
CT
Latest News
Latest Videos

CME Content
More News

Offering automated conversion of computed tomography angiography (CTA) into 3D images, Viz 3D CTA reportedly facilitates real-time insights into complex neurovascular anatomy.

Catch up on the most well-viewed video interviews from Diagnostic Imaging in April 2025.

The AI software Viz AAA offered a sensitivity of 87.5 percent in detecting abdominal aortic aneurysms on contrast-enhanced CT, according to new retrospective research presented at the American Roentgen Ray Society (ARRS) conference.

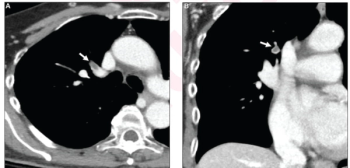
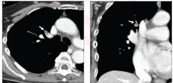
Cardiac CT angiography may provide insights on common post-op complications of left atrial appendage closure, ranging from peri-device leaks to device-related thrombus, according to research presented at the American Roentgen Ray Society (ARRS) conference.

Catch up on the top AI-related news and research in radiology over the past month.

For elderly patients with lung cancer, a preoperative CT-based coronary artery calcium score > 40 was associated with a 53 percent higher risk of all-cause mortality after surgery, according to new study findings.

In a recent interview, Syam Reddy, M.D., discussed the rising incidence of colon cancer and a clinical pathway resource with Radiology Partners that facilitates the integration of computed tomography colonography (CTC) into radiology practice.

Catch up on the top radiology content of the past week.

Recently published research projected that 103,000 future cases of radiation-induced cancer would result from 93 million computed tomography (CT) exams performed in the United States in 2023.

In comparison to radiologist assessment, the use of AI to pre-screen patients with low-dose CT lung cancer screening provided a 12 percent reduction in mean interpretation time with a slight increase in specificity and a slight decrease in the recall rate, according to new research.

Meta-Analysis Shows Merits of AI with CTA Detection of Coronary Artery Stenosis and Calcified Plaque
Artificial intelligence demonstrated higher AUC, sensitivity, and specificity than radiologists for detecting coronary artery stenosis > 50 percent on computed tomography angiography (CTA), according to a new 17-study meta-analysis.

In a recent interview, Rebecca Smith-Bindman, M.D., offered key insights on new research examining the link between computed tomography scans and projected future cases of radiation-induced cancer.

In comparison to a model based on clinicopathological risk factors, a CT radiomics-based machine learning model offered greater than a 10 percent higher AUC for predicting five-year recurrence-free survival in patients with non-metastatic clear cell renal cell carcinoma (ccRCC).

Catch up on the top radiology content of the past week.

For patients with microsatellite instability-high colon cancer, distribution-based clinical lymph node staging (dCN) with computed tomography (CT) offered nearly double the accuracy rate of clinical lymph node staging in a recent study.

The Bunkerhill BMD software provides AI-automated assessment of bone mineral density from non-contrast abdominal computed tomography scans.

Going into effect in 2026, the new CPT codes may facilitate increased adoption of the CaRi-Heart software for detecting coronary inflammation from computed tomography scans pending FDA clearance of the technology.
For patients with acute ischemic stroke, research has demonstrated that automated assessment of ischemic core volume on brain CT scans via the Brainomix 360 software is equivalent to that derived from CT perfusion.

Catch up on the top radiology content of the past week.

Study with CT Data Suggests Women with PE Have More Than Triple the One-Year Mortality Rate than Men
After a multivariable assessment including age and comorbidities, women with pulmonary embolism (PE) had a 48 percent higher risk of one-year mortality than men with PE, according to a new study involving over 33,000 patients.

Featuring enhanced low-dose image quality with motion-free images, the Revolution Vibe CT system reportedly facilitates improved diagnostic clarity for patients with conditions ranging from in-stent restenosis to atrial fibrillation.

LI-RADS category 5 (LR-5) assessment had an 11 percent higher AUC for detecting hepatocellular carcinoma (HCC) in patients with non-cirrhotic chronic hepatitis C (CHC) in comparison to those with cirrhotic CHC.

Catch up on the top radiology content of the past week.

Catch up on the most-well viewed radiology content in March 2025.

The cLung-RADS v2022 model offered a greater than 16 percent increase in the AUC in comparison to Lung-RADS 1.0 and Lung-RADS v2022 systems for predicting the invasiveness of pure ground-glass nodules.







































