
Oncology CT
Latest News

Latest Videos

Podcasts
CME Content
More News

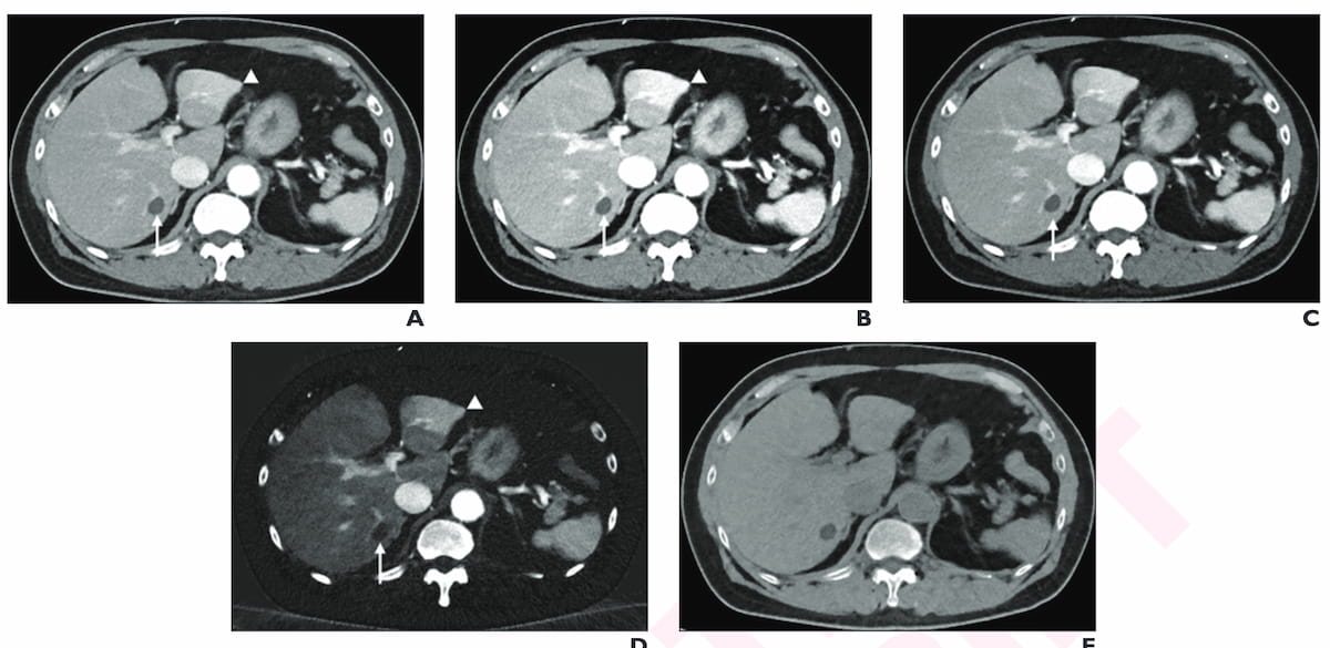
Researchers found comparable 10-year overall survival rates for people who had computed tomography (CT) surveillance (94.7 percent) and those who had surgery for ground-glass nodules (97.6 percent), according to a new prospective study involving over 680 participants.

The Planmed XFI full-body weightbearing cone-beam CT scanner reportedly enables upright and supine patient positioning.

Providing adjunctive AI detection for multiple conditions on CT through a single workflow, the multi-triage platform would be available through Aidoc’s aiOS platform.

Catch up on the most-well viewed radiology content in September 2025.

New research suggests the combination of multiparametric dual-energy CT and deep learning image reconstruction for liver metastases detection enables a 45 percent reduction in radiation dosing.

Facilitating increased efficiency in radiation therapy planning, the new Rembra RT and Areta RT computed tomography platforms reportedly offer 4D CT capabilities and image reconstruction speeds up to 106 images per second.

PSMA PET offered 18 percent higher accuracy for detecting biochemical recurrence of PCa in contrast to mpMRI, according to findings from a 67-study meta-analysis.

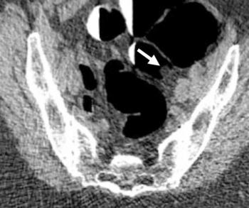
For children who had a head CT scan, there was a 35 percent increased relative risk of developing hematologic cancer, according to a new study examining data from over 3.7 million children with a mean follow-up period of 10.1 years.

Catch up on the most-well viewed radiology content in August 2025.

Catch up on the most-well viewed prostate imaging content in August 2025.

Catch up on the top AI-related news and research in radiology over the past month.

Catch up on the top radiology content of the past week.

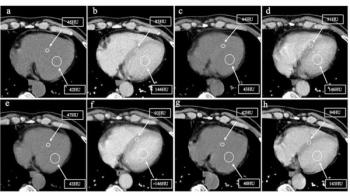
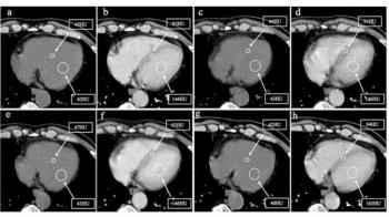
Nine months after initiation of androgen deprivation therapy (ADT), prostate cancer patients with higher myocardial extracellular volume (ECV) — derived from chest contrast-enhanced CT — had over a fourfold higher risk for major adverse cardiovascular events (MACEs), according to new research.

Catch up on the top radiology content of the past week.

In addition to facilitating centralized scanning for a variety of imaging, the TechLive system may help ease the strain of technologist shortages and broaden access to advanced imaging exams.

While a CT-based deep learning model demonstrated a 91 percent AUC for predicting lung cancer risk within one year, researchers noted other mixed results in a new study involving over 18,000 individuals.

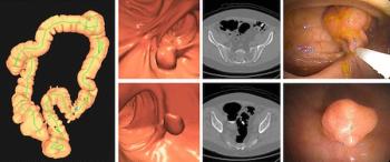
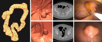
Computed tomography colonography (CTC) demonstrated a 91.6 percent positive predictive value (PPV) for polyps > 6 mm, according to new research involving over 9,000 patients who underwent CTC for primary asymptomatic colorectal cancer screening.

Catch up on the top radiology content of the past week.

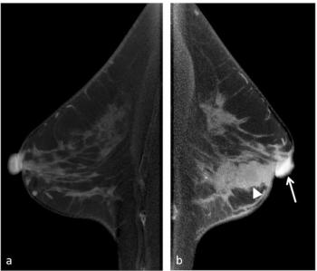
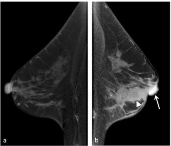
Preoperative use of contrast-enhanced cone-beam breast CT has over a 96 percent sensitivity for predicting nipple-areolar complex involvement in cases involving early-stage breast cancer, according to a new study.

Catch up on the top AI-related news and research in radiology over the past month.

Catch up on the top radiology content of the past week.

Emerging research shows that a multiple time-series deep learning model assessment of CT images provides 20 percent higher sensitivity than a delta radiomic model and 56 percent higher sensitivity than a clinical model for prognostic evaluation of ground-glass nodules.

Catch up on the top radiology content of the past week.

Researchers also noted a greater than 30 percent increase in treatment management changes resulting from the use of CT-based adjunctive AI to detect lung metastases in colorectal cancer patients.

Emerging research suggests the use of computed tomography colonography (CTC) in colorectal cancer screening may provide significantly higher preventive benefit at lower costs in comparison to multitarget stool DNA testing.









































