
Catch up on the most-well viewed radiology content in July 2024.

Should MRI be Mandatory Prior to Active Surveillance Decisions for Patients with Intermediate Risk Prostate Cancer?

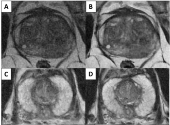
MRI Study Suggests Deep Learning Model Offers Equivalent Detection of csPCa as Experienced Radiologists

Catch up on the most-well viewed radiology content in July 2024.

Catch up on the most-well viewed prostate cancer imaging content in July 2024.

A model that combines MRI-based deep learning radiomics and clinical factors demonstrated an 84.8 percent ROC AUC and a 92.6 percent precision-recall AUC for predicting perineural invasion in prostate cancer cases.

In comparison to systematic biopsy, researchers found that mpMRI-targeted biopsy had a nine percent higher detection rate for cribriform and intraductal prostate cancer subtypes that are associated with adverse outcomes.

Catch up on the top radiology content of the past week.

The MIM Software HDR Prostate reportedly enables clinicians to utilize preoperative MRI guidance and live ultrasound imaging to enhance tumor visualization during high dose-rate (HDR) brachytherapy treatments for prostate cancer.

For men with prostate cancer, new research demonstrates that 18F-PSMA-1007 PET/CT is 17 percent more accurate than mpMRI at identifying the final pathological tumor stage and 12 percent more accurate in detecting extracapsular extension.

In preliminary research, the targeted alpharadiotherapy agent 225Ac-FL-020 has demonstrated superior antitumor activity in xenograft models and a favorable safety profile.

The combination of deep learning assessment of prostate MRI with PI-RADS classification at a 15 percent risk threshold spared 49 percent of biopsies in comparison to 37 percent employing a PI-RADS>4 only cut-ff approach, according to new research.

Catch up on the most-well viewed radiology content in June 2024.

For patients with oligorecurrent prostate cancer, the use of PSMA PET/CT guidance for metastasis-directed therapy (MDT) provided over 19 months more median progression-free survival than choline PET/CT guidance, according to newly published research.

In comparison to radiologists, new MRI research shows an emerging artificial intelligence (AI) model demonstrated a higher AUROC and a 14.8 percent higher positive predictive value for detecting prostate cancer at a mean PI-RADS 3 or greater operating point.

Catch up on the top radiology content of the past week.

Artificial intelligence (AI) assisted contouring of prostate cancer demonstrated superior balanced accuracy than manual standard-of-care contouring and hemigland contouring with MRI, according to a new study.

In a recent interview at the SNMMI conference, David Gauden, D.Phil, discussed key findings from new research evaluating the use of the PET radiotracer 18F-flotufolastat in patients with primary prostate cancer (PCa) and men with biochemical recurrence of PCa.

Deep transfer learning may elevate the capability of whole-body PET/CT scans to diagnose multiple cancers, ranging from breast cancer and lung cancer to melanoma and prostate cancer, according to new research presented at the SNMMI conference.

In an interview at the SNMMI 2024 conference, Oliver Sartor, M.D. discussed key findings from new award-winning research evaluating the potential of Pluvicto in treating patients with taxane-naïve metastatic castration-resistant prostate cancer (mCRPC).

In a cohort of 85 patients with biomechanical recurrence of prostate cancer and PSA values less than 2 ng/mL, positive findings on PET imaging with PSMA-18F DCFPyL led to treatment changes in the majority of patients who had negative findings on conventional imaging, according to new research presented at the SNMMI conference.

Catch up on the top radiology content of the past week.

Developed by an extended prostate cancer working group of the European Society of Urogenital Radiology (ESUR), the updated PI-QUAL scoring system emphasizes a simplified scale of image parameters that applies to prostate MRI scans with and without intravenous contrast use.

Emphasizing restriction spectrum imaging (RSI), the recently launched prostate MRI software OnQ Prostate may enhance PI-RADS assessments and workflow efficiency.

New prospective research examining the utility of 18F-PSMA-1007 PET/CT revealed comparable sensitivity to mpMRI for detecting clinically significant prostate cancer and a 17 percent higher specificity rate.

The artificial intelligence (AI)-powered module provides a prostate segmentation tool for MRI-guided transurethral ultrasound ablation (TULSA) procedures in patients with prostate cancer.

Using a learning network model to discuss challenges and share insights among radiology departments from five different organizations, researchers noted that 87 percent of audited prostate MRI exams had PI-QUAL scores > 4 at the conclusion of the collaborative program.

In a study involving over 1,000 visible prostate lesions on biparametric MRI, a deep learning algorithm detected 96 percent of clinically significant prostate cancer (csPCa) in comparison to a 98 percent detection rate for an expert genitourinary radiologist.