
Catch up on the most well-read ultrasound articles from 2023.

Catch up on the most well-read ultrasound articles from 2023.

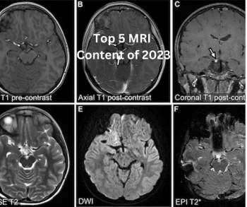
Catch up on the most well-read magnetic resonance imaging (MRI) articles from 2023.

In addition to offering a 98.5 percent sensitivity rate in diagnosing fractures on X-ray, an emerging artificial intelligence (AI) software reportedly helped reduce mean turnaround time on X-ray fracture diagnosis from 48 hours to 8.3 hours, according to new research presented at the Radiological Society of North America (RSNA) conference.

Catch up on the top radiology content of the past week.

Emerging research suggests that adjunctive artificial intelligence (AI) improves sensitivity for a variety of abnormalities on chest X-rays regardless of radiologist experience level, including an average 26 percent increase in sensitivity for pneumothorax.

Emerging research suggests that stand-alone artificial intelligence (AI) assessment of breast ultrasound exams could eliminate over 45 percent of unnecessary follow-up exams.

Will AI-powered diagnostic workups without on-site docs be a new reality in 2024?

Catch up on the top radiology content of the past week.

BraveCX, an artificial intelligence (AI)-enabled software, reportedly has an area under the curve (AUC) of 98 percent for detecting pneumothorax on chest X-rays.

Catch up on the top radiology content of the past week.

Catch up on the top AI-related news and research in radiology over the past month.

Offering an all-in-one platform of artificial intelligence (AI) applications, MyBreastAI Suite reportedly facilitates early breast cancer detection and enhances efficiency with breast imaging workflows.

Dr. Kottler sat down with Diagnostic Imaging at RSNA 2023 to discuss AI imaging milestones and the potential impact of AI on workflows in radiology.

The Aquilion ONE/Insight Edition and Aquilion Serve SP computed tomography (CT) systems reportedly offer enhanced deep learning reconstruction and intuitive workflow efficiencies.

In a recent interview about President Biden’s recent executive order on artificial intelligence (AI), Morris Panner, the president of Intelerad Medical Systems, shared his concerns that the executive order, while well-intentioned, may wind up stifling innovation and the continued evolution of AI in radiology.

Catch up on the top radiology content of the past week.

The Biograph Vision.X positron emission tomography/computed tomography (PET/CT) reportedly offers an industry-leading time of flight (TOF) and detector technology that facilitates the diagnosis of smaller lesions.

Artificial intelligence (AI) assessments of chest X-rays identified 28 percent of a 17,000 plus cohort of never-smokers as being at high-risk for lung cancer, according to research to be presented at the annual Radiological Society of North America (RSNA) conference next week.

Pixyl.Neuro reportedly leverages generative artificial intelligence (AI) technology to accelerate brain MRI assessment and improve early detection of abnormal atrophy.

Through assessment of diffusion tensor MRI of the brain, a new AI system reportedly offers a 97 percent sensitivity rate in diagnosing autism in children between two to four years of age, according to research to be presented at the annual Radiological Society of North America (RSNA) conference next week.

The artificial intelligence (AI)-powered technology reportedly offers decreased noise magnitude while enhancing image reconstruction for cardiovascular computed tomography (CT) scanners.

Catch up on the top radiology content of the past week.

Combining enhanced imaging capabilities, workflow efficiencies and artificial intelligence (AI)-enabled technology to improve the diagnosis and management of health conditions in women, Samsung has launched the V6 ultrasound system.

Providing automated brain volume calculations based on MRI images, NeuroShield’s artificial intelligence (AI)-powered technology may help facilitate treatment for neurodegenerative conditions ranging from Alzheimer’s disease to epilepsy.

Lunit Insight DBT may facilitate improved detection and efficiency for radiologists interpreting digital breast tomosynthesis images.