
Catch up on the top radiology content of the past week.


Catch up on the top radiology content of the past week.

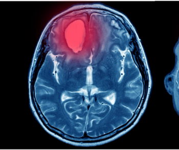
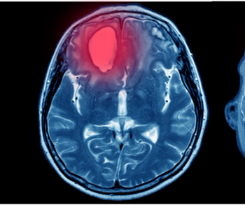
Viz.ai said the Viz Subdural Hematoma (SDH) artificial intelligence (AI) algorithm provides automatic detection of acute and chronic subdural hemorrhages, facilitating timely triage and treatment of patients.

Catch up on the top radiology content of the past week.

The system has an open architectural design to allow for third-party integrations.

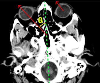
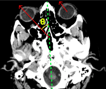
Artificial intelligence (AI) accurately diagnosed 79 percent of proximal large vessel occlusions with an ipsiversive gaze deviation on non-contrast computed tomography (CT), according to new research findings presented recently at the Society of Neurointerventional Surgery’s (SNIS) 19th Annual Meeting in Toronto.

The imaging agent is approved for use in 50 countries in Europe and Asia, but is not currently approved in the US.

Catch up on the top radiology content of the past week.

RapidAI’s Rapid Hyperdensity tool reportedly allows quicker assessment of hyperdense tissue in the brain via non-contrast computed tomography (CT) scans.

In a video interview, Morris Panner, the president of Intelerad Medical Systems, discussed key observations from the recent Society for Imaging Informatics in Medicine (SIIM) conference, recent research about artificial intelligence (AI) adoption and emerging goals for enhancing the efficiency of radiology workflows.

The Food and Drug Administration (FDA) has given the green light to Bayer to import foreign-labeled iopromide (Ultravist) to help alleviate ongoing supply challenges with iodinated contrast media in the United States.

In a video interview, Jonathan Dillman, MD, MSc discussed a recently published statement from the American College of Radiology (ACR) that questioned the literature support for a March guidance from the Food and Drug Administration (FDA) about thyroid monitoring for children three years of age or younger within three weeks of exposure to iodinated contrast media (ICM).

Catch up on the top radiology news of the past week.

Calantric™ Digital Solutions reportedly offers artificial intelligence (AI)-powered apps, bolsters lesion detection, facilitates triage priorities and enhances workflow efficiency.

In a recent video interview, neurologist Pardis Zarifkar, MD discussed a new study that found significantly elevated risks for Alzheimer’s disease and Parkinson’s disease among patients who tested positive for COVID-19.

Catch up on the top radiology news of the past week.

As the iodinated contrast media shortage continues to have a significant adverse effect on radiology, these authors assess the pros and cons of emerging strategies and imaging alternatives.

In what may be the largest study to date to examine the use of whole-body imaging to assess multisystem thrombosis in patients with COVID-19 vaccine-induced immune thrombotic thrombocytopenia, researchers found multiple sites of thrombosis in 83 percent of patients who had additional CT, MRI and/or ultrasound imaging beyond the area of their primary complaint.

Whether it is humorous associations with common terminology, oddities on X-rays or decidedly uncomfortable imaging findings, this author shares a few chuckles from his experience.

The newly FDA-cleared Symbia Pro.specta SPECT/CT Scanner, which reportedly offers a variety of enhanced capabilities including low-dose CT up to 64 slices and intuitive workflow guides, was launched at the Society of Nuclear Medicine and Molecular Imaging (SNMMI) 2022 Annual Meeting.

Catch up on the top radiology content of the past week.

The new workload management system reportedly emphasizes predictive analytics to facilitate efficient workload distribution and increase reading capacity for radiologists.

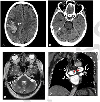
A 3D whole brain convolutional neural network could provide enhanced sensitivity and specificity for diagnosing intracranial hemorrhages on computed tomography, according to new research presented at the Society for Imaging Informatics in Medicine (SIIM) conference in Kissimmee, Fla.

Do we settle for oblique truths more often than not to mitigate potential repercussions?

Catch up on the top radiology content of the past week.

In a recent video interview on the current iodinated contrast media shortage, neuroradiologist Sean Bryant, MD discussed imaging alternatives, emphasized communication with referring physicians on optimal studies, and discussed the ongoing need to prevent “protocol creep” with timely updates of imaging protocols.