
In addition to new advances in PET/CT imaging to facilitate precision imaging, the company will also unveil a device at the SNMMI conference that allows in-house production of commercial PET tracers.
Senior Editor, Diagnostic Imaging

In addition to new advances in PET/CT imaging to facilitate precision imaging, the company will also unveil a device at the SNMMI conference that allows in-house production of commercial PET tracers.

Facilitating additional consultation on chest and abdominal CT scans, the Second Opinions teleradiology platform now features FDA-cleared AI tools for cardiac, bone and liver assessments.

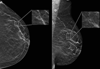
In a study of asymptomatic women at elevated risk for breast cancer, digital breast tomosynthesis (DBT) demonstrated equivalent sensitivity to full-field digital mammography (FFDM) for three out of four reviewing radiologists and detected no additional cancers beyond those detected with FFDM.

There was over a 31 percent decline in radiology-only practices and over a 25 percent decrease of practices employing 10-24 radiologists, according to new research examining consolidation trends in radiology from 2014 to 2023.

Offering comparable sensitivity to radiologists for detecting contralateral breast cancer on mammography images, an emerging adjunctive AI software may also facilitate earlier diagnosis, according to study findings presented at the at the 2024 American Society of Clinical Oncology (ASCO) Annual Meeting.

In a retrospective study involving nearly 119,000 women, researchers found that implementation of AI into mammography screening increased the positive predictive value by 11 percent, increased small cancer detection by 8.3 percent and reduced reading workload by approximately 33 percent.

Featuring a combination of automated measurement capabilities and workflow enhancements, the new AI-powered cardiovascular ultrasound platform also provides automated assessment of regional wall motion abnormalities.

An AI algorithm that incorporates scoring of coronary inflammation based on coronary CT angiography (CCTA) may enhance long-term cardiovascular risk stratification beyond conventional risk factor and imaging assessments, even in patients without obstructive CAD.
Offering access to over 110 AI applications, the enterprise imaging platform enables radiologists to test, deploy and monitor the use of AI technologies.

Additional carcinoma in the ipsilateral breast was detected on preoperative MRI exams in 24 out of 102 women prior to lumpectomy and mastectomy procedures, according to new study findings presented at the 2024 American Society of Clinical Oncology (ASCO) Annual Meeting in Chicago.

The AI-powered Heuron ICH software reportedly has an 86 percent sensitivity rate for diagnosing intracranial hemorrhage on computed tomography (CT) scans.

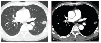
An AI model that includes extracted radiomic features from CT scans more than doubled the sensitivity rate for preoperative prediction of lung cancer recurrence in comparison to traditional TNM staging, according to study findings to be presented at the 2024 American Society of Clinical Oncology (ASCO) Annual Meeting in Chicago.

In comparison to pure solid nodules in patients with non-small cell lung cancer (NSCLC), nodules with a minor ground glass opacity component were associated with over a 38 percent higher rate of recurrence-free survival.

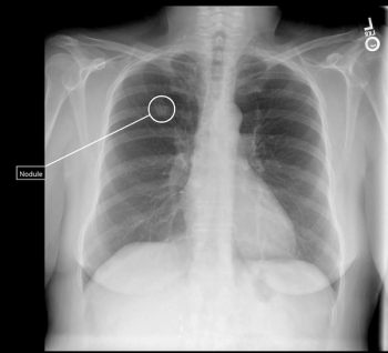
In addition to detecting missed lung nodules on X-rays, the AI-powered Qure.ai lung cancer continuum platform reportedly automates lung nodule measurement on CT scans and facilitates multimodality reporting.

The second-generation version of the VUZE System reportedly offers expanded functionality and incorporation of varied sources of 3D imaging data, including cone-beam CT scans obtained in the OR.

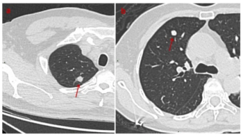
One deep learning model had a 72.4 percent accuracy rate for differentiating between benign and malignant solid pulmonary nodules on non-contrast CT while another deep learning model demonstrated an 87.1 percent AUC for differentiating benign and inflammatory findings.

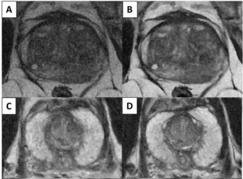
Developed by an extended prostate cancer working group of the European Society of Urogenital Radiology (ESUR), the updated PI-QUAL scoring system emphasizes a simplified scale of image parameters that applies to prostate MRI scans with and without intravenous contrast use.

Emphasizing restriction spectrum imaging (RSI), the recently launched prostate MRI software OnQ Prostate may enhance PI-RADS assessments and workflow efficiency.

PSMA PET/CT demonstrated an 83 percent pooled detection rate for primary or metastatic renal cell carcinoma (RCC), and an 87 percent detection rate for restaging of metastatic or recurrent RCC, according to a nine-study meta-analysis.

For patients with no history of coronary artery disease (CAD), new research shows the use of CT-derived fractional flow reserve (FFR-CT) guided revascularizations after elective vascular surgery reduced myocardial infarction and all-cause death by 20 percent in comparison to standard care.

Image quality, sharpness, and contrast with AI-based denoising were significantly enhanced for neck CT in comparison to conventional CT image reconstruction at 100 percent and 50 percent mAs, according to newly published research.

In a study of over 2,000 women with dense breasts and average breast cancer risk, abbreviated MRI (AB-MR) demonstrated an 18.9 per 1000 cancer detection rate (CDR) in baseline exams, and all cancers detected with baseline or subsequent AB/MR exams were stage 0 or 1.

New prospective research examining the utility of 18F-PSMA-1007 PET/CT revealed comparable sensitivity to mpMRI for detecting clinically significant prostate cancer and a 17 percent higher specificity rate.

Researchers also noted that mammography-based AI software was associated with over a threefold higher likelihood of false-positive risk scores in patients 61 to 70 years of age in comparison to women 51 to 60 years of age.

Incorporating dynamic contrast-enhanced MRI, a deep learning model demonstrated a 20 percent higher AUC in external validation testing than clinical factors alone and over a 17 percent higher AUC than radiological factors alone in predicting proliferative hepatocellular carcinoma (HCC).

In recognition of National Women’s Health Month, Dana Bonaminio, MD, Amy Patel, MD, and Stacy Smith-Foley, MD, shared their thoughts and perspectives on the recently updated breast cancer screening recommendations from the United States Preventive Services Task Force (USPSTF).

Reportedly trained on thousands of computed tomography scans, the e-Lung software utilizes machine learning to detect and assess the progression of features associated with interstitial lung diseases.

The package of point-of-care ultrasound (POCUS) applications can reportedly facilitate rapid implementation of POCUS into imaging workflows.

The second version of the device reportedly detects T2/T3 fetal ultrasound views with 93.7 percent sensitivity and enables 63 percent of AIUM exam protocols without manual annotation.

Combining clinical and CT features, adjunctive use of a classification and regression tree (CART) diagnostic model demonstrated AUCs for detecting clear cell renal cell carcinoma (ccRCC) that were 15 to 22 percent higher than unassisted radiologist assessments.