
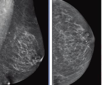
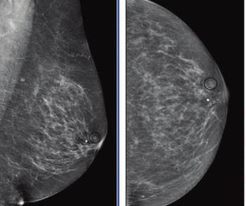
Six reader studies on digital mammography revealed a pooled sensitivity rate of 80.8 percent for stand-alone artificial intelligence (AI) in comparison to 72.4 percent for radiologist assessment while seven historic cohort studies showed a 75.8 percent pooled sensitivity rate for stand-alone AI versus 72.6 percent for radiologist interpretation of digital mammography.
















































