Adjunctive AI Leads to 40 Percent Increase in CT Sensitivity for Lung Metastases in Patients with Colorectal Cancer

News
Article

Researchers also noted a greater than 30 percent increase in treatment management changes resulting from the use of CT-based adjunctive AI to detect lung metastases in colorectal cancer patients.

New research showed the use of adjunctive artificial intelligence (AI) lead to significant increases in computed tomography (CT) sensitivity and subsequent treatment changes to address detected lung metastases in patients with colorectal cancer (CRC).

For the study, recently published in the American Journal of Roentgenology, researchers compared the use of the AI software luCAS Plus v1.00.04 (Monitor Corporation) in chest CT surveillance for lung metastasis in 663 patients with CRC (mean age of 63) versus 647 patients with CRC (mean age of 64) who had conventional chest CT interpretation.

The study authors found that adjunctive AI led to a 40.3 percent higher CT sensitivity for lung metastases in comparison to unassisted interpretation by radiologists (72.4 percent vs. 32.1 percent). Adjunctive AI facilitated over a 30 percent higher frequency of patient management changes in contrast to conventional radiologist CT interpretation (55.2 percent vs. 25 percent), according to the researchers.

Adjunctive AI Leads to 40 Percent Increase in CT Sensitivity for Lung Metastases in Patients with Colorectal Cancer

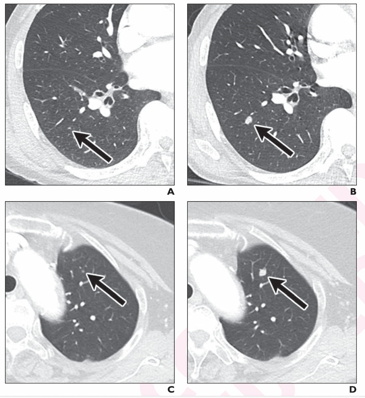
Here one can see axial CT images for two false-negative cases revealing lung nodule growth that was subsequently confirmed as metastasis for a 71-year-old man with stage 3 rectal cancer (A and B) and an 81-year-old woman with stage 3 ascending colon cancer (C and D). (Images courtesy of the American Journal of Roentgenology.)

Study findings also revealed no statistically significant differences between adjunctive AI and unassisted interpretation with specificity (99.7 percent vs. 98.9 percent) and negative predictive value (NPV) (98.8 percent vs. 97 percent).

“The findings support the application of AI systems for lung nodule detection on chest CT performed for metastasis surveillance. The observed high sensitivity for AI-assisted interpretation is critical in this setting given the substantial impact of delayed diagnosis on clinical outcomes,” wrote lead study author Sowon Jang, M.D., who is affiliated with the Department of Radiology at the Seoul National University Bundang Hospital in Gyeonggi-do, Korea, and colleagues.

In cases involving missed metastases, the researchers noted a smaller missed nodule size with adjunctive AI interpretation (mean of 3.1 mm) in comparison to unassisted radiologist interpretation (mean of 4.7 mm).

The study authors evaluated stand-alone use of the AI software and noted significantly lower specificity (39.9 percent vs. 99.7 percent) and accuracy (41.8 percent vs. 96 percent) in comparison to adjunctive use of the software.

Three Key Takeaways

1. Improved detection with AI assistance. Adjunctive use of AI software (luCAS Plus) significantly increased CT sensitivity for detecting lung metastases in colorectal cancer patients (72.4 percent) in comparison to unassisted radiologists (32.1 percent).

2. Impact on patient management. AI-assisted CT interpretation led to over 30 percent more patient management changes (55.2 percent vs. 25 percent) compared to conventional radiologist reads, reflecting its clinical influence on treatment decisions.

3. Limitations of stand-alone AI. While stand-alone AI achieved even higher sensitivity (82.8 percent), it showed markedly lower specificity (39.9 percent) and accuracy (41.8 percent) compared to adjunctive use, underscoring the importance of radiologist oversight.

However, the researchers also noted over a 10 percent higher sensitivity with stand-alone AI in contrast to adjunctive AI (82.8 percent vs. 72.4 percent). While the study authors noted a higher number of false positives (381) with stand-alone AI, they pointed out that only one of these cases was reported as positive by radiologists.

“The radiologists may have used additional CT features of the nodules (e.g., calcification, fat) and comparison with prior imaging examinations to classify AI-reported nodules as benign. Radiologists may also have been comfortable in dismissing positive AI results in the context of metastasis surveillance, knowing that the patient was on a regular follow-up imaging schedule and would undergo future scans provide opportunities for re-evaluation,” posited Jang and colleagues.

(Editor’s note: For related content, see “Study: CT Colonography Screening Offers Up to 16 Percent Higher Reduction of Colorectal Cancer Incidence than Cologuard,” “Can CT-Based AI Provide Automated Detection of Colorectal Cancer?” and “Consensus Recommendations on MRI, CT and PET/CT for Ovarian and Colorectal Cancer Peritoneal Metastases.”)

Beyond the inherent limitations of a single-center retrospective study, the authors acknowledged that the low prevalence of metastasis and non-standardized case allocation thwarted assessment of radiologist experience in the study results. The researchers also noted a lack of per-lesion analysis and no evaluation of the impact of adjunctive AI on radiologist reading times.

Newsletter

Stay at the forefront of radiology with the Diagnostic Imaging newsletter, delivering the latest news, clinical insights, and imaging advancements for today’s radiologists.

Recent Videos
Mammography Research: Can Adjunctive AI for DBT Provide Insight into Tumor Biology with Breast Cancer?
Diagnostic Imaging’s Weekly Scan: September 28 — October 4
Diagnostic Imaging's Weekly Scan: September 21 — September 27
© 2025 MJH Life Sciences

All rights reserved.