
|Articles|February 24, 2022
Image IQ Quiz: Young Female with a Headache
Author(s)Diagnostic Imaging Staff
What is your diagnosis?
Advertisement
Case submitted by
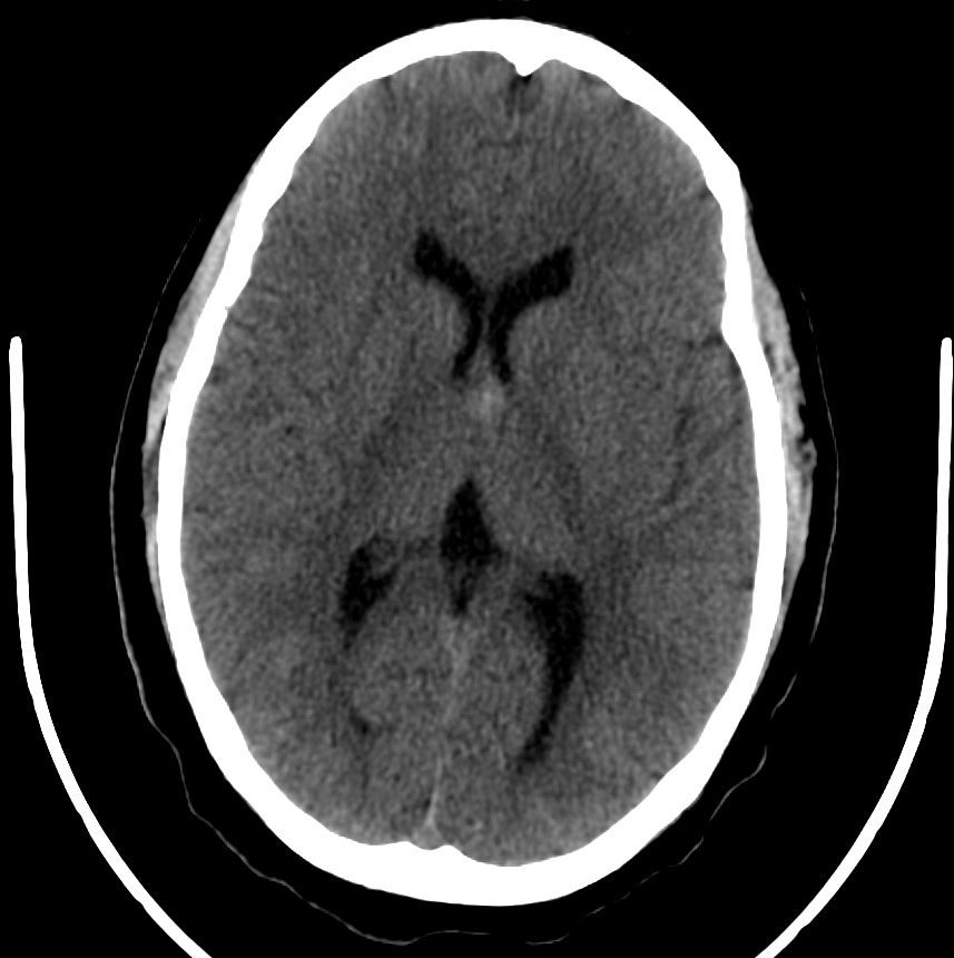
A young female presents with a headache. What do the images reveal?
Newsletter
Stay at the forefront of radiology with the Diagnostic Imaging newsletter, delivering the latest news, clinical insights, and imaging advancements for today’s radiologists.
Advertisement
Latest CME
Advertisement
Advertisement
Trending on Diagnostic Imaging
1
Predicting Interval Breast Cancer Risk: Can a Mammography Deep Learning Model Have an Impact?
2
Ultrasound Renal Denervation System for Hypertension Garners CMS National Coverage Determination
3
Emerging AI Software for CT Plaque Analysis ‘Revolutionizes’ Carotid Artery Assessment
4

































