
Cardiac CT
Latest News
Latest Videos

Podcasts
CME Content
More News

Facilitating timely detection and follow-up management of patients with aortic aneurysms, the PRAEVAorta2 software reportedly enables automated measurement of aortic diameters on computed tomography (CT) scans.

In a study involving over 500 patients, researchers noted that the CT-based AI software led to a 24 percent increase of evaluations for aortic abdominal aneurysms within six months of detection.

The AI-powered Bunkerhill MAC software reportedly facilitates chest CT detection and quantification of mitral annular calcification, which has been linked to higher cardiovascular risk and related mortality.

Based on survey findings and subsequent voting from radiologists at nine facilities, the Society of Abdominal Radiology has issued new consensus recommendations on the use of adult abdominal photon-counting CT.

The Planmed XFI full-body weightbearing cone-beam CT scanner reportedly enables upright and supine patient positioning.

Providing adjunctive AI detection for multiple conditions on CT through a single workflow, the multi-triage platform would be available through Aidoc’s aiOS platform.

While pooled data from 38 studies showed markedly higher sensitivity rates for the use of adjunctive AI for ischemic stroke detection on non-contrast CT exams, researchers noted a high degree of bias and lack of external validation in many of the studies.

Catch up on the most-well viewed radiology content in September 2025.

The updated Heartflow Plaque Analysis software reportedly offers enhanced 3D visualization of plaque type, volume and distribution based on coronary computed tomography angiography (CCTA) imaging.

For children who had a head CT scan, there was a 35 percent increased relative risk of developing hematologic cancer, according to a new study examining data from over 3.7 million children with a mean follow-up period of 10.1 years.

Researchers also found that low-dose chest CT detection of emphysema was associated with a 29 percent higher risk of all-cause mortality up to 25 years later, according to a study involving over 9,000 individuals with a history of smoking.

For myocardial extracellular volume quantification, single-phase and dual-phase photon-counting CT provided over 20 percent higher correlation with cardiac MRI in contrast to dual-phase energy-integrating detector CT, according to new research findings.

Offering the capability to convert a non-contrast chest CT into quantitative ventilation perfusion mapping, use of the CT:VQ software allows for additional Category III CPT reimbursement beyond the chest CT.

In a long-term follow-up analysis of the ELCAP CAC score for predicting cardiovascular mortality, over 30 percent of current or former smokers with high ELCAP CAC scoring on low-dose CT suffered cardiovascular disease death within a 25-year period.

The Revolution Vibe computed tomography system reportedly facilitates quality low-dose imaging for cardiac exams in patients with arrhythmias, heavily calcified coronaries and stents.

Catch up on the most-well viewed radiology content in August 2025.

Use of the AI-powered Salix Coronary Plaque module, which offers detection of high-risk plaque within 10 minutes based off of CCTA scans, will reportedly qualify for $950 in Category 1 CPT reimbursement in 2026.

In addition to facilitating centralized scanning for a variety of imaging, the TechLive system may help ease the strain of technologist shortages and broaden access to advanced imaging exams.

Study Reveals Significant Prevalence of Abnormal PET/MRI and Dual-Energy CT Findings with Long Covid
In a prospective study involving nearly 100 patients with Long Covid, 57 percent of patients had PET/MRI abnormalities and 90 percent of the cohort had abnormalities on dual-energy CT scans.

The dose length product (DLP) for the flash mode on a dual-source photon-counting CT system was less than a third of that for the spiral mode, according to a study of CTA findings for 1,000 patients presented at the Society of Cardiovascular Computed Tomography (SCCT) conference.

Stay updated with the latest in radiology, including PET, MRI, and AI research, plus essential insights on mammography and cardiac imaging.

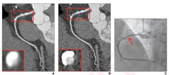
For patients who had coronary CTA for acute chest pain, emerging research found no significant association between plaque burden grades with CAD-RADS 2.0 and cardiac events.

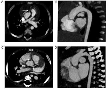
For pediatric patients with congenital heart disease, new research showed that cardiac PCCT yielded comparable signal-to-noise and contrast-to-noise ratios to energy-integrating detector CT at over a 43 percent lower dose length product.

In a new study comparing standard resolution and ultra-high resolution modes for patients undergoing coronary CTA with photon-counting detector CT, researchers found that segment-level sensitivity and accuracy rates for diagnosing coronary artery stenosis were consistently > 89.6 percent.

The AI-powered Viz Subdural Plus reportedly provides automated measurements and labeling of subdural collections, including subdural hemorrhages (SDHs), based on non-contrast CT scans.





































