
|Articles|March 7, 2023
Image IQ Quiz: Middle-Aged Male with Chest Pain and Shortness of Breath
Author(s)Diagnostic Imaging Staff
Review the case study and test your knowledge to make the correct diagnosis.
Advertisement
Case contributed by
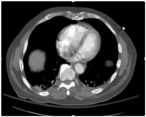
A middle-aged male presents with chest pain and shortness of breath. What is the diagnosis?
Newsletter
Stay at the forefront of radiology with the Diagnostic Imaging newsletter, delivering the latest news, clinical insights, and imaging advancements for today’s radiologists.
Advertisement
Latest CME
Advertisement
Advertisement

































