
Catch up on the top radiology content of the past week.

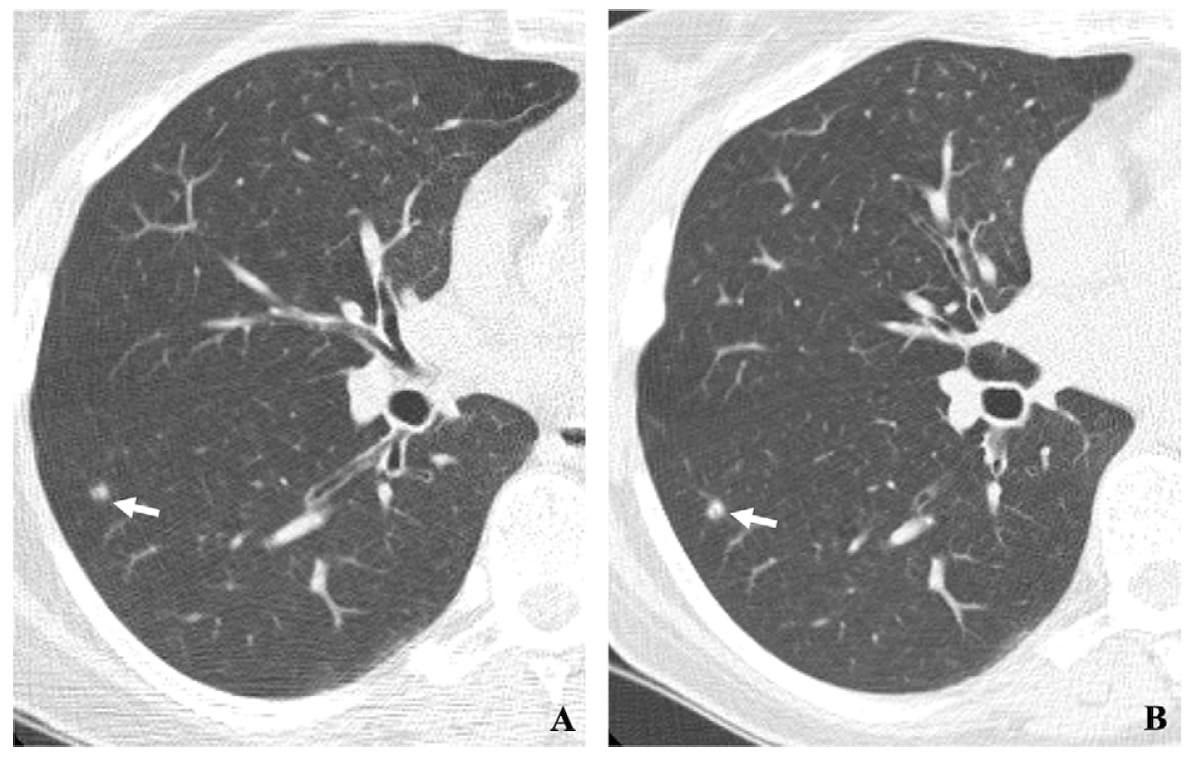
Assessing 20-year follow-up data from a cohort for an international study of annual low-dose CT screening for lung cancer, researchers noted an 81 percent survival rate after an initial primary lung cancer diagnosis for over 1,200 patients with a median 43 pack-year smoking history.

Catch up on the top radiology content of the past week.

Photon-counting computed tomography (PCCT) offers a number of salient advantages over conventional CT, including improved image resolution and contrast-to-noise ratio, enhanced denoising capability and inherent spectral sensitivity.

Catch up on the top AI-related news and research in radiology over the past month.

A 49-study meta-analysis revealed that MRI-based and CT-based radiomics models outperformed clinical models for predicting recurrence of hepatocellular carcinoma.

Catch up on the top radiology content of the past week.

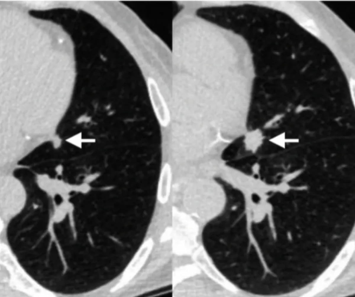
In a multicenter cohort of patients with interstitial lung disease (ILD), a deep learning classification tool demonstrated an 81 percent sensitivity rate and a 77 percent specificity rate for predicting usual interstitial pneumonia on computed tomography (CT) scans.

Offering dedicated computed tomography (CT) assessment of the cardiovascular system, the SpotLight and SpotLight Duo systems reportedly provide high-resolution imaging for diagnosis and monitoring of cardiovascular diseases.

Catch up on the top radiology news of the past week.

While the artificial intelligence (AI) triage system significantly reduced wait times for computed tomography pulmonary angiography (CTPA) results that were positive for pulmonary embolism (PE), researchers found no significant differences in the use of adjunctive AI with respect to accuracy rates and specificity rates.

Review the case study and test your knowledge to make the correct diagnosis.

Catch up on the top AI-related news and research in radiology over the past month.

Catch up on the top radiology news of the past week.

The Pulmonary Embolism (PE) Triage and Notification (PETN) module with RapidAI’s RapidPE platform reportedly demonstrated over 90 percent sensitivity and specificity rates for detection of central PE on computed tomography (CT), according to multicenter study findings presented at the 9th Annual Pulmonary Embolism Symposium.

The use of automated detection of large vessel occlusion on computed tomography (CT) through artificial intelligence (AI) software reportedly led to an 11.2-minute reduction in triage time from the completion of imaging to initiation of endovascular therapy, according to newly published research.

Over 80 percent of head and neck computed tomography angiography (CTA) exams performed in the emergency department had no actionable findings for patients with non-focal neurologic complaints, and 67 percent of the exams were ordered by non-physician practitioners (NPPs), according to a newly published study.

Catch up on the top radiology content of the past week.

In a recent video interview, Vivek Bansal, M.D., discussed a recent Radiology Partners publication that offers practical tips and best practice guidance on CT and MRI neuroimaging for stroke patients.

Indicated for the triage and notification of obstructive hydrocephalus on non-contrast brain computed tomography (CT), the artificial intelligence (AI)-enabled software is reportedly the first radiology triage modality to obtain the Food and Drug Administration’s (FDA) Breakthrough Device Designation.

Abnormal findings on coronary computed tomography angiography-derived fractional flow reserve (CCTA-FFR) are associated with 3.2-fold higher risks of all-cause death or spontaneous myocardial infarction (MI) in patients with new-onset stable angina pectoris and coronary stenosis, according to newly published research.

Catch up on the top radiology content of the past week.

The presence of high-grade hypoattenuation thickening on follow-up computed tomography (CT) after left atrial appendage occlusion (LAAO) procedures for patients with atrial fibrillation was associated with a 4.6-fold risk for stroke, according to newly published research.

Through the use of artificial intelligence (AI) and imaging modalities such as ultrasound, CT, and MRI, the newly FDA-cleared VisAble.IO software reportedly enhances planning and real-time assessment for liver tumor ablation procedures.

Catch up on the top radiology content of the past week.

Catch up on the top radiology content of the past week.

A high lipid core burden in non-revascularized plaque is associated with nearly a 13-fold higher risk of major adverse cardiovascular events (MACEs) such as cardiac death and myocardial infarction (MI), according to new research based on coronary computed tomography angiography (CCTA) findings.