
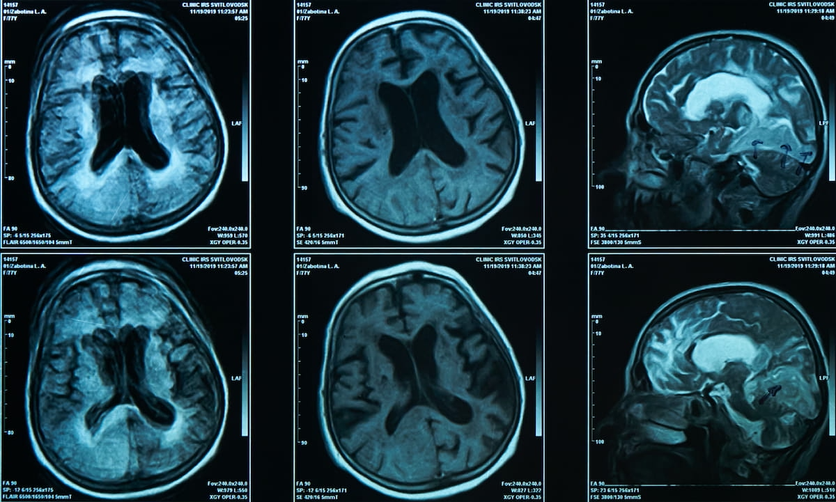
In a recently published review, radiology researchers from the University of Wisconsin discussed the potential and key considerations for applying accelerated magnetic resonance imaging (MRI) protocols in the assessment of emergent and urgent conditions.










































