
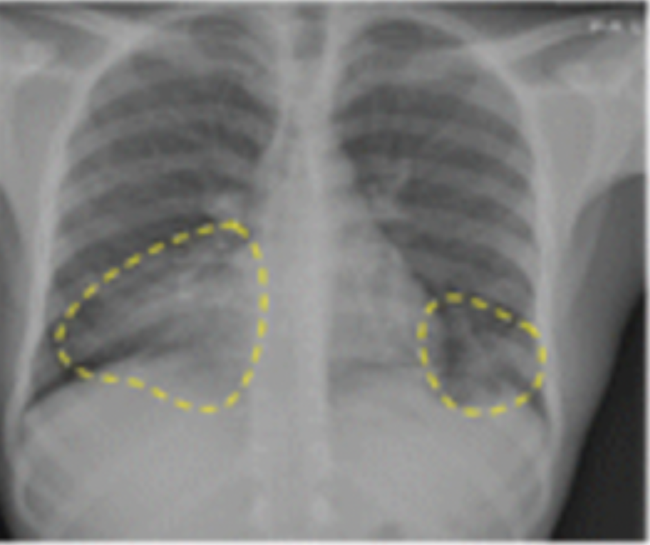
The automated measurement of heart ventricle diameters and detection of potential dilation in the right ventricle may facilitate quicker intervention in cases of pulmonary embolism.

Examining imaging data of patients from multiple countries, researchers found that a deep learning system demonstrated higher sensitivity and non-inferior specificity for detecting active tuberculosis on chest radiographs in comparison to nine radiologist reviewers.

The automated measurement of heart ventricle diameters and detection of potential dilation in the right ventricle may facilitate quicker intervention in cases of pulmonary embolism.

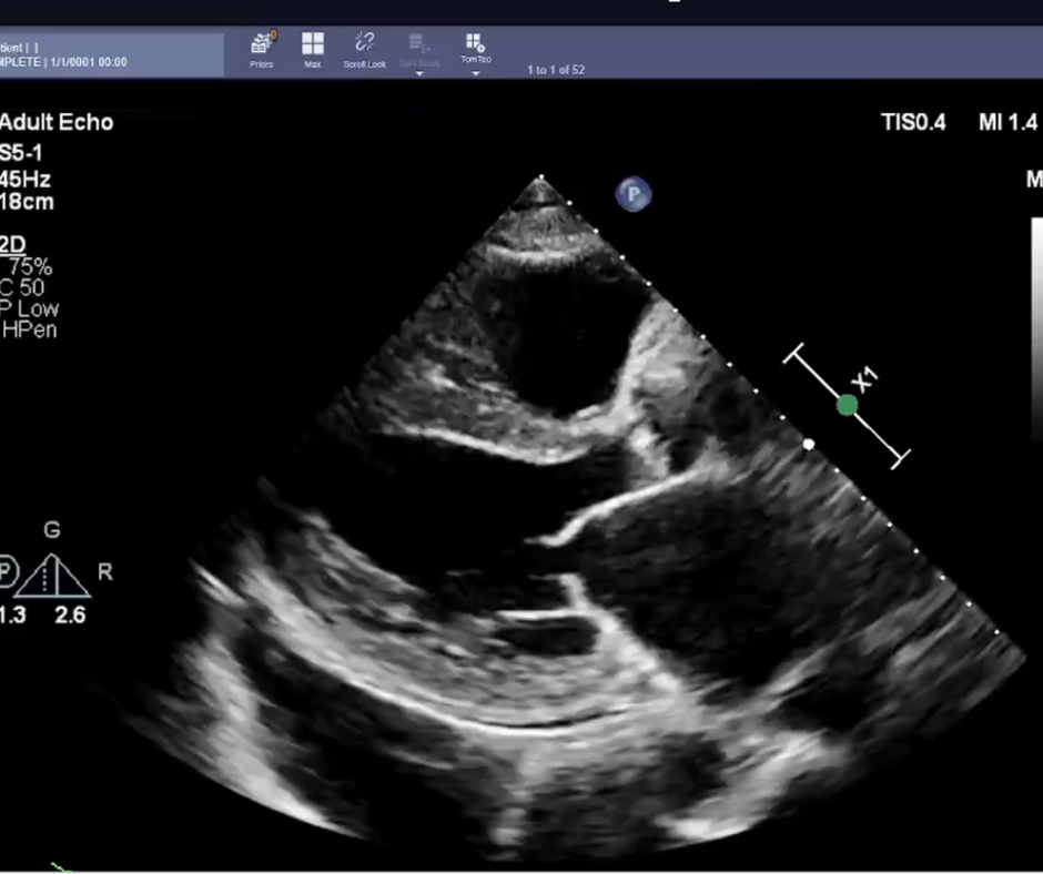
In comparison to initial sonographer assessment of echocardiograms, cardiologists are over 10 percent less likely to change initial artificial intelligence (AI) assessment of left ventricular ejection fraction (LVEF), according to new research recently presented at the European Society of Cardiology Congress in Barcelona, Spain.

Catch up on the top AI-related radiology content of the past month.

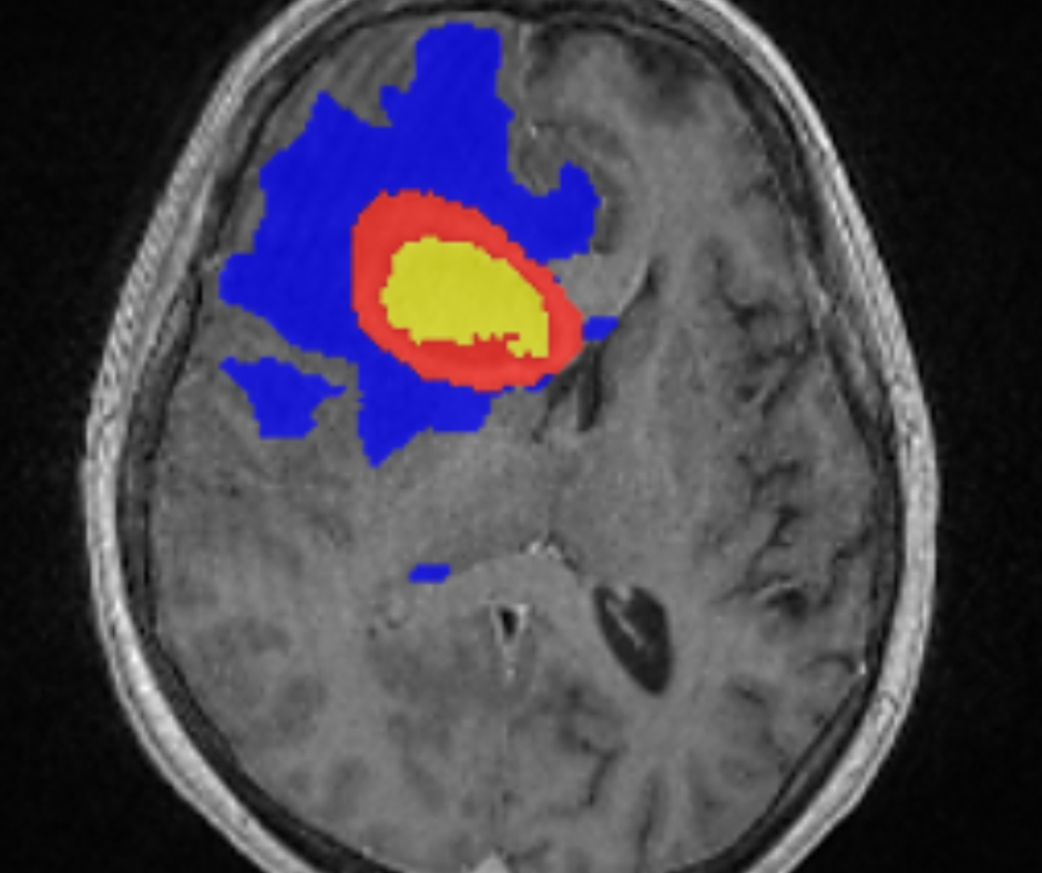
The Maestro Brain Model reportedly provides automated identification, quantification and labeling of brain structures on magnetic resonance imaging (MRI).

Emerging research suggests the machine learning-based DiaBeats algorithm could facilitate early detection of prediabetes or diabetes.

The ProstatID, an adjunctive artificial intelligence software that radiologists can utilize with traditional magnetic resonance imaging (MRI), reportedly measures prostate gland volume, and suggests PI-RADS scoring of suspicious lesions.

Catch up on the top radiology content of the past week.

Researchers discuss key parameters for the assessment, implementation and post-implementation monitoring of emerging artificial intelligence (AI) tools in radiology practices large and small.

The Definium 656 HD fixed X-ray system reportedly features enhanced, artificial intelligence (AI)-driven image processing, facilitates radiology workflows, and reduces patient positioning time.

Preliminary research revealed an area under the curve (AUC) of 85 percent for an artificial intelligence (AI) algorithm in diagnosing COVID-19 on initial chest X-rays in comparison to a consensus 71 percent AUC for five radiologists.

Viz.ai said the Viz Subdural Hematoma (SDH) artificial intelligence (AI) algorithm provides automatic detection of acute and chronic subdural hemorrhages, facilitating timely triage and treatment of patients.

Catch up on the top radiology content of the past week.

Artificial intelligence (AI) accurately diagnosed 79 percent of proximal large vessel occlusions with an ipsiversive gaze deviation on non-contrast computed tomography (CT), according to new research findings presented recently at the Society of Neurointerventional Surgery’s (SNIS) 19th Annual Meeting in Toronto.

Catch up on the top radiology content of the past week.

The next-generation ultrasound system reportedly offers enhanced images through graphic-based beamforming technology, a variety of artificial intelligence (AI)-powered tools and reduced exam times.

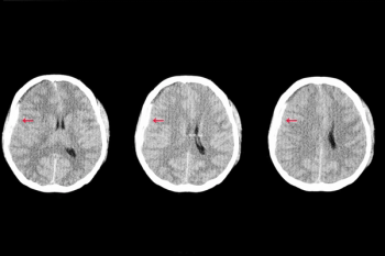
RapidAI’s Rapid Hyperdensity tool reportedly allows quicker assessment of hyperdense tissue in the brain via non-contrast computed tomography (CT) scans.

In a video interview, Morris Panner, the president of Intelerad Medical Systems, discussed key observations from the recent Society for Imaging Informatics in Medicine (SIIM) conference, recent research about artificial intelligence (AI) adoption and emerging goals for enhancing the efficiency of radiology workflows.

Catch up on the top radiology content of the past week.

The artificial intelligence (AI) capabilities of the new software reportedly facilitate scanning times that are three times faster than conventional magnetic resonance image (MRI) scanners.

An updated machine learning model demonstrated a 23 percent improvement in accuracy and a 36.1 percent improvement in sensitivity over visual radiologist assessment of ultrasound images for differentiating malignant lymph nodes and benign COVID-19 vaccination-related changes to lymph nodes.

Catch up on the top radiology news of the past week.

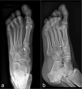
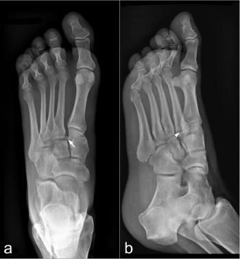
The study, involving 500 patients, showed that artificial intelligence (AI) assistance enhanced fracture diagnosis on radiographs and reduced reading time for radiologists of varying experience levels.

The new magnetic resonance imaging (MRI) device reportedly offers deep learning technologies and advanced processing of whole-body images in a cost-effective and lightweight model.

Ambient speech capabilities in emerging voice recognition products and software updates may convert the clinical context of conversational speech into structured data for radiology reports.

Calantric™ Digital Solutions reportedly offers artificial intelligence (AI)-powered apps, bolsters lesion detection, facilitates triage priorities and enhances workflow efficiency.