
Oncology Ultrasound
Latest News

Latest Videos

Podcasts
CME Content
More News

The MyLab A50 and MyLab A70 ultrasound platforms reportedly enable a variety of detailed and multiparametric evaluations, including assessments for liver elastography and strain analysis echocardiography.

Could the NeedleVue LC1 Ultrasound System reinvent real-time ultrasound-assisted needle guidance for interventional procedures?

Researchers noted a 78 percent malignancy rate when associated architectural distortion was present on digital breast tomosynthesis (DBT) with highly suspicious masses or microcalcifications.

In addition to facilitating centralized scanning for a variety of imaging, the TechLive system may help ease the strain of technologist shortages and broaden access to advanced imaging exams.

Mammography detected 82 percent of pregnancy-associated breast cancer in a cohort of women with a high prevalence of extremely dense breasts, according to a new study.

Offering a minimum scan depth of 4 mm, the UHF46-20 Transducer reportedly provides high-quality resolution for visualizing superficial nerves and vessels.

Advanced annotation with the updated UroNav MRI/ultrasound fusion platform may facilitate enhanced precision and efficiency with focal therapies for prostate cancer.

The diagnostic tomographic 3D ultrasound imaging technology PIUR tUS inside will reportedly be available with select GE HealthCare Logiq systems.

The acoustic coupling fluid and sterile transfer kit reportedly removes acoustic artifacts that can occur with the use of standard irrigation fluids in ultrasound-guided neurosurgical interventions.

Offering a combination of intuitive touchscreen controls and enhanced image clarity, the portable Flash 5100 POC ultrasound platform reportedly facilitates confident and rapid assessment in emergency radiology and critical care settings.

In a meta-analysis involving over 2,200 patients with T1NoMo papillary thyroid carcinoma, researchers noted 2 percent recurrence and no cases of lymph node metastasis five years after ultrasound-guided thermal ablation.

In a new literature review, researchers discussed key considerations with the use of B-mode ultrasound and contrast-enhanced ultrasound in the detection of hepatocellular carcinoma.

Catch up on the most-well viewed radiology content in May 2025.

Catch up on the top radiology content of the past week.

For women with dense breasts and negative mammograms, contrast-enhanced mammography and abbreviated MRI provided respective cancer detection rates of 19.2 per 1000 exams and 17.4 per 1000 exams, according to new research.

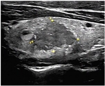
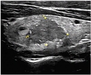
Incorporating six independent predictive factors for malignant thyroid nodules with peripheral calcifications, an emerging ultrasound-based nomogram provided an 88.2 percent AUC in validation testing.

Offering expedited calculation of prostate volume, Clarius Prostate AI is reportedly the first AI-enabled prostate measurement tool to garner FDA clearance for use with handheld ultrasound.

A systematic review of 147 clinical trials assessing neoadjuvant systemic therapy for breast cancer also revealed that mid-treatment imaging was utilized in 56 percent of the studies.

Catch up on the top radiology content of the past week.

Catch up on the most-well viewed radiology content in March 2025.

Catch up on the most-well viewed prostate imaging content in March 2025.

Catch up on the top AI-related news and research in radiology over the past month.

Microultrasonography-guided biopsy offered comparable detection as MRI/conventional ultrasound-guided biopsy in detection of Gleason grade group 2 or higher prostate cancer, according to a new international multicenter study.

The Invenia ABUS Premium device reportedly offers consistent high-resolution imaging and up to a 40 percent increase in scan speeds for women with dense breasts.

Emphasizing intuitive workflow and portability, the Universal Wireless Probe reportedly offers a cost-effective combination of phased and linear ultrasound imaging.











































