
The new software for the Swoop® Portable MR Imaging system reportedly enhances the signal-to-noise ratio for diffusion-weighted imaging (DWI) sequences by 42 percent in comparison to the previous software.

In the study of 119 patients who had endovascular treatment for intracranial atherosclerotic stenosis, multivariable analysis revealed that post-op ischemic brain lesions on diffusion-weighted magnetic resonance imaging (MRI) were 3.6 times more likely to occur in patients who smoke cigarettes and 2.9 times more likely in patients who had multiple operative attempts.

The new software for the Swoop® Portable MR Imaging system reportedly enhances the signal-to-noise ratio for diffusion-weighted imaging (DWI) sequences by 42 percent in comparison to the previous software.

Catch up on the top AI-related news and research in radiology over the past month.

Catch up on the top radiology content of the past week.

The upgraded, artificial intelligence (AI)-enabled software for the Swoop® Portable MR Imaging System reportedly enhances the device’s signal-to-noise ratio for diffusion-weighted imaging (DWI) sequences.

Catch up on the top radiology content of the past week.

In a study of over 9,000 children that examined structural magnetic resonance imaging (MRI) data as well as parent and child self-reporting of adversity-related measures, researchers found that greater exposure to adversities for Black children was linked to lower gray matter volume in the amygdala and multiple subregions of the prefrontal cortex in comparison to White children.

Check out the top radiology content of the past week.

Catch up on the most well-read magnetic resonance imaging (MRI) articles from 2022.

Catch up on the most well-viewed video interviews from Diagnostic Imaging in 2022.

Touching on a variety of topics in radiology, here are the top five most well-read articles from Diagnostic Imaging in 2022.

Catch up on the top radiology content of the past week.

Recently launched at the Radiological Society of North America (RSNA) conference, the SIGNA Experience reportedly features synergistic technologies and artificial intelligence (AI) advances that help improve the efficiency and quality of magnetic resonance imaging.

Researchers found that even low amounts of alcohol consumption in pregnant women can lead to early and diffuse structural changes in brain regions related to key functions including language development.

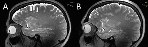
New magnetic resonance imaging (MRI) research suggests a significant link between deep white matter hyperintensity severity and increased quantity of enlarged perivascular spaces in the centrum semiovale among people with migraines.

COVID-19 may cause changes in the brain stem and frontal lobe that could lead to fatigue, impacts in motor signal processing, insomnia, and depression, according to emerging research recently presented at the Radiological Society of North America (RSNA) annual conference in Chicago.

Catch up on the top radiology content of the past week.

New magnetic resonance imaging research shows earlier brain aging in middle-age Black individuals with researchers suggesting that cumulative exposure to stress over socioeconomic and environmental adversities may be a key contributing factor.

Emerging research has revealed findings on diffusion magnetic resonance imaging (MRI) correlational tractography that may help neuroradiologists differentiate between autism spectrum disorder (ASD) and developmental coordination disorder (DCD).

Catch up on the top AI-related radiology content of the past month.

Catch up on the top radiology content of the past week.

For physicians performing radiotherapy treatment of soft tissue tumors in the head and neck, the MRCAT Head and Neck offers an artificial intelligence (AI) application that allows the use of magnetic resonance imaging (MRI) as the primary or sole imaging for procedure planning.

While facilitating interdisciplinary colloaboration is a central objective with enterprise imaging platforms, this author says implementation of these platforms must ensure optimal patient privacy in sensitive cases involving abuse, assault and domestic violence.

Catch up on the top radiology content of the past week.

While current consensus guidelines do not recommend the use of brain MRI screening in patients with breast cancer, a new study shows significantly elevated risks for the development of central nervous system metastasis in patients with inflammatory breast cancer.

Incorporating artificial intelligence (AI)-based technology, Neosoma HGG reportedly demonstrated a 95.5 percent accuracy rate in measuring brain tumor volume on brain magnetic resonance imaging (MRI) scans at various points during the treatment of patients with high-grade gliomas.