
CT
Latest News
Latest Videos

CME Content
More News

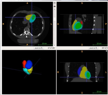
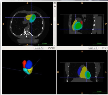
The AI-enabled AutoChamber software also garnered the FDA’s breakthrough device designation for opportunistic detection of enlarged heart chambers on non-contrast CT scans.

Al-powered quantitative assessment of coronary CT angiography (CCTA) revealed that non-calcified plaque volume was over 3.5 times higher in patients who had major adverse cardiovascular events, according to multicenter research presented at the Transcatheter Cardiovascular Therapeutics (TCT) conference.

Catch up on the top radiology content of the past week.

Catch up on the top AI-related news and research in radiology over the past month.

The Ezra Blueprint scan reportedly includes quantitative brain measurements, coronary calcium scoring (CAC) and a full-body MRI that provides screening for over 500 conditions.

Designed for theranostic imaging applications, the AnyScan Trio SPECT/CT TheraMax scanner was recently unveiled at the annual meeting of the European Association of Nuclear Medicine (EANM).

For segment-level coronary artery calcium (CAC) scoring, a deep learning model had an accuracy rate of 73 percent for assigning calcifications to coronary artery segments and achieved a micro-average specificity of 97.8 percent.

Catch up on the top radiology content of the past week.

Adjunctive use of deep learning reportedly led to a 37 percent reduction of interpretation time for cerebral aneurysm assessment on computed tomography angiography (CTA) and greater than a 90 percent reduction in post-processing time.

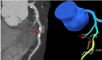
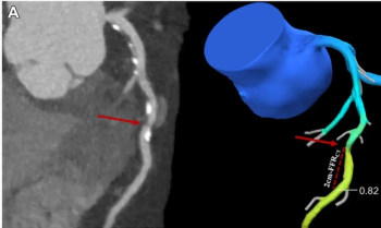
In nearly 5,300 patients with suspected coronary artery disease (CAD), adjunctive use of CT-based fractional flow reserve software significantly reduced the 90-day invasive coronary angiography (ICA) rate in comparison to unassisted use of coronary computed tomography angiography (CCTA).

Four Medicare administrative contractors (MACs) will provide coverage of AI-enabled coronary plaque analysis and quantitative coronary tomography assessment of coronary computed tomography angiography (CCTA) for Medicare beneficiaries starting in November 2024.

Catch up on the top radiology content of the past week.

Researchers found that ultra-high resolution photon-counting significantly enhanced visualization of small vessels and facilitated improved reduction of blooming artifacts for head and neck computed tomography angiography (CTA) scans.

While staffing shortages in radiology continue to persist after the COVID-19 pandemic, current and emerging innovations powered by artificial intelligence (AI) may help facilities navigate these challenges and mitigate rising costs of health care.

Catch up on the top radiology content of the past week.

Through analysis of coronary computed tomography angiography (CCTA) images, the PlaqueIQ software provides quantification and classification of atherosclerosis, a common cause of myocardial infarction (MI) and ischemic stroke.

In a multicenter study of over 1,100 patients with COVID-19, pleural effusion was detected on CT scans in nearly a third of patients, who also had significantly higher ICU admission and 30-day mortality rates.

Catch up on the top radiology content of the past week.

Intestinal ultrasound demonstrated an 88.2 percent agreement with computed tomography enterography in characterizing creeping fat in patients with Crohn’s disease, according to new research.

Catch up on the top AI-related news and research in radiology over the past month.

Irrespective of differences with radiation dosing and tube voltage, obtaining CT-derived fat fraction from photon-counting detector CT provides consistently comparative results to MRI-derived proton density fat fraction assessment, according to new research.

For patients who had neuroradiological trauma CT scans, researchers noted no significant visual differences between deep learning denoising at 25% mAs and iterative reconstruction at 100% mAs.

Catch up on the top radiology content of the past week.

The CINA-CSpine AI software reportedly demonstrated a 90.3 percent sensitivity rate for cervical spine fractures in validation testing on more than 300 non-contrast CT scans.

Emphasizing multi-structure segmentation and feature extraction from chest CT scans, an emerging AI model demonstrated an approximately 70 percent AUC for predicting significant incidental extrapulmonary findings as well as two-year and 10-year all-cause mortality.










































