
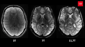
Leveraging AI technology, the AiMIFY software reportedly facilitates double the contrast enhancement in comparison to gadolinium-based contrast agents (GBCAs) for brain MRI.


Leveraging AI technology, the AiMIFY software reportedly facilitates double the contrast enhancement in comparison to gadolinium-based contrast agents (GBCAs) for brain MRI.

Catch up on the top AI-related news and research in radiology over the past month.

Offering enhanced deep learning technology, the updated NeuroQuant 5.0 software reportedly bolsters segmentation capabilities for amyloid-related imaging abnormalities (ARIA) in patients with Alzheimer’s disease.

Utilizing a new machine learning model, the OptimMRI software may improve radiosurgery applications and lesioning techniques such as MRI-guided focused ultrasound through enhanced targeting of the inferolateral part of the ventral intermediate nucleus (VIM).

Catch up on the latest research in neuroradiology over the past month.

Catch up on the top radiology content of the past week.

Detecting cerebral microbleed (CMB) in one of six healthy adults in a new study, researchers also found that CMB was the only MRI marker of small vessel disease (SVD) to be significantly associated with traumatic brain injury (TBI).

Catch up on the top radiology content of the past week.

Acute clinical events with stable MRI (ACES) in patients with multiple sclerosis (MS) are reportedly associated with significantly higher rates of confirmed disability accrual, relapse-associated worsening, and transition to secondary progressive MS.

Based on surveys of neuro-oncologists taken before and after the use of MRI perfusion imaging and spectroscopy in patients with high-grade gliomas, researchers found the advanced imaging would have led to a greater than fivefold change in patient management in comparison to previous research.

Catch up on the top AI-related news and research in radiology over the past month.

Catch up on the top radiology content of the past week.

The ninth FDA clearance for the Swoop Portable MR Imaging system is for new software that enables significant scan time reduction for brain MRI scans.

The deep learning SubtleSynth software creates synthetic STIR images that are reportedly interchangeable with conventional sequences obtained from T1 and T2-weighted MRI.

The Aperto Lucent open 0.4T MRI platform reportedly offers enhanced fat suppression and spatial resolution capabilities in addition to its open architecture design.

Emerging research revealed that a machine learning combination of amyloid beta PET and structural MRI demonstrated an 89 percent AUC in differentiating between older healthy patients and those with Alzheimer’s disease.

Catch up on the top radiology content of the past week.

Catch up on the most-well viewed radiology content in June 2024.

For patients with mild Parkinson’s disease, new research suggests that indexes of disease pathology with structural and functional connectivity of brain regions can help predict progression of gray matter atrophy at two- and three-year follow-up brain MRI exams.

Noting an average processing time of 24 seconds for deep learning detection of acute ischemic stroke on brain MRI, the authors of a new study said deep learning assessment of DWI and FLAIR sequences had equivalent sensitivity and AUROC to T2WI MRI.

Targeting improvements in workflow, patient consent protocols and adherence to scheduled exam times, researchers noted significant reductions in 15-minute and 30-minute delays with MRI exams for patients who required sedation or general anesthesia.

Catch up on the top radiology content of the past week.

As ongoing advances continue to redefine and elevate the diagnostic capabilities of MRI, ensuring the safety of patients and operators through effective signage, training and regular safety audits is of paranount importance.

Catch up on the most-well viewed radiology content in May 2024.

Catch up on the top radiology content of the past week.