
While staffing shortages in radiology continue to persist after the COVID-19 pandemic, current and emerging innovations powered by artificial intelligence (AI) may help facilities navigate these challenges and mitigate rising costs of health care.


While staffing shortages in radiology continue to persist after the COVID-19 pandemic, current and emerging innovations powered by artificial intelligence (AI) may help facilities navigate these challenges and mitigate rising costs of health care.

Catch up on the top radiology content of the past week.

Mean artificial intelligence (AI) scoring for breasts developing cancer was double that of contralateral breasts at initial biennial screening and was 16 times higher at the third biennial screening, according to a study involving over 116,000 women with no prior history of breast cancer.

Catch up on the top AI-related news and research in radiology over the past month.

For patients who had neuroradiological trauma CT scans, researchers noted no significant visual differences between deep learning denoising at 25% mAs and iterative reconstruction at 100% mAs.

Catch up on the top radiology content of the past week.

The CINA-CSpine AI software reportedly demonstrated a 90.3 percent sensitivity rate for cervical spine fractures in validation testing on more than 300 non-contrast CT scans.

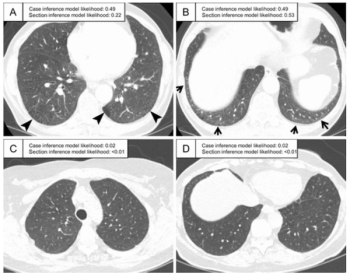
Emphasizing multi-structure segmentation and feature extraction from chest CT scans, an emerging AI model demonstrated an approximately 70 percent AUC for predicting significant incidental extrapulmonary findings as well as two-year and 10-year all-cause mortality.

Providing automated TI-RADS classifications and worksheets, the new AI-enabled software may facilitate improved efficiency with thyroid ultrasound exams.

Catch up on the top radiology content of the past week.

A machine-learning-based model demonstrated an 87 percent area under the curve and a 90 percent specificity rate for predicting interstitial lung abnormality on CT scans, according to new research.

Adjunctive AI showed no difference in accuracy than unassisted radiologists for intracranial hemorrhage (ICH) detection and had a slightly longer mean report turnaround time for ICH-positive cases, according to newly published prospective research.

Offering enhanced deep learning technology, the updated NeuroQuant 5.0 software reportedly bolsters segmentation capabilities for amyloid-related imaging abnormalities (ARIA) in patients with Alzheimer’s disease.

The AI-enabled software Rayvolve reportedly demonstrated a 96 percent sensitivity rate for diagnosing pediatric fractures in a recent study involving 3,000 patients.

Utilizing a new machine learning model, the OptimMRI software may improve radiosurgery applications and lesioning techniques such as MRI-guided focused ultrasound through enhanced targeting of the inferolateral part of the ventral intermediate nucleus (VIM).

Catch up on the most-well viewed radiology content in August 2024.

Identifying over 23 percent of interval breast cancers with a 96 percent sensitivity in mammography interpretation, an emerging AI software also facilitated correct localization in over 75 percent of cases involving interval breast cancer, according to new research.

Catch up on the latest research in neuroradiology over the past month.

Catch up on the top AI-related news and research in radiology over the past month.

Catch up on the top radiology content of the past week.

Combining four CAD modules for valvular pathologies with a variety of automated measurements, the AI-enabled AISAP Cardio ultrasound system reportedly facilitates up to a 90 percent accuracy rate in detecting common cardiac conditions.

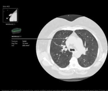
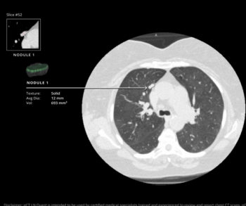
The AI-powered qCT LN Quant software reportedly generates 2D and 3D reconstructions and facilitates assessment of morphologic data across multiple thoracic studies.

Key features of the HealthCCSng V2.0 software include numerical coronary artery calcium (CAC) scoring, a new zero CAC category and user customization of upper and lower limits for CAC scoring categories.

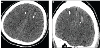
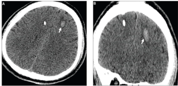
Providing an 85.7 percent sensitivity rate for detecting cerebral aneurysms on computed tomography angiography (CTA), the deep learning model also offered a similar AUC (93 percent) in comparison to radiology reports (91 percent).

New research suggests the use of an AI software may help rule out pathology on over 50 percent of unremarkable chest X-rays with a 98 percent sensitivity threshold.