
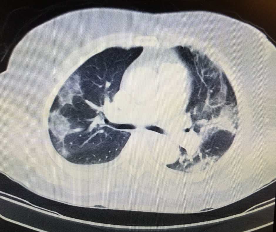
In their review of follow-up chest computed tomography (CT) scans, researchers from Wuhan, China found that nearly 40 percent of patients had interstitial lung abnormalities two years after having COVID-19.


In their review of follow-up chest computed tomography (CT) scans, researchers from Wuhan, China found that nearly 40 percent of patients had interstitial lung abnormalities two years after having COVID-19.

Derived from coronary computed tomography angiography (CCTA) images, a radiomics model demonstrated a 75 percent or greater area under the curve (AUC) in multiple test sets for identifying vulnerable plaque.

Review the case study and test your knowledge to make the correct diagnosis.

In a recent video interview, Sonia Gupta, MD discussed a number of ongoing developments with artificial intelligence (AI) in radiology, ranging from market consolidation of AI vendors to maximizing automation and efficiency with patient triage, reporting and follow-up of incidental findings.

Catch up on the top radiology content of the past week.

Approximately 43 percent of patients with COVID-19 and preexisting cancer presented with atypical or indeterminate findings on chest computed tomography (CT) scans.

In newly published research, researchers found that an artificial intelligence (AI) computer-aided detection (CAD) system was more than twice as likely as non-AI assessment to diagnose actionable lung nodules on chest X-rays.

Catch up on the top radiology content of the past week.

Researchers showed that adjunctive use of a deep learning algorithm resulted in an eight percent increase in sensitivity and a nearly 10 percent increase in specificity for differentiating between colon carcinoma and acute diverticulitis on computed tomography (CT) scans.

Catch up on the top radiology content of the past week.

Preliminary research suggests the use of photon-counting detector computed tomography (CT) may facilitate a 25 percent reduction of iodinated contrast media (ICM) in comparison to energy-integrating detector CT for angiographic imaging of the thoracoabdominal aorta.

Employing deep learning capabilities, the DeepVessel FFR reportedly provides enhanced non-invasive evaluation of coronary arteries through semi-automated analysis of coronary computed tomography angiography (CCTA) imaging.

Catch up on the top AI-related news and research of the past month.

Trained and developed on over 35,000 low-dose computed tomography (LDCT) scans and validated in three independent data sets, a deep learning algorithm demonstrated an average area under the curve (AUC) of 90.6 percent for predicting lung cancer within one year.

Catch up on the top radiology content of the past week.

In a provocative new article, radiology researchers discuss the impact of social determinants of health (SDoH) upon access to care and patient outcomes, and present strategies within the realms of radiology education, research, clinical care, and innovation that may help mitigate health-care disparities.

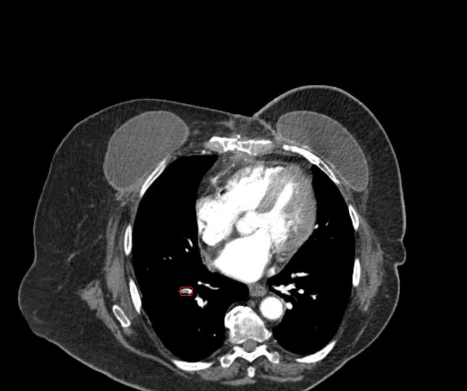
Review the case study and test your knowledge to make the correct diagnosis.

The artificial intelligence (AI)-enabled Viz™ Vascular Suite reportedly allows automated detection of vascular conditions, shown on computed tomography (CT) and other imaging modalities, and facilitates timely triage among interdisciplinary teams.

Catch up on the top radiology content of the past week.

In comparison to primary lung cancer, pulmonary metastases had a 33 percent higher frequency of ring-like peripheral high iodine concentration on dual-energy computed tomography (DECT), according to a new retrospective study.

Review the case study and test your knowledge to make the correct diagnosis.

From incidental findings and screening for chronic obstructive pulmonary disease (COPD) to surveillance imaging protocols and the advent of artificial intelligence (AI), the authors of a new meta-analysis examine insights and emerging trends from the last two decades of research on the use of low-dose computed tomography (CT) in lung cancer screening.

Review the case study and test your knowledge to make the correct diagnosis.

Is there an optimal pace for navigating the ebbs and flows of our worklists in radiology?

Catch up on the most well-viewed video interviews from Diagnostic Imaging in 2022.