Abnormal findings on coronary computed tomography angiography-derived fractional flow reserve (CCTA-FFR) are associated with 3.2-fold higher risks of all-cause death or spontaneous myocardial infarction (MI) in patients with new-onset stable angina pectoris and coronary stenosis, according to newly published research.
New research suggests that patients with new-onset stable angina pectoris and coronary stenosis have over triple the risk of all-cause death or spontaneous myocardial infarction (MI) when there are abnormal findings on coronary computed tomography angiography-derived fractional flow reserve (CCTA-FFR) testing.
For the prospective study, recently published in Radiology, researchers assessed the impact of CCTA-FFR findings on three-year outcomes for 900 patients with stable angina and coronary stenosis. The study authors noted that 523 study participants had normal CCTA-FFR results, and 377 participants had abnormal findings on CCTA-FFR, according to the study. The study authors defined an abnormal CCTA-FFR value as less than or equal to 80 percent.
The researchers found that study participants with abnormal CCTA-FFR findings had a 3.2-fold higher risk of all-cause death and spontaneous MI, and an 8.8-fold higher risk of cardiovascular death and spontaneous MI in comparison to those with normal CCTA-FFR findings.
“(Study) participants with new-onset stable angina pectoris who had normal (CCTA-FFR) values showed a reduced risk of adverse outcomes at 3-year follow-up compared with those with abnormal (CCTA-FFR) test results,” wrote lead study author Kristian T. Madsen, M.D., who is affiliated with the Department of Cardiology at the University Hospital of Southern Denmark in Esbjerg, Denmark, and colleagues.
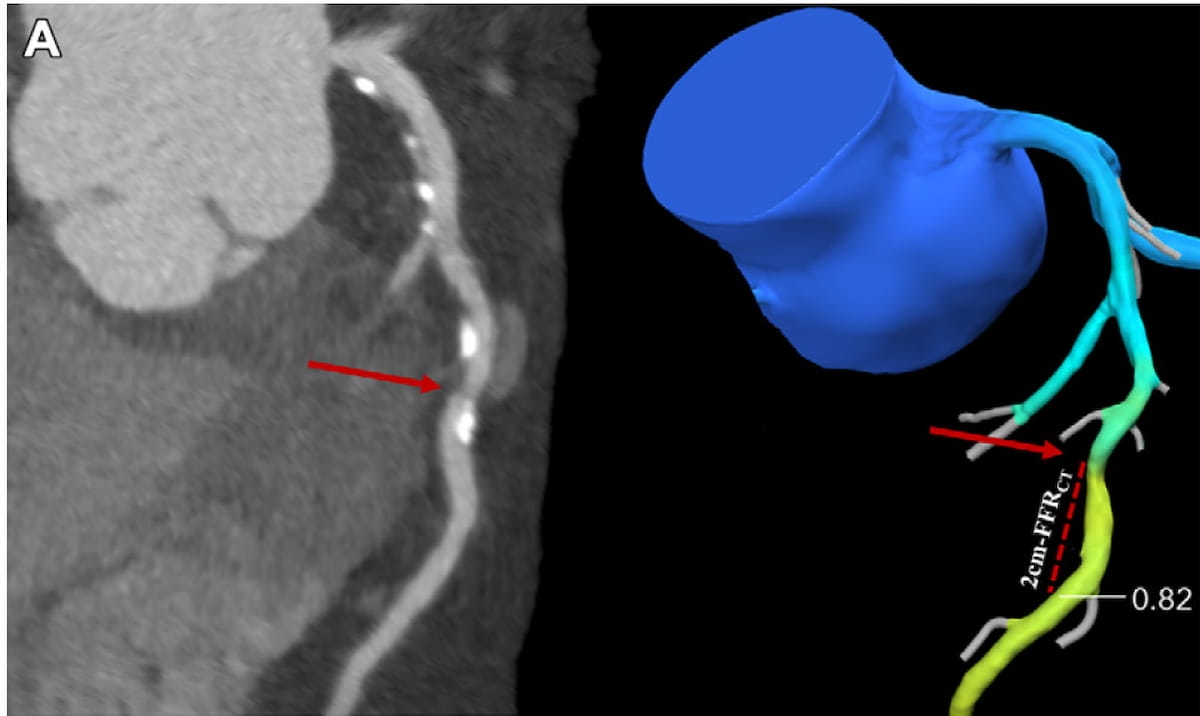
Here one can coronary computed tomography angiography (CCTA) imaging (left) and CCTA-derived fraction flow reserve (FFR) (right). In a recent study of people with stable angina and coronary stenosis, researchers found that normal CCTA-FFR values (greater than 80 percent) were associated with significantly lower risks of all-cause death and spontaneous myocardial infarction (MI) than those with abnormal CCTA-FRR values (>80 percent). (Images courtesy of Radiology.)

For study participants with high coronary artery calcium (CAC) scores (>400), the researchers found that normal CCTA-FFR values were associated with a 2.2 percent rate of all-cause death or spontaneous MI in comparison to a 4.1-fold risk in participants with abnormal CCTA-FFR values. The study authors also found a 12-fold increased risk for cardiovascular death or spontaneous MI in study participants with abnormal CCTA-FFR values in contrast to an 0.5 percent rate associated with normal CCTA-FFR values.
“Our study provides evidence for the prognostic potential of coronary CTA-derived FFR in patients with high CAC scores. Specifically, in participants with CAC scores of at least 400, those with normal coronary CTA-derived FFR results had a lower frequency of adverse cardiac events at (the three-year follow-up) … compared with those with abnormal coronary CTA-derived FFR results … ,” noted Madsen and colleagues.
In an accompanying editorial, Valentin Sinitsyn, M.D., Ph.D., emphasized the three-year follow-up demonstrating the independent prognostic value of CCTA-FFR in contrast to previous literature reports showing one-year follow-up data. Dr. Sinitsyn also noted that the area under the receiver operating characteristic curve (AUC) for a combination of risk factors in predicting cardiovascular death or MI in this patient population was 15 percent higher with the inclusion of CCTA-FFR (81 percent) in comparison to the combination of risk factors without CCTA-FFR (66 percent).
“This result further promotes the use of this important and convenient technique for triage and treatment of patients with CAD with stable disease,” wrote Dr. Sinitsyn, the head of the Radiology Department at the University Hospital of Moscow Lomonosov State University in Russia, and president of the Russian Society of Radiology.
In regard to study limitations, the study authors acknowledged a lack of data on the duration of medication treatment in the study cohort and that inadequate CTA image quality in a small percentage of cases prevented analysis of CCTA-FFR for the entire cohort. Madsen and colleagues also noted potential selection bias as the research was a sub-study of a larger non-randomized study cohort in which local physician discretion factored into clinical management decisions.
CT Study: AI Algorithm Comparable to Radiologists in Differentiating Small Renal Masses
May 14th 2024An emerging deep learning algorithm had a lower AUC and sensitivity than urological radiologists for differentiating between small renal masses on computed tomography (CT) scans but had a 21 percent higher sensitivity rate than non-urological radiologists, according to new research.
The Reading Room: Racial and Ethnic Minorities, Cancer Screenings, and COVID-19
November 3rd 2020In this podcast episode, Dr. Shalom Kalnicki, from Montefiore and Albert Einstein College of Medicine, discusses the disparities minority patients face with cancer screenings and what can be done to increase access during the pandemic.
Study Finds High Concordance Between AI and Radiologists for Cervical Spine Fractures on CT
May 6th 2024Researchers found a 98.3 percent concordance between attending radiology reports and AI assessments for possible cervical spine fractures on CT, according to new research presented at the 2024 ARRS Annual Meeting.