
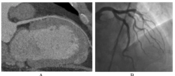
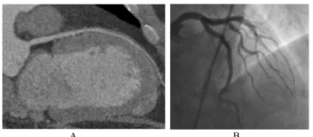
Clinicians can bill Category 1 CPT Code 75580 for adjunctive use of the artificial intelligence (AI)-powered Cleerly Ischemia software for fractional flow reserve estimates based on coronary computed tomography angiography (CCTA) scans.
Senior Editor, Diagnostic Imaging

Clinicians can bill Category 1 CPT Code 75580 for adjunctive use of the artificial intelligence (AI)-powered Cleerly Ischemia software for fractional flow reserve estimates based on coronary computed tomography angiography (CCTA) scans.

For patients with suspected acute stroke, researchers noted higher image quality for deep learning-accelerated MRI, which can be completed over 11 minutes sooner than similar sequences for conventional MRI.

For people with COVID-19 related brain fog, emerging dynamic contrast-enhanced MRI (DCE-MRI) research findings revealed blood-brain barrier disruption in multiple brain regions, including temporal lobes and the frontal cortex, up to a year after active infection.

What does the current evidence reveal for four FDA-cleared AI software modalities for breast ultrasound? Leading researchers review the study findings in a recently published literature review.

Offering rapid automated segmentation of brain structures, the ClearPoint 2.2 software reportedly enhances visualization for a variety of targeted, MRI-guided procedures.

The use of computed tomography (CT) for cases of minor head trauma was associated with a 29 percent higher incidence of hematologic malignant neoplasms in comparison to those with no CT, according to a new study involving over 2,400,000 pediatric patients.

In comparison to biennial mammography screening between the ages of 50 to 74, researchers found that annual screening between 40 and 79 years of age resulted in a greater than 16 percent higher reduction in breast cancer mortality.

The use of ultrahigh spatial resolution with photon-counting CT led to lower Coronary Artery Disease Reporting and Data System (CAD-RADS) category assessments in over 54 percent of patients in comparison to the use of standard spatial resolution, according to recently published research.

Patients who had CT angiography procedures reported lower pain levels, better preparation and were 25 percent more willing to undergo the procedure again in comparison to patients who had invasive coronary angiography, according to newly published research.

Recently cleared by the FDA, the iQ3 point-of-care ultrasound system reportedly offers new advances in 3D imaging capabilities.

For women with dense breasts, only 25 percent of breast radiologists are confident in the use of mammography for diagnosing invasive lobular carcinoma, according to newly published survey results from the Society of Breast Imaging.

In a recent assessment of PI-RADS upgrading rules, researchers found that ignoring the upgrading rules would lead to one missed diagnosis of clinically significant prostate cancer per 5.5 biopsies avoided with MRI-focused risk pathways.

Women with an increasing number of unmet social needs were 26 percent less likely to have mammography screening, according to a recent study of over 300 women with breast cancer.

The adjunctive use of AI software led to 16 percent and 10 percent increases in sensitivity rates for the detection of ARIA-E and ARIA-H, respectively, in patients with Alzheimer’s disease, according to newly published research.

In an analysis of repeat prostate cancer screening, researchers noted no suspicious MRI findings for over 86 percent of men who had PSA levels of 3 ng/mL or greater at a second prostate cancer screening.

The AI-enabled HealthFLD software demonstrated a 77.8 percent sensitivity rate and a 93.2 percent specificity rate for diagnosing moderate hepatic steatosis on contrast-enhanced CT scans in a recent study of over 2,900 patients.

In a recent interview, Vivianne Freitas, M.D., discussed new research findings on positron emission mammography (PEM), pertinent benefits of the technology and its potential as a viable alternative in the future to conventional imaging techniques for breast cancer screening.

Facilitating timely diagnosis and intervention for brain bleeds, the artificial intelligence (AI)-powered Viz ICH Plus software may provide quantified assessment for intracranial hyperdensities, lateral ventricles and midline shifts.

Findings from a new pilot study showed that low-dose positron emission mammography (PEM) detected 96 percent of malignant index lesions and had a 46 percent lower false-positive rate in comparison to breast MRI.

For the detection of nodal metastases in patients with early-stage cervical cancer, 18F FDG PET-CT offered a sensitivity rate that was double that of CT and 32 percent higher than MRI, according to newly published research.

The use of multiple artificial intelligence (AI) modalities to assess blood vessel density reduction and computed tomography perfusion (CTP) mismatch values facilitated a 93.3 percent detection rate for medium vessel occlusions, according to research presented recently at the International Stroke Conference.

In a computed tomography (CT) study assessing over 450 patients who had lung adenocarcinoma resection, researchers noted zero recurrence at five years and 97.7 percent recurrence-free survival at seven years for patients with resected pure ground glass nodules.

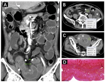
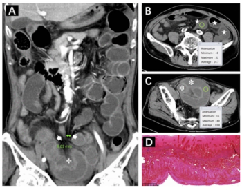
Demonstrating an 81 percent AUC, 99 percent specificity and a 98 percent positive predictive value, increased attenuation of intestinal contents was one of four CT findings deemed to be an independent predictive factor for bowel necrosis in patients with closed-loop small bowel obstruction.

The proportion of women applying to radiology residency programs was nearly 21 percent lower than the proportion of women applying to other residency programs, according to a review of 10 years of residency program data from 2013 to 2022.

With reported increases in tuberculosis cases after the COVID-19 pandemic, the qSpot-TB adjunctive artificial intelligence (AI) device may facilitate improved diagnosis of the disease on chest X-rays.

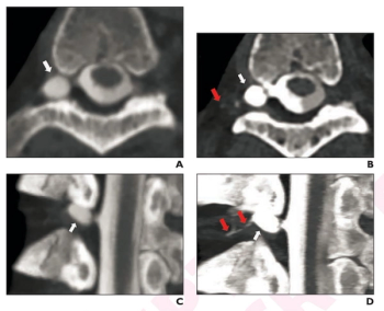
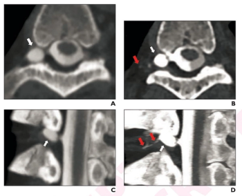
In a comparative study of energy-integrating detector CT myelography versus photon-counting detector CT (PCD-CT) myelography for the detection of cerebrospinal fluid-venous fistulas (CVFs) in cases of spontaneous intracranial hypotension, PCD-CT myelography demonstrated 10 to 19 percent higher sensitivity rates with reviewing radiologists.

In contrast to high-school athletes from non-contact sports, adolescent football players had a variety of brain changes, including numerous areas of cortical thinning, increased sulcal depth and decreased coherence of neural signals in the frontal and medial regions, according to newly published magnetic resonance imaging (MRI) research.

Combining advanced volumetric imaging technology with deep learning, the Genius Digital Diagnostics System has reportedly shown a 28 percent reduction in false negatives for high-grade squamous intraepithelial lesions and other severe lesions in comparison to microscopic review.

In a recent interview, Markus Scherer, M.D., discussed emerging research, presented at the American College of Cardiology Cardiovascular Summit, which showed that coronary computed tomography angiography (CTA) was associated with a significantly higher likelihood of revascularization in comparison to other modalities or direct referral for invasive coronary angiography.

Researchers found the use of deep learning reconstruction for computed tomography colonography (CTC) led to 25 percent higher subjective image quality scoring than iterative image reconstruction at a substantially reduced rate of radiation dosing.