
|Articles|February 17, 2022
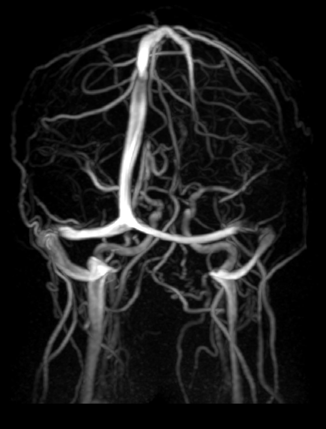
Image IQ Quiz: 25-Year-Old Male with a Headache
Author(s)Diagnostic Imaging Staff
What is your diagnosis?
Advertisement
Case submitted by
What do the images reveal in a 25-year-old male with a headache?
Newsletter
Stay at the forefront of radiology with the Diagnostic Imaging newsletter, delivering the latest news, clinical insights, and imaging advancements for today’s radiologists.
Advertisement
Latest CME
Advertisement
Advertisement
Trending on Diagnostic Imaging
1
Nine Takeaways from New Review of PSMA PET/CT and Whole-Body MRI for Advanced Prostate Cancer
2
Study Shows Merits of CT Vascular Sign for Differentiating Solid Pulmonary Nodules
3
Prospective Study Shows Capability of CXR AI to Detect Early-Stage Lung Cancer in Young Patients and Never Smokers
4






























