
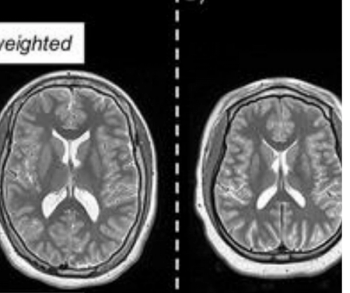
New research suggests that an emerging predictive biomarker, derived from a combination of magnetic resonance imaging (MRI) brain scans and a machine learning algorithm, has significantly greater accuracy than previously established measurements for diagnosing Alzheimer’s disease.































