
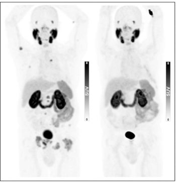
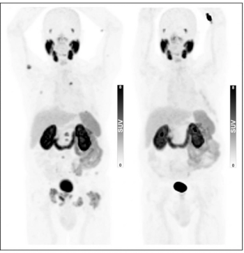
Fifty-seven percent of patients with prostate cancer diagnosed with osseous metastases on bone scans had negative findings on PSMA PET imaging, according to findings from an international multicenter comparative study.

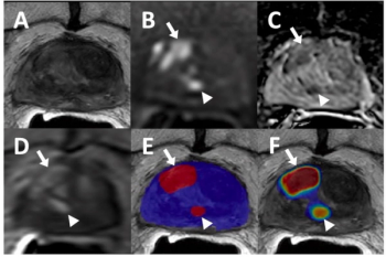
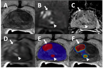
Utilizing a deep learning-based AI algorithm to differentiate between diagnostic and non-diagnostic quality of prostate MRI facilitated a 10 percent higher specificity rate for diagnosing extraprostatic extension on multiparametric MRI, according to research presented at the recent RSNA conference.

Fifty-seven percent of patients with prostate cancer diagnosed with osseous metastases on bone scans had negative findings on PSMA PET imaging, according to findings from an international multicenter comparative study.

Catch up on the top radiology content of the past week.

The Current Procedural Terminology (CPT) Category III code for the Unfold AI prostate cancer mapping platform can be utilized by radiologists starting in July 2024.

Catch up on the top radiology content of the past week.

Emerging research findings suggest that a longer prostatic urethral length on MRI is associated with a 70 percent increased risk of grade >2 acute urinary toxicity after radiotherapy for prostate cancer.

Catch up on the top radiology content of the past week.

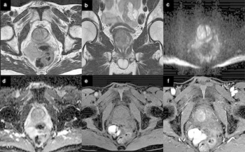
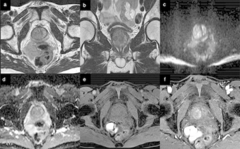
In a study of 355 multiparametric prostate MRI exams from a total of 71 scanners from 41 facilities in 18 countries, researchers found that only 23 scanners achieved a PI-QUAL score of 5 for optimal image quality.

In a recently published literature review, researchers examined the potential impact of advanced sequences, scanners, patient preparation and AI on image quality for prostate MRI exams.

Catch up on the top radiology news of the past week.

In a recent video interview, Ashesh Jani, M.D., discussed a subset analysis from the SPOTLIGHT trial that examined the utility of the PET PSMA agent flotufolastat F 18 (Posluma) for detecting prostate cancer recurrence in men with low PSA levels lower than 1 ng/mL.

Catch up on the top radiology news of the past week.

The transitional pass-through payment reimbursement code for the FDA-approved PSMA PET agent for prostate cancer detection will be effective as of October 1, according to the Centers for Medicare and Medicare Services (CMS).

For patients who had previous radiotherapy for prostate cancer (PCa), researchers found that a biparametric MRI-based deep learning model demonstrated an 81.5 percent sensitivity rate for PCa recurrence in patients previously treated with external beam radiation treatment (EBRT) and 100 percent sensitivity in patients with greater than 34 ml in gland volumes.

Catch up on the top radiology news of the past week.

In a study of over 300 patients, researchers saw no significant differences in upgrading or downgrading of prostate cancer assessment on MRI with PI-RADS 2.1 in comparison to PI-RADS 2.0

Catch up on the top radiology content of the past week.

For men with PSA scores between 4 to 10 ng/mL, a multivariate prediction model that incorporates 68Ga-PSMA PET/CT had a 92.7 AUC for predicting clinically significant prostate cancer, according to newly published research.

Catch up on the top radiology content of the past week.

In a study of over 23,000 men who had PSA testing, researchers found that the adoption of pre-biopsy MRI resulted in a 21 percent decrease in negative biopsies and a 37 percent increase in the proportion of diagnosed Gleason score 7 to 10 prostate cancers.

Catch up on the top radiology content of the past week.

Wayne G. Brisbane, MD, of the University of California, Los Angeles, discussed the challenges of focal therapy for prostate cancer and how Unfold AI can help improve the accuracy of this treatment, as well as help counsel patients during the treatment decision process.

Catch up on the top radiology content of the past week.

Two-thirds of men with a positive screening MRI for prostate cancer had PSA levels below 3 ng/mL and 91 percent of these men had clinically significant prostate cancer, according to newly published research.

Catch up on the top radiology content of the past week.

For patients 80 years of age or older that have a PSA level at 20 ng/mL or higher, PSMA PET/CT has a high likelihood of success in diagnosing and staging prostate cancer regardless of pre-imaging biopsy use, according to newly published research.