
CT
Latest News

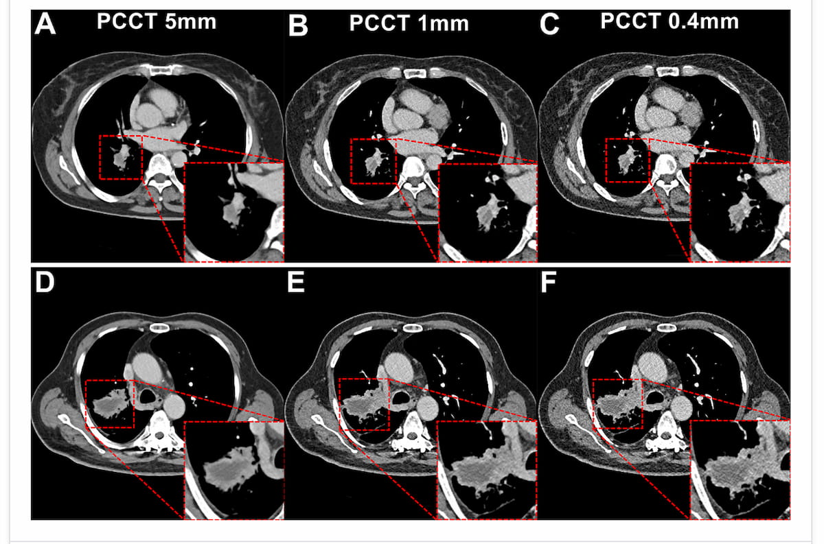
In addition to significantly reduced radiation dosing in comparison to energy-integrating detector CT (EID-CT), photon-counting CT provided higher detection of enhancement-related malignant features, according to new prospective research involving 200 patients with lung cancer.
Latest Videos

Shorts







Podcasts
CME Content
More News

A prospective research comparison of ultra-low-dose (ULD) PCCT and low-dose (LD) PCCT protocols yielded comparable image quality and strong agreement on emphysema severity assessments with ULD PCCT offering significantly reduced radiation dosing.

In a prospective comparison with prior criteria for evaluating hepatocellular carcinoma surveillance, the American Association for the Study of Liver Diseases (AASLD) version 2023 system offered significantly higher sensitivity.

Catch up on a variety of new FDA clearances in radiology from the past week.

The AI-CVD software reportedly combines automated quantitative measurements for cardiovascular assessments such as coronary artery calcium (CAC) scoring and epicardial fat volumetry with lung attenuation and liver attenuation analysis in one CT-based AI platform.

In a study involving over 1,400 patients who had abdominal or pelvic CTs, the large language model GPT-4o selected optimal protocols in 96.2 percent of cases in comparison to 88.3 percent for radiologists.

Catch up on the most popular radiology podcasts from 2025.

Catch up on the most well-viewed video interviews in December 2025.

Catch up on the most well-viewed radiology content from 2025.

From controversial research on radiation-induced long-term cancer risks with computed tomography (CT) scans and the emerging prognostic value of AI-enabled plaque quantification to the potential impact of deep learning and AI-enhanced radiomics in thoracic radiology, here is a look back at the most well-viewed CT content from 2025.

Catch up on the top AI-related news and research in radiology over the past month.

Catch up on the top radiology content of the past week.

For patients with primary lung cancer, a nomogram incorporating PET, CT and clinical findings offered an 87.7 percent AUC for predicting lymph node metastasis and over a 19 percent higher sensitivity than a PET-based model for predicting small lymph node ( > 1 cm) metastasis.

Catch up on the top radiology content of the past week.

For patients with systemic sclerosis, the combination of PCCT and automated Lung Texture Analysis (LTA) offered a higher AUC for detecting interstitial lung disease (ILD) at a 70 percent lower mean CT dose index than the pairing of EID-CT and LTA.

In a recent interview, Layne Dylla, M.D. discussed key findings from a recent study that revealed a doubling of annual head CT scans in emergency department settings over a 15-year period.

Providing automated analysis of non-contrast head CT scans, the AI-enabled Scaida BrainCT-ICH software offers a specificity of 88.7 percent for intracranial hemorrhage detection with less than six seconds of processing time.

Catch up on the top radiology content of the past week.

Catch up on the top radiology content of the past week.

Catch up on the most well-viewed video interviews from Diagnostic Imaging in November 2025.

Catch up on the most-well viewed radiology content in November 2025.

The new FDA 510(k) clearances for RapidAI include Rapid LMVO, which facilitates assessment of ischemic stroke, and Rapid MLS, which aids in the quantification of midline shifts with potential brain injuries.

Catch up on the top AI-related news and research in radiology over the past month.

Catch up on the top radiology content of the past week.

Comparing annual emergency department encounters that involved a head CT in 2007 and 2022, researchers noted a 51 percent increase and also found significant disparities in access to head CTs for Black patients, those on Medicaid and patients in rural hospital settings.

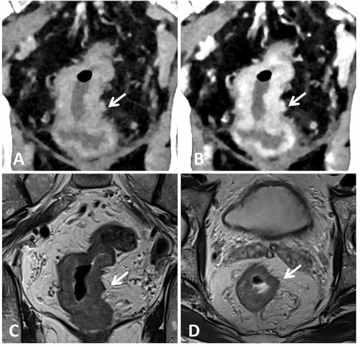
For T3-T4 rectal cancer staging, a new study showed that optimal photon-counting CT offered an AUC range between 80 and 86 percent in comparison to an AUC range between 78 and 88 percent for rectal MRI.
























