
Reportedly the smallest and thinnest implantable spinal cord stimulator (SCS) device, the Inceptiv closed-loop SCS modality allows access to 1.5T and 3T full-body MRI without power restrictions.

Reportedly the smallest and thinnest implantable spinal cord stimulator (SCS) device, the Inceptiv closed-loop SCS modality allows access to 1.5T and 3T full-body MRI without power restrictions.

The use of continuous ofatumumab in patients within three years of a relapsing multiple sclerosis diagnosis led to substantial reductions in associated lesions on brain MRI scans, according to research recently presented at the American Academy of Neurology (AAN) conference.

Catch up on the top radiology content of the past week.

Catch up on the most-well viewed radiology content in March 2024.

Offering improved image clarity capable of capturing details of subtle pathology, the Magnetom Terra.X 7T MRI system reportedly features the first eight-channel parallel transmit architecture for clinical use.

SyMRI 3D reportedly combines precise estimates of regional brain volume with improved resolution bolstering accuracy with lesion analysis.

The multimodality system nCommand Lite reportedly facilitates real-time remote imaging guidance on scanning parameters and procedure assessments to licensed technologists for a variety of imaging modalities including CT and MRI.

Catch up on the top radiology content of the past week.

Emphasizing optimal balancing of patient safety and image quality, these authors discuss the impact of the specific absorption rate and B1+rms parameters upon radiofrequency exposure with MRI exams.

Catch up on the most-well viewed radiology content in February 2024.

Catch up on the top AI-related news and research in radiology over the past month.

Catch up on the top radiology content of the past week.

For people with COVID-19 related brain fog, emerging dynamic contrast-enhanced MRI (DCE-MRI) research findings revealed blood-brain barrier disruption in multiple brain regions, including temporal lobes and the frontal cortex, up to a year after active infection.

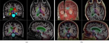
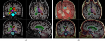
Offering rapid automated segmentation of brain structures, the ClearPoint 2.2 software reportedly enhances visualization for a variety of targeted, MRI-guided procedures.

Catch up on the top radiology content of the past week.

The adjunctive use of AI software led to 16 percent and 10 percent increases in sensitivity rates for the detection of ARIA-E and ARIA-H, respectively, in patients with Alzheimer’s disease, according to newly published research.

Catch up on the top radiology content of the past week.

In contrast to high-school athletes from non-contact sports, adolescent football players had a variety of brain changes, including numerous areas of cortical thinning, increased sulcal depth and decreased coherence of neural signals in the frontal and medial regions, according to newly published magnetic resonance imaging (MRI) research.

Catch up on the most-well viewed radiology content in January 2024.

Catch up on the top radiology content of the past week.

Catch up on the top AI-related news and research in radiology over the past month.

The syngo Virtual Cockpit platform reportedly enables remote access and image acquisition for CT, MRI and positron emission tomography (PET), and facilitates clinician collaboration across multiple sites.

Catch up on the top radiology content of the past week.

Given the frequent challenges in magnetic resonance imaging that are associated with claustrophobia, this author discusses innovations in noise reduction, radiofrequency coils and wide bore scanners, and emphasizes keys to relieving patient anxiety.

Utilized for neurological procedures including biopsies, catheter placement and electrode introduction, the SmartFrame OR Stereotactic System can be combined with preoperative MRI or CT to ensure optimal placement of devices and instruments.