
Mammography
Latest News

High allostatic load, which has been linked to an increased incidence of breast cancer and all-cause mortality, is more than twice as likely to occur in Black and Hispanic women in comparison to White women, according to mammography research presented at the American Society of Clinical Oncology (ASCO) conference.
Latest Videos

CME Content
More News

Catch up on the top radiology content of the past week.

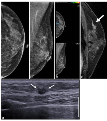
For women with dense breasts and negative mammograms, contrast-enhanced mammography and abbreviated MRI provided respective cancer detection rates of 19.2 per 1000 exams and 17.4 per 1000 exams, according to new research.

In a study involving over 12,000 Asian women, researchers found that an artificial intelligence (AI) model converted over 83 percent of false positives in patients with initial BI-RADS 3 and 4 assessments into benign BI-RADS categories.

Catch up on the top radiology content of the past week.

Emerging research suggests that radiomic breast texture features extracted from full-field digital mammography may bolster prognostic assessments of invasive breast cancer risk beyond traditional risk factors.

The use of AI software for digital breast tomosynthesis (DBT) facilitated a higher cancer detection rate and over double the PPV for exams with abnormal interpretation, according to a newly published study.

Catch up on the top radiology content of the past week.

For DBT breast cancer screening, 47 percent of radiologist-only flagged false positives involved mass presentations whereas 40 percent of AI-only flagged false positive cases involved benign calcifications, according to research presented at the recent American Roentgen Ray Society (ARRS) conference.

Catch up on the top radiology content of the past week.

In comparison to minimal or mild background parenchymal enhancement on contrast-enhanced mammography (CEM), researchers found that moderate or marked BPE was associated with a 12 percent lower AUC for breast cancer detection.

Catch up on the most well-viewed video interviews from Diagnostic Imaging in April 2025.

Catch up on the top radiology content of the past week.

In a recent interview, Manisha Bahl, M.D., discussed key findings from a new study on AI and digital breast tomosynthesis that she presented at the Society for Breast Imaging (SBI) conference.

Catch up on the top radiology content of the past week.

Seniors who had at least one prior screening mammography exam in the five years prior to breast cancer diagnosis were over a third less likely to die from breast cancer, according to new research.

The additional FDA 510(k) clearance for the AI-powered cmAngio platform covers use of the software for GE HealthCare mammography systems.

Catch up on the top radiology content of the past week.

A systematic review of 147 clinical trials assessing neoadjuvant systemic therapy for breast cancer also revealed that mid-treatment imaging was utilized in 56 percent of the studies.

While standalone AI interpretation offered over 10 percent higher sensitivity than radiologists for patients undergoing post-mastectomy surveillance mammography, it missed over 30 percent of breast cancers.

Catch up on the top AI-related news and research in radiology over the past month.

Catch up on the top radiology content of the past week.

While recalls initiated by one of two reviewing radiologists after screening mammography were nearly 10 percent higher than recalls initiated by an AI software, the AI-initiated recalls had an 85 percent higher positive predictive value for breast cancer, according to a new study.

In a study involving over 24,000 women, two-thirds of whom had dense breasts, adjunctive AI led to a significantly higher rate of cancer detection for breast radiologists with no difference in recall rates.

In addition to contrast-enhanced mammography (CEM) demonstrating over a 90 percent detection rate for multifocal masses, researchers found that no significant difference between histological measurements and CEM, according to study findings presented at the European Congress of Radiology.

Catch up on the most-well viewed radiology content in February 2025.







































