
Catch up on the top radiology content of the past week.

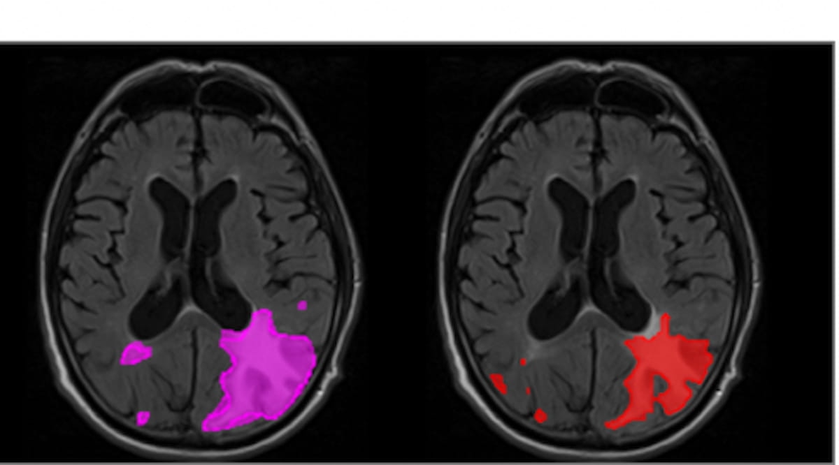
AI Combination of Brain MRI and Cognitive Assessments May Predict aMCI Progression to Alzheimer's Dementia

Study Finds Four Out of Seven AI Algorithms Offer Better Lung Nodule Detection on X-Rays than Radiologists

Catch up on the top radiology content of the past week.

At an amplitude of 200 mT/m and a slew rate of 200 T/m/s, the gradients for the FDA-cleared MAGNETOM Cima.X are reportedly the strongest for currently available whole-body MRI scanners.

An emerging deep learning model, which incorporates T2-weighted MRI and clinical data, demonstrated an 83.9 percent AUC and an 85 percent specificity rate for preoperative prediction of tumor deposits in patients with rectal cancer.

Catch up on the most viewed content on AI in radiology from 2023.

Touching on a variety of topics in radiology, here are the top five most well-viewed content from Diagnostic Imaging in 2023.

Catch up on the top AI-related news and research in radiology over the past month.

Catch up on the top radiology content of the past week.

In a study examining the potential of the large language models ChatGPT-4 and Bard to follow ACR Appropriateness Criteria for breast cancer, lung cancer, ovarian cancer and colorectal cancer screening, researchers noted “impressive accuracy in making radiologic clinical decisions.”

Catch up on the most well-read ultrasound articles from 2023.

Catch up on the most well-read magnetic resonance imaging (MRI) articles from 2023.

In addition to offering a 98.5 percent sensitivity rate in diagnosing fractures on X-ray, an emerging artificial intelligence (AI) software reportedly helped reduce mean turnaround time on X-ray fracture diagnosis from 48 hours to 8.3 hours, according to new research presented at the Radiological Society of North America (RSNA) conference.

Catch up on the top radiology content of the past week.

Emerging research suggests that adjunctive artificial intelligence (AI) improves sensitivity for a variety of abnormalities on chest X-rays regardless of radiologist experience level, including an average 26 percent increase in sensitivity for pneumothorax.

Emerging research suggests that stand-alone artificial intelligence (AI) assessment of breast ultrasound exams could eliminate over 45 percent of unnecessary follow-up exams.

Will AI-powered diagnostic workups without on-site docs be a new reality in 2024?

Catch up on the top radiology content of the past week.

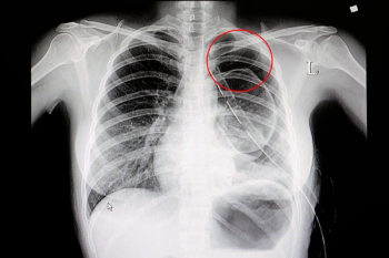
BraveCX, an artificial intelligence (AI)-enabled software, reportedly has an area under the curve (AUC) of 98 percent for detecting pneumothorax on chest X-rays.

Catch up on the top radiology content of the past week.

Catch up on the top AI-related news and research in radiology over the past month.

Offering an all-in-one platform of artificial intelligence (AI) applications, MyBreastAI Suite reportedly facilitates early breast cancer detection and enhances efficiency with breast imaging workflows.

Dr. Kottler sat down with Diagnostic Imaging at RSNA 2023 to discuss AI imaging milestones and the potential impact of AI on workflows in radiology.

The Aquilion ONE/Insight Edition and Aquilion Serve SP computed tomography (CT) systems reportedly offer enhanced deep learning reconstruction and intuitive workflow efficiencies.

In a recent interview about President Biden’s recent executive order on artificial intelligence (AI), Morris Panner, the president of Intelerad Medical Systems, shared his concerns that the executive order, while well-intentioned, may wind up stifling innovation and the continued evolution of AI in radiology.

Catch up on the top radiology content of the past week.

The Biograph Vision.X positron emission tomography/computed tomography (PET/CT) reportedly offers an industry-leading time of flight (TOF) and detector technology that facilitates the diagnosis of smaller lesions.