
Catch up on the top radiology content of the past week.

In a recent interview, Alan Braverman, M.D., discussed challenges with the detection of aortic dissection, reviewed pertinent risk factors and offered insights on imaging that may facilitate earlier diagnosis of the life-threatening condition.

For children who had a head CT scan, there was a 35 percent increased relative risk of developing hematologic cancer, according to a new study examining data from over 3.7 million children with a mean follow-up period of 10.1 years.

Issued by multiple societies, including the Society of Nuclear Medicine and Molecular Imaging (SNMMI), the new guidelines for utilizing 18F-flurpiridaz-PET myocardial perfusion imaging (MPI) offer insights on proper patient selection, appropriate protocols and salient keys for image interpretation.

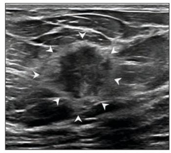
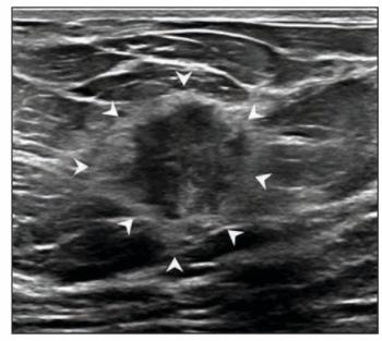
For masses interpreted as BI-RADS category 4 and 5 presentations on breast ultrasound, the authors of a new study found that the presence of echogenic rind had an 81 to 85 percent specificity for malignancy.

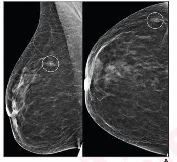
Digital breast tomosynthesis (DBT) and synthesized mammography offered a true-positive recall rate of 8.4 per 1,000 women screened vs. 6.2 for digital mammography alone, according to a study involving over 99,000 women.

Expanded capabilities with the body composition analysis software include automated segmentation of over 140 muscles, skeletal and organ structures from a 15–20-minute MRI.

Preliminary research findings have shown that the investigational anti-microtubule binding region (MTBR) tau antibody etalanetug may help reduce a biomarker for brain tau pathophysiology and tau signals on positron emission tomography (PET).

Findings from a multivariable analysis revealed that increased pulse wave velocity-end of systole (PWV-ES), assessed with ultrafast ultrasound, was associated with more than double the cardiovascular risk in young individuals with no major cardiovascular risk factors.

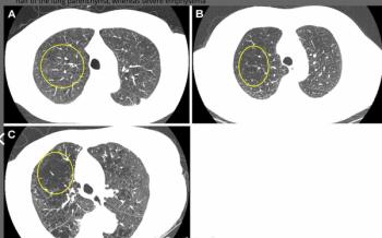
In a recent interview with Diagnostic Imaging, Noa Antonissen, M.D., and Colin Jacobs, Ph.D., discussed new research findings demonstrating robust risk stratification with a CT-based deep learning model for lung nodules as well as a 39.4 percent reduction in false positives in comparison to traditional classification.

Offering prospective SNR calculation derived from prescribed slices, the SNR Calculator reportedly facilitates a higher degree of accuracy with quantitative SNR values beyond that of calculators from device manufacturers.

The Voluson Performance 18 and 16 ultrasound devices reportedly combine enhanced imaging capabilities with AI-enabled efficiencies.

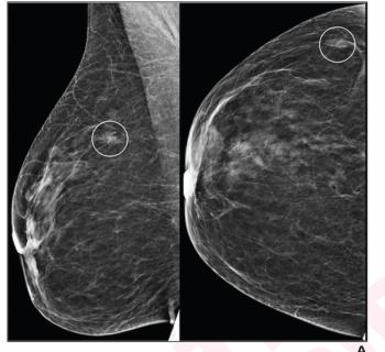
In light of emerging research suggesting an increased incidence of breast cancer among women under the age of 40, breast radiologists discuss what they’re seeing in practice and emphasize increased vigilance to facilitate early detection.

What other intangibles could a radiologist bring to the table in cases of declining or lost vision?

Catch up on the top radiology content of the past week.

Abbreviated biparametric MRI demonstrated nearly equivalent detection rates for clinically significant and clinically insignificant prostate cancer as multiparametric MRI, according to research involving 22 centers in 12 countries.

The AI-powered Tempus Pixel software update provides T1 and T2 inline maps to augment cardiac MRI assessment.

The latest edition of the Hermia software reportedly facilitates standard evaluation of amyloid PET quantification across a variety of tracers and protocols.

For HER2-positive breast cancer patients with radiologic complete response on breast MRI after neoadjuvant chemotherapy (NAC), the absence of calcifications was associated with over a 13 percent higher positive predictive value (PPV) for pathologic complete response (pCR).

Researchers also found that low-dose chest CT detection of emphysema was associated with a 29 percent higher risk of all-cause mortality up to 25 years later, according to a study involving over 9,000 individuals with a history of smoking.

Circumferential aneurysm wall enhancement on MRI was associated with a 3.8-fold higher risk of intracranial aneurysm instability within a four-year period, according to a study involving over 1,350 patients.

In a recent interview, Camille Simard, M.D., MSc, discussed findings from a new study assessing elevated risks of spontaneous pregnancy loss and congenital anomalies associated with CT exposure in the month prior to conception.

New research shows that over 94 percent of patients who had a PSA level of < 0.2 ng/mL and low-volume disease assessment six months after initiation of apalutamide and androgen deprivation therapy (ADT) for metastatic hormone-sensitive prostate cancer had radiographic progression-free survival at 24 months.

Encouraging an environment of civility and trust on the social media platforms in radiology may help open more doors for the profession.

Catch up on the top radiology content of the past week.

In a recent interview, Takeshi Tsuda, M.D., discussed new study findings that show the viability of integrated wall stress as a key diagnostic marker for detecting preclinical cardiomyopathy in patients with Duchenne muscular dystrophy.

For myocardial extracellular volume quantification, single-phase and dual-phase photon-counting CT provided over 20 percent higher correlation with cardiac MRI in contrast to dual-phase energy-integrating detector CT, according to new research findings.

In a recent interview, Zeeshan Shah, M.D., discussed the challenges of addressing rising breast imaging volume amid the radiologist shortage, the potential of emerging AI solutions for bolstering efficient triage and an increasing incidence of breast cancer presentations in younger patients.

Offering the capability to convert a non-contrast chest CT into quantitative ventilation perfusion mapping, use of the CT:VQ software allows for additional Category III CPT reimbursement beyond the chest CT.

While the AI software offered nearly equivalent negative predictive value (NPV) to radiologist interpretation of digital mammograms and digital breast tomosynthesis (DBT) images, researchers noted that AI had significantly higher recall rates and false-positive results in patients with intermediate risk.