
Catch up on the top radiology content of the past week.

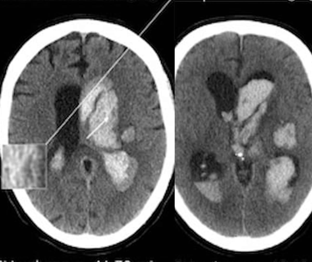
In a subgroup analysis of patients with intracerebral hemorrhage who had intraventicular hemorrhage (IVH) growth, researchers found that hypodensities on non-contrast computed tomography (CT) were associated with more than double the risk for greater than 1 mL of expanded IVH (eIVH).

Catch up on the top radiology content of the past week.

In a large retrospective study of 26,455 participants from the National Lung Screening Trial, low dose computed tomography (LDCT) exams revealed significant incidental findings (SIFs), ranging from emphysema to suspicious lesions, in 8,954 participants.

Catch up on the top radiology content of the past week.

In a study involving 201 consecutive patients presenting to emergency departments (EDs) with abdominal pain, researchers found that radiology faculty accuracy rates in interpreting non-contrast, abdominopelvic computed tomography (CT) scans ranged from 68 to 74 percent.

Catch up on the top radiology content of the past week.

A hybrid computed tomography radiomics model demonstrated up to an 86 percent area under the curve in predicting microvascular invasion in patients with hepatocellular carcinoma in a recently published study.

Catch up on the top AI-related news and research from the past month.

While one computed tomography (CT) scan appears to have no elevated cancer risk in pediatric patients, four or more pediatric exposures to CT scans are associated with increased risks for intracranial tumor, leukemia, and non-Hodgkin lymphoma, according to newly published research out of Taiwan.

Lamenting a lack of control over imaging requests from referring clinicians, this author suggests that a more collaborative approach between referrers and radiologists may facilitate more efficient use of imaging.

Catch up on the top radiology content of the past week.

An emerging artificial intelligence (AI) software reportedly detected liver metastases in 53.7 percent of cases involving missed findings by radiologists.

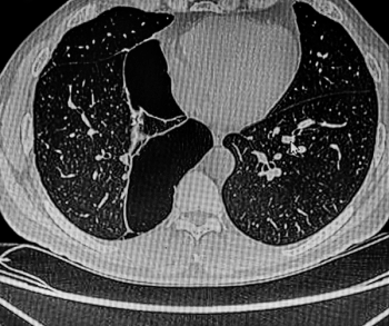
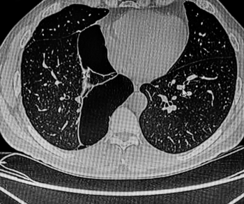
In a new study involving over 11,700 chest computed tomography (CT) scans in oncology patients, adjunctive artificial intelligence software demonstrated a sensitivity rate of 91.6 percent for incidental pulmonary embolism (IPE) and reduced median detection and notification time for IPE-positive scans from multiple days to one hour for a radiology department at a comprehensive cancer center.

Powered by artificial intelligence (AI), the Rapid NCCT Stroke modality is reportedly the first medical device to gain FDA 510(k) clearance for detecting suspected large vessel occlusion and intracranial hemorrhage based on assessment of non-contrast computed tomography (NCCT).

Catch up on the top radiology content of the past week.

Over the course of a decade, people with preexisting emphysema who continued smoking had the greatest decline in lung density, according to computed tomography (CT) findings from a study involving over 8,400 total participants and over 4,100 current smokers.

The artificial intelligence (AI) triage and notification indications include acute subdural/epidural hematoma and acute subarachnoid hemorrhage for head computed tomography (CT) imaging.

New prospective research demonstrated that the combination of ultra-low-dose (ULD) computed tomography (CT) and an artificial intelligence (AI)-based denoising method offered a greater than 95 percent sensitivity rate for differentiating negative and actionable Lung-RADS category findings with significantly reduced radiation dosing.

A recent prospective study found that progression-free survival (PFS) and disease-specific survival (DSS) were significantly associated with breast cancer tumor treatment response on 2-(18F)FDG-PET/CT imaging in comparison to contrast-enhanced computed tomography (CT), which showed no evidence of a significant association with tumor response.

Catch up on the top radiology content of the past week.

A recent study showed that artificial intelligence (AI)-based worklist reprioritization led to a mean reduction of 12.3 minutes in radiology report turnaround time for positive computed tomography pulmonary angiography (CTPA) exams that were positive for pulmonary embolism.

Catch up on the top radiology content of the past week.

A retrospective review of insurance claim data from over one million people eligible for lung cancer screening with low-dose computed tomography (LDCT) found that less than five percent were screened.

In a study of over 1,000 patients who had surgery for invasive lung adenocarcinoma, researchers found that solid adenocarcinoma on pre-op CT imaging was associated with more than double the risks of recurrence and brain metastasis in patients with clinical stage I disease in comparison to ground-glass opacity (GGO) adenocarcinoma.

Catch up on the top radiology content of the past week.

Catch up on the top AI-related news and research in radiology over the past month.