
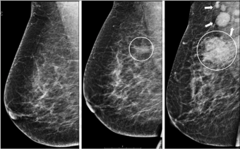
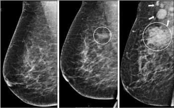
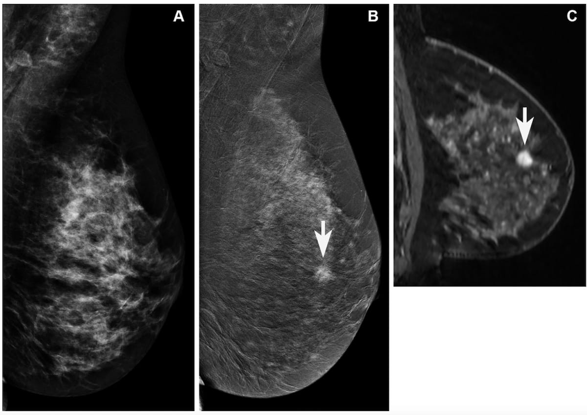
Utilized in conjunction with screening digital mammography or digital breast tomosynthesis (DBT), the artificial intelligence (AI)-powered software cmAngio may help detect and localize breast arterial calcification (BAC), an incidental finding that has been linked to an elevated risk for heart disease and stroke.














































