
Technology
Latest News
Latest Videos

CME Content
More News

The combination of the Aurora SPECT/CT system with AI-enabled Clarify DL image reconstruction reportedly offers the potential of enhanced image quality and streamlined workflows in nuclear medicine.

In a second part of a new podcast episode on recently published research on projected radiation-induced cancers from computed tomography (CT) scans, Mahadevappa Mahesh, MS, Ph.D., and Joseph Cavallo, M.D., offer current perspectives on cardiac CT dosing, AI advances and the importance of teamwork in ensuring appropriate dosing for CT.

Catch up on the top radiology content of the past week.

Capable of segmenting over 37 organs and structures in the head, neck and pelvis, the MR Contour DL software is currently being showcased at the European Society for Radiotherapy and Oncology (ESTRO) conference.

Catch up on the most-well viewed radiology content in April 2025.

Offering automated conversion of computed tomography angiography (CTA) into 3D images, Viz 3D CTA reportedly facilitates real-time insights into complex neurovascular anatomy.

Catch up on the most well-viewed video interviews from Diagnostic Imaging in April 2025.

The AI software Viz AAA offered a sensitivity of 87.5 percent in detecting abdominal aortic aneurysms on contrast-enhanced CT, according to new retrospective research presented at the American Roentgen Ray Society (ARRS) conference.

In a recent interview, Wayne Brisbane, M.D., discussed new research, presented at the American Urological Association (AUA) conference, which revealed a 15 percent higher AUC for an emerging AI software in detecting seminal vesicle invasion (SVI) in comparison to prostate MRI alone.

Catch up on the top radiology content of the past week.

In a recent interview, Manisha Bahl, M.D., discussed key findings from a new study on AI and digital breast tomosynthesis that she presented at the Society for Breast Imaging (SBI) conference.

An artificial intelligence algorithm for dynamic contrast-enhanced breast MRI offered a 93.9 percent AUC for breast cancer detection, and a 92.3 percent sensitivity in BI-RADS 3 cases, according to new research presented at the Society for Breast Imaging (SBI) conference.

Offering expedited calculation of prostate volume, Clarius Prostate AI is reportedly the first AI-enabled prostate measurement tool to garner FDA clearance for use with handheld ultrasound.

Catch up on the top AI-related news and research in radiology over the past month.

In a recent interview, Benjamin Kann, M.D., discussed the use of an emerging AI model that can assess longitudinal MR imaging to help predict postoperative recurrence risk for gliomas in pediatric patients.

Employing deep learning image reconstruction, parallel imaging and multi-slice acceleration in a sub-five-minute 3T knee MRI, researchers noted 100 percent sensitivity and 99 percent specificity for anterior cruciate ligament (ACL) tears.

The T-Mode Anterior Knee feature reportedly offers a combination of automated segmentation and real-time conversion of grayscale ultrasound images into color-coded visuals that bolster understanding for novice ultrasound users.

In comparison to native 64-mT MRI, the deep learning generative model LowGAN offered enhanced white matter lesion conspicuity and image quality in a study involving patients with multiple sclerosis.

Catch up on the top radiology content of the past week.

In comparison to radiologist assessment, the use of AI to pre-screen patients with low-dose CT lung cancer screening provided a 12 percent reduction in mean interpretation time with a slight increase in specificity and a slight decrease in the recall rate, according to new research.

Meta-Analysis Shows Merits of AI with CTA Detection of Coronary Artery Stenosis and Calcified Plaque
Artificial intelligence demonstrated higher AUC, sensitivity, and specificity than radiologists for detecting coronary artery stenosis > 50 percent on computed tomography angiography (CTA), according to a new 17-study meta-analysis.

The additional FDA 510(k) clearance for the AI-powered cmAngio platform covers use of the software for GE HealthCare mammography systems.

Demonstrating no significant difference with radiologist detection of clinically significant prostate cancer (csPCa), a biparametric MRI-based AI model provided an 88.4 percent sensitivity rate in a recent study.

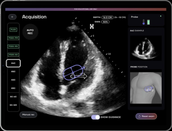
Recent research has demonstrated that the AI software HeartFocus enabled novice health-care providers to achieve greater than 85 percent agreement with expert sonographers in assessing echocardiographic parameters.

In comparison to a model based on clinicopathological risk factors, a CT radiomics-based machine learning model offered greater than a 10 percent higher AUC for predicting five-year recurrence-free survival in patients with non-metastatic clear cell renal cell carcinoma (ccRCC).































