
|Articles|August 23, 2022
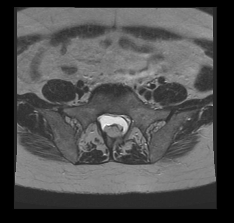
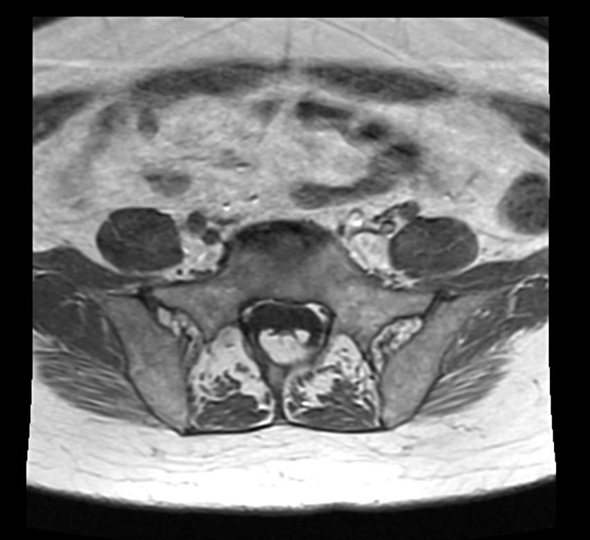
Image IQ Quiz: Elderly Female with Low Back Pain
Author(s)Diagnostic Imaging Staff
What is the diagnosis?
Advertisement
Case submitted via
An elderly female presents with low back pain. What is the most likely imaging finding?
Newsletter
Stay at the forefront of radiology with the Diagnostic Imaging newsletter, delivering the latest news, clinical insights, and imaging advancements for today’s radiologists.
Advertisement
Latest CME
Advertisement
Advertisement
Trending on Diagnostic Imaging
1
Fujifilm Sonosite Unveils Next-Generation Point-of-Care Ultrasound Device
2
Can Contrast-Enhanced Mammography Offer a Viable Option for Pre-Op Assessment of Pathologic Nipple Involvement?
3
A Closer Look at New Guidelines for Molecular Imaging of Renal Masses: An Interview with Steven Rowe, MD, Part 1
4
FDA Grants De Novo Approval for Home Use of Prenatal Ultrasound Platform
5






























