
Disease Spotlight: Prostate Cancer
Latest News


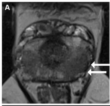
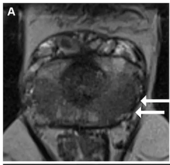
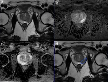
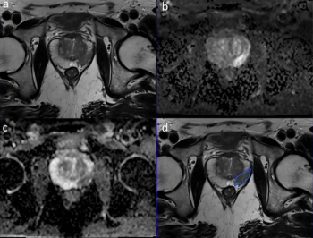
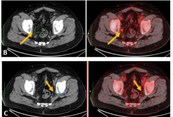
Study: MRI-Based AI Enhances Detection of Seminal Vesicle Invasion in Prostate Cancer

FDA Clears AI-Powered Prostate Volume Measurement for Handheld Ultrasound
Latest Videos

CME Content
More News

Microultrasonography-guided biopsy offered comparable detection as MRI/conventional ultrasound-guided biopsy in detection of Gleason grade group 2 or higher prostate cancer, according to a new international multicenter study.

Indicated for use in cases involving suspected metastasis with PCa or suspected PCa recurrence due to elevated PSA level, Gozellix reportedly has a longer shelf life than other gallium-based PET imaging products.

While DCE MRI was deemed helpful in over 67 percent of cases in which it was used, researchers found that monitored prostate MRI exams, which facilitated a 75 percent reduction of DCE MRI sequences, had comparable sensitivity for prostate cancer as non-monitored exams.

Researchers noted the combination of AI and bpMRI had an average AUC of 91 percent for csPCa detection in contrast to 78 percent for unassisted radiologist interpretation in a recent meta-analysis.

In an 18-study meta-analysis involving over 4,600 patients, researchers found that bpMRI and mpMRI had equivalent pooled negative predictive value (NPV) of 92 percent for clinically significant prostate cancer (csPCa).

A deep learning-enhanced ultra-fast bpMRI protocol offered similar sensitivity for csPCa as mpMRI with an 80 percent reduction in scan time, according to research findings presented at the European Congress of Radiology (ECR) conference.

Catch up on the most-well viewed prostate imaging content in February 2025.

In a multicenter study involving over 1,000 patients, a deep learning software offered comparable sensitivity and specificity for Gleason grade group > 2 tumors in comparison to radiologist interpretation.

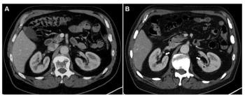
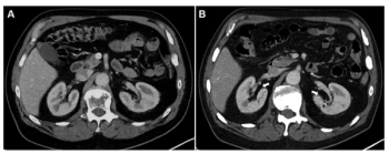
In patients who had at least four cycles of 177Lu-PSMA-I&T for mCRPC, new research shows that a 10 percent or greater decrease in total kidney volume on CT at six months has a 90 percent AUC for predicting estimated glomerular filtration rates (eGFRs) of 30 percent or greater at one year.

In a recent literature review, researchers offered insights on current considerations with prostate MRI and discussed keys to effective use of the modality in screening for prostate cancer.

The PET radiopharmaceutical SAR-bisPSMA has garnered three FDA fast track designations in a six-month period for use in the detection and management of prostate cancer.

Researchers found that patients with high PSA density have more than double the risk of false-negative findings on prostate MRI and those with low PSA density are significantly less likely to have false-positive results.

18F-DCFPyL facilitated detection of recurrent prostate cancer in 51 percent of patients with PSA levels ranging between 0.2 to 0.5 ng/ml, according to new research presented at the American Society of Clinical Oncology Genitourinary Cancers (ASCO-GU) Symposium.

The PET/CT agent 18F-PSMA-1007 offered the highest surface under the cumulative ranking curve (SUCRA) out of nine radiotracers at the patient and lesion level for detecting clinically significant prostate cancer (csPCa), according to a meta-analysis.

In external validation testing, a deep learning model demonstrated an average AUC of 87.6 percent for detecting clinically significant prostate cancer (csPCA) on prostate MRI for patients with PI-RADS 3 assessments.

In addition to an August FDA fast track designation for PSMA PET imaging in patients with suspected metastasis, the radiopharmaceutical 64Cu-SAR-bisPSMA has earned another fast track designation for imaging of biochemical recurrence.

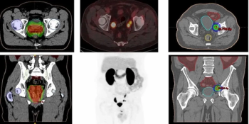
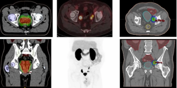
Doubling of total tumor volume on PSMA PET/CT is 41 percent more likely to reduce overall survival in patients with metastatic castration-resistant prostate cancer (mCRPC), according to new research.

An emerging deep learning radiomics model based on biparametric MRI (bpMRI) offered a 14 to 17 percent higher AUC range than PI-RADS scoring for predicting the aggressiveness of prostate cancer, according to new research findings.

Deep learning synthesis of contrast-enhanced MRI from non-contrast prostate MRI sequences provided an average multiscale structural similarity index of 70 percent with actual contrast-enhanced prostate MRI in external validation testing from newly published research.

Employing baseline MRI and clinical data, an emerging deep learning model was 32 percent more likely to predict the progression of low-risk prostate cancer (PCa) to clinically significant prostate cancer (csPCa), according to new research.

In patients with high-risk, hormone sensitive prostate cancer who had no evidence of metastasis on conventional imaging, PSMA PET revealed polymetastatic disease in 24 percent of patients and M1 disease staging in 46 percent of patients.

For patients with localized prostate cancer and PI-RADS 3 or higher lesions, MRI-guided micro-ultrasound multifiber focal laser ablation had an 18 percent recurrence rate at one year, according to newly published research.

Touching on a variety of topics in radiology, here are the top five most well-viewed content from Diagnostic Imaging in 2024.

Catch up on the most well-viewed prostate imaging content from 2024.

Catch up on the top radiology content of the past week.





































