
In a recent interview, Rajesh Bhayana, M.D., shared insights from new research that compared the abilities of ChatGPT-3.5 and ChatGPT-4 to answer text-based questions akin to those found on a radiology board examination.

Emerging breast ultrasound research showed the use of computer-aided diagnosis (CAD), powered by deep learning, led to 24 percent and 36.9 percent improvements in accuracy and specificity, respectively, in the use of BI-RADS classifications by radiologists without breast ultrasound expertise.

In a recent interview, Rajesh Bhayana, M.D., shared insights from new research that compared the abilities of ChatGPT-3.5 and ChatGPT-4 to answer text-based questions akin to those found on a radiology board examination.

Updates to Contour ProtegeAI 4.0 reportedly include enhanced algorithms for radiation oncology segmentation and molecular radiotherapy.

Catch up on the top radiology content of the past week.

In a recent video interview, David Ouyang, M.D., shared insights from two recent studies he co-authored on the use of artificial intelligence (AI) to improve initial assessment of left ventricular ejection fraction (LVEF) on echocardiography and ascertain cardiac risks associated with changes in the left ventricle sphericity index seen on magnetic resonance imaging (MRI).

The DRX-Rise Mobile X-ray System reportedly combines optimal image quality with enhanced maneuverability and ease of use for radiologists.

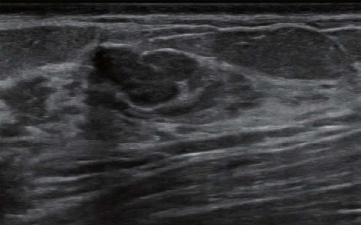
Adjunctive use of an artificial intelligence (AI) software demonstrated nearly equivalent sensitivity and over 28 percent higher accuracy in comparison to radiologist assessment of breast ultrasound images for breast lesions, according to new research presented at the recent Society of Breast Imaging (SBI) conference.

Catch up on the top radiology content of the past week.

In a review of the literature, this author discusses the viability of artificial intelligence (AI), parallel imaging, compressed sensing and simultaneous multi-slice excitation for improving the scan times and use of magnetic resonance imaging (MRI) to facilitate CyberKnife treatment.

Regardless of experience level, radiologists are likely to be affected by automation bias when utilizing adjunctive artificial intelligence (AI) for mammography interpretation, according to newly published research.

Catch up on the top radiology content of the past week.

The artificial intelligence (AI)-powered Neuro Suite reportedly enables radiologists to access leading neurological AI algorithm solutions in the field, including the brain magnetic resonance imaging (MRI) segmentation capabilities of the Combinostics’ algorithm that can help differentiate degenerative pathologies such as Alzheimer’s disease and dementia.

The artificial intelligence (AI)-powered EchoGo Amyloidosis can reportedly detect cardiac amyloidosis by assessing a single echocardiogram.

Catch up on the top AI-related news and research from the past month.

Catch up on the top radiology content of the past week.

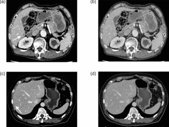
An emerging artificial intelligence (AI) software reportedly detected liver metastases in 53.7 percent of cases involving missed findings by radiologists.

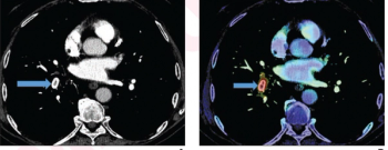
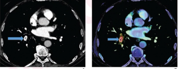
In a new study involving over 11,700 chest computed tomography (CT) scans in oncology patients, adjunctive artificial intelligence software demonstrated a sensitivity rate of 91.6 percent for incidental pulmonary embolism (IPE) and reduced median detection and notification time for IPE-positive scans from multiple days to one hour for a radiology department at a comprehensive cancer center.

Powered by artificial intelligence (AI), the Rapid NCCT Stroke modality is reportedly the first medical device to gain FDA 510(k) clearance for detecting suspected large vessel occlusion and intracranial hemorrhage based on assessment of non-contrast computed tomography (NCCT).

Catch up on the top radiology content of the past week.

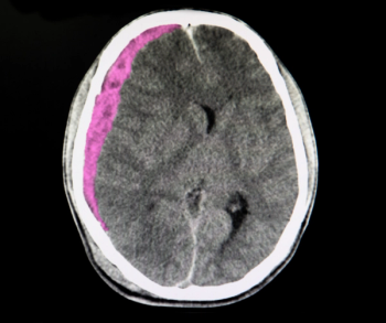
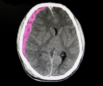
The artificial intelligence (AI) triage and notification indications include acute subdural/epidural hematoma and acute subarachnoid hemorrhage for head computed tomography (CT) imaging.

New prospective research demonstrated that the combination of ultra-low-dose (ULD) computed tomography (CT) and an artificial intelligence (AI)-based denoising method offered a greater than 95 percent sensitivity rate for differentiating negative and actionable Lung-RADS category findings with significantly reduced radiation dosing.

Catch up on the top radiology content of the past week.

A recent study showed that artificial intelligence (AI)-based worklist reprioritization led to a mean reduction of 12.3 minutes in radiology report turnaround time for positive computed tomography pulmonary angiography (CTPA) exams that were positive for pulmonary embolism.

Based on a review of 3,495 echocardiographic studies to evaluate left ventricular ejection fraction (LVEF), researchers found that cardiologists changed initial artificial intelligence (AI) assessment 16.8 percent of the time and initial sonographer assessment 27.2 percent of the time.

Researchers found that ChatGPT offered appropriate responses to 22 out of 25 patient-oriented questions on mammography screening, dense breasts, BI-RADS scoring and other topics related to breast cancer screening and prevention.

The artificial intelligence (AI) powered Auto B-line Counter, which reportedly produces a B-line count from a six-second ultrasound clip, may facilitate more expedient and consistent assessment of abnormal lung function.