
The artificial intelligence (AI)-powered technology reportedly offers decreased noise magnitude while enhancing image reconstruction for cardiovascular computed tomography (CT) scanners.
Senior Editor, Diagnostic Imaging

The artificial intelligence (AI)-powered technology reportedly offers decreased noise magnitude while enhancing image reconstruction for cardiovascular computed tomography (CT) scanners.

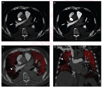
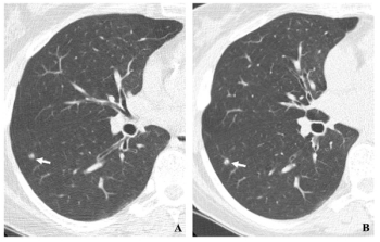
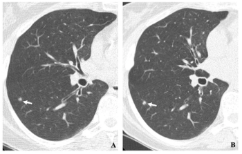
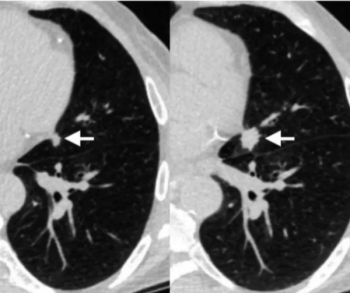
Performing computed tomography pulmonary angiography (CTPA) with a high-pitch photon counting detector (PCD) offers enhanced signal-to-noise ratio (SNR) and contrast-to-noise ratio (CNR) at a reduced radiation dose in comparison to employing an energy-integrating detector (EID), according to new research.

Fifty-seven percent of patients with prostate cancer diagnosed with osseous metastases on bone scans had negative findings on PSMA PET imaging, according to findings from an international multicenter comparative study.

Offering a combination of simplified and personalized scanning for patients at significantly lower lifecycle costs than other dual-source CT systems, the Somatom Pro.Pulse may be a viable option for smaller rural facilities and outpatient imaging centers.

Combining enhanced imaging capabilities, workflow efficiencies and artificial intelligence (AI)-enabled technology to improve the diagnosis and management of health conditions in women, Samsung has launched the V6 ultrasound system.

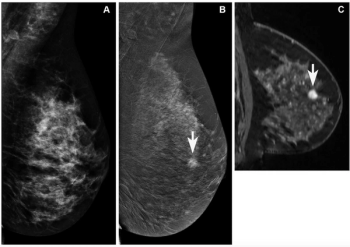
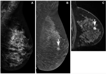
In findings from an enriched cohort of asymptomatic patients with screening-detected abnormalities, researchers found that contrast-enhanced mammography (CEM) was superior to conventional mammography and offered equivalent detection of breast cancer in comparison to breast MRI and abbreviated breast MRI.

Providing automated brain volume calculations based on MRI images, NeuroShield’s artificial intelligence (AI)-powered technology may help facilitate treatment for neurodegenerative conditions ranging from Alzheimer’s disease to epilepsy.

Lunit Insight DBT may facilitate improved detection and efficiency for radiologists interpreting digital breast tomosynthesis images.

For patients who had a complete metabolic response to radiation treatment for head and neck cancer, the authors of a recent study found that surveillance imaging with PET/CT, MRI or CT did not improve outcomes in comparison to expectant management.

Catch up on the top radiology content of the past week.

Noting that initial imaging sensitivity is a key factor in cost-effectiveness for patients who do not require acute treatment for dizziness, researchers found that specialized MRI (including multiplanar high-resolution DWI) provided the most benefit in a comparative trial of neuroimaging modalities.

Mammography-based artificial intelligence (AI) models demonstrated an 11 percent higher median AUC for predicting breast cancer than traditional clinical risk factors, according to a new systematic review of 16 retrospective studies.

The Rapid SDH module on the RapidAI platform reportedly offers a sensitivity rate of 93 percent for detection of hemispheric subdural hematoma on non-contrast computed tomography (CT) scans.

Reimbursement for use of the artificial intelligence (AI)-powered EchoGo Heart Failure platform in hospital outpatient settings for Medicare and Medicaid patients is expected to increase from $99.81 to $284.88 in 2024.

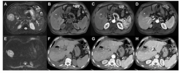
Emphasizing factors such as tumor size, serum neutrophil count and arterial phase hyperenhancement proportion on MRI, a new diagnostic model outperformed eight staging systems for predicting advanced recurrence of hepatocellular carcinoma after liver resection.

Assessing 20-year follow-up data from a cohort for an international study of annual low-dose CT screening for lung cancer, researchers noted an 81 percent survival rate after an initial primary lung cancer diagnosis for over 1,200 patients with a median 43 pack-year smoking history.

Ultrasound and MRI findings from a new study suggest that greater carotid atherosclerosis and elevated white matter hyperintensities among women with the APOEe4 genotype, a strong risk factor for Alzheimer’s disease, are associated with increased PTSD symptoms in midlife women.

In their review of functional MRI data from over 5,200 study participants, researchers noted that higher amygdala reactivity and lower prefrontal cortical reactivity were associated with adversity exposure, findings that may contribute to exaggerated threat detection and reduced emotional control.

In a newly updated guidance, the American Cancer Society recommends the expansion of annual lung cancer screening with low-dose computed tomography (LDCT) for current or previous smokers 50 to 80 years of age who have a 20-pack-year or greater history of smoking.

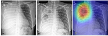
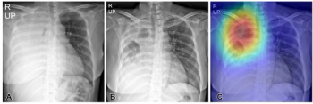
Featuring 12 prior FDA clearances for chest X-ray and non-contrast head CT, the Annalise Triage platform may help streamline radiology workflows and prioritize timely diagnosis of urgent conditions.

The Current Procedural Terminology (CPT) Category III code for the Unfold AI prostate cancer mapping platform can be utilized by radiologists starting in July 2024.

In a recent video interview series, Dushyant Sahani, M.D., discussed the critical role of contrast media in diagnostic imaging, lessons learned from the contrast media shortage, key considerations with generic agents and currently unmet needs with contrast agents.

The executive order seeks to promote continued innovation and growth with artificial intelligence (AI) while ensuring monitoring of AI models for safety, privacy, and equity.

The expanded 510(k) clearance from the FDA for the Optimizer Smart Mini system allows full-body MRI use for patients with heart failure who are receiving cardiac contractility modulation (CCM).

New research shows that pelvic MRI offers equivalent sensitivity but nearly 20 percent greater specificity than transvaginal ultrasound for the classification of adnexal lesions.

In a study of over 375,000 people, researchers found that a high liver MRI proton density fat fraction was associated with an over 7.5-fold higher risk for non-alcoholic steatohepatitis, a 4.5-fold higher risk for malignancy, and a 3.8-fold elevated risk for cirrhosis of the liver.

The update of the S-scan magnetic resonance imaging (MRI) system reportedly offers an improved ergonomic design, algorithms to enhance image quality and reduced scan times.

A 49-study meta-analysis revealed that MRI-based and CT-based radiomics models outperformed clinical models for predicting recurrence of hepatocellular carcinoma.

An emerging deep learning algorithm can reportedly triage 40 percent of no-change X-rays while providing 88 to 90 percent accuracy for detecting changes with X-rays obtained in the emergency department and intensive care unit at a tertiary referral hospital, according to recently published research.

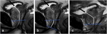
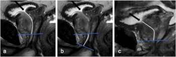
Emerging research findings suggest that a longer prostatic urethral length on MRI is associated with a 70 percent increased risk of grade >2 acute urinary toxicity after radiotherapy for prostate cancer.