Radiological Society of North America (RSNA) conference, Tessa Cook, MD, PhD discussed new research on automated de-identification in radiology reports and the potential of artificial intelligence (AI) and natural language processing (NLP) to help address time-consuming challenges in the radiology workflow.

In a recent video interview, Susan Holley, MD discussed key findings from a large retrospective longitudinal study, presented at the recent Radiological Society of North America (RSNA) conference, which found that an emerging artificial intelligence (AI) model was over 24 percent more consistent than radiologist assessment of breast density.

In a recent lecture at the Radiological Society of North America (RSNA) conference, Wendy DeMartini, MD, discussed a variety of preliminary proposed changes to the Breast Imaging Reporting and Data System (BI-RADS) for breast magnetic resonance imaging (MRI) examinations.

In what may be the first study to assess the effectiveness of biparametric magnetic resonance imaging (MRI) for prostate cancer screening in a large cohort, researchers found that MRI screening had a significantly lower false positive rate and significantly higher positive predictive values (PPVs) than prostate-specific antigen (PSA)-based screening.

In a recent video interview, Raymond Y. Kwong, MD, discussed his clinical experience with the Vista.ai (formerly HeartVista) One Click MRI software and recent research, presented at the Radiological Society of North America (RSNA) conference, that revealed a 31 percent decrease in cardiac MRI scan times for patients with cardiomyopathy or structural heart disease.

The retrospective study involving the use of ultrasound shear wave elastography showed a significant increase in liver stiffness 44 weeks after the diagnosis of COVID-19 in comparison to pre-pandemic and pandemic controls.

Main pulmonary artery and right ventricular diameters on computed tomography (CT) scans of the thorax were predictors of pulmonary hypertension.

An emerging artificial intelligence algorithm, developed to estimate volumetric breast density from 3D-reconstructed digital breast tomosynthesis images, could potentially facilitate individual risk assessments for breast cancer.

A randomized controlled trial shows that the minimally invasive treatment provided long-term relief of carpal tunnel syndrome.

Ultra-low-dose computed tomography (ULDCT) may have similar efficacy as low-dose CT (LDCT) for detecting a variety of pulmonary conditions in people with current or past smoking histories, but had poor detection of ground glass opacification lesions, according to a recent prospective study presented at the Radiological Society of North America (RSNA) conference.

Recently launched at the Radiological Society of North America (RSNA) conference, the SIGNA Experience reportedly features synergistic technologies and artificial intelligence (AI) advances that help improve the efficiency and quality of magnetic resonance imaging.