
Mammography
Latest News

Patients with Medicaid or means-tested insurance were over 27 percent more likely to miss mammography appointments, and only 65 percent of women with three of more adverse social determinants of health had a mammography exam in a two-year period covering 2020 and 2021, according to new research and a report from the CDC.
Latest Videos
CME Content
More News

Catch up on the top radiology content of the past week.

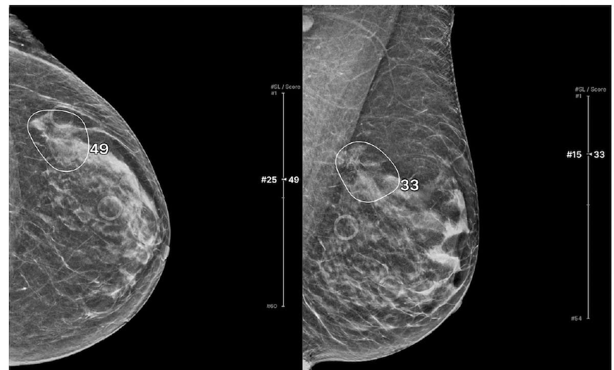
A proposed alternative to a previously validated deep learning neural network for assessing short-term breast cancer risk, the emerging AsymMirai deep learning mammography-based model showed comparable breast cancer risk prediction with an emphasis on bilateral dissimilarity, according to new research.

Catch up on the top radiology content of the past week.

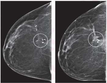
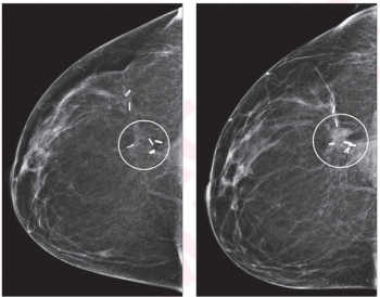
For women who have had radial scars detected on digital breast tomosynthesis (DBT) exams, researchers noted a 5 percent upstaging rate to cancer, according to a recent study.

Noting that technique issues, patient positioning miscues and atypical features can all contribute to faulty interpretation with contrast-enhanced mammography (CEM), researchers at the European Congress of Radiology shared their insights on navigating artifacts and limitations with CEM.

Catch up on the top radiology content of the past week.

In comparison to biennial mammography screening between the ages of 50 to 74, researchers found that annual screening between 40 and 79 years of age resulted in a greater than 16 percent higher reduction in breast cancer mortality.

Catch up on the top radiology content of the past week.

For women with dense breasts, only 25 percent of breast radiologists are confident in the use of mammography for diagnosing invasive lobular carcinoma, according to newly published survey results from the Society of Breast Imaging.

Women with an increasing number of unmet social needs were 26 percent less likely to have mammography screening, according to a recent study of over 300 women with breast cancer.

In a recent interview, Vivianne Freitas, M.D., discussed new research findings on positron emission mammography (PEM), pertinent benefits of the technology and its potential as a viable alternative in the future to conventional imaging techniques for breast cancer screening.

Findings from a new pilot study showed that low-dose positron emission mammography (PEM) detected 96 percent of malignant index lesions and had a 46 percent lower false-positive rate in comparison to breast MRI.

Catch up on the top radiology content of the past week.

Catch up on the top AI-related news and research in radiology over the past month.

In a recently issued statement from multiple radiology societies including the RSNA and ACR, researchers offer practical advice for evaluating artificial intelligence (AI) tools, implementing AI into current workflows and monitoring of the technology to help ensure optimal benefit and effectiveness.

A singular database of current rules, guidelines and best practices in radiology would be a welcome advance to ensure ease of access, consistency, and proactive prevention of frivolous malpractice cases.

Catch up on the top radiology content of the past week.

For women with dense breasts, abbreviated breast MRI and digital breast tomosynthesis (DBT) both offered greater than 98 percent sensitivity rates and greater than 94 percent negative predictive values (NPVs) for breast cancer detection, according to newly published research.

Catch up on the top radiology content of the past week.

In a study assessing the use of a genetic risk stratification model to estimate breast cancer risk in over 25,000 women, researchers found that 0.69 percent of women at low genetic risk were diagnosed with breast cancer by the age of 45 and 1.41 percent of this group were diagnosed by the age of 58.

Catch up on the most viewed content on AI in radiology from 2023.

Touching on a variety of topics in radiology, here are the top five most well-viewed content from Diagnostic Imaging in 2023.

Catch up on the most well-read mammography articles from 2023.

Catch up on the top radiology content of the past week.

In a study of over 30,000 screening digital breast tomosynthesis (DBT) exams for over 8,000 women, researchers found a specificity rate of 95.1 percent, a false negative rate of 2.1 (per 1,000 exams) and an abnormal interpretation rate (AIR) of 5.7 percent.

































