
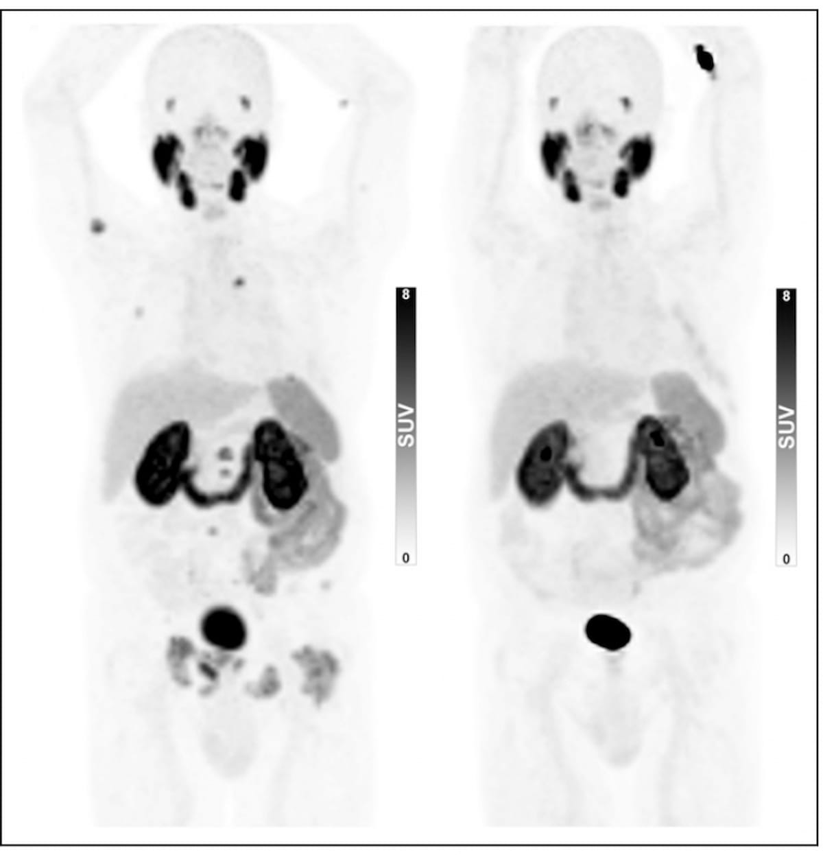
Examining the use of the Response Evaluation Criteria in Prostate-specific Membrane Antigen (PSMA) PET/CT (RECIP 1.0) model for assessing the treatment of metastatic castration-resistant prostate cancer, researchers found robust agreement between quantitative application of RECIP via tumor segmentation software and qualitative application of the model through reads by nuclear medicine physicians.
















































