
Advanced imaging shows Parkinson’s can begin as brain-first or body-first.

Advanced imaging shows Parkinson’s can begin as brain-first or body-first.

Portable, Low-field MRI; COVID-19 and Cardiac MRI; High-Intensity Focused Ultrasound; Coronary CTA Guidance; and Pediatric Advanced Imaging Utilization

Point-of-care, 64mT MRI performs as well as conventional CT and MRI while improving patient safety.

By capturing changes to the hippocampus, MRE can pinpoint brain damage early before epilepsy becomes medication resistant.

Cerebral infarction and hemorrhage are more common in severe cases while cranial nerve abnormalities affect patients with milder disease.

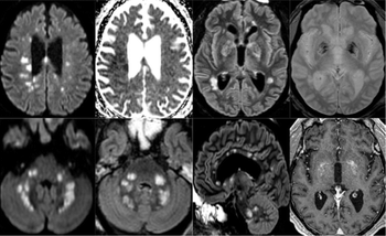
Images reveal hypertension can be significant risk factor for CSVD.

Products focus on Alzheimer’s disease, traumatic brain injury, and accelerating clinical translation.

Emergency providers are utilizing more ultrasound and MRI scans, fewer CTs.

COVID-19, Stroke, and Heart Damage; Limitations of Digital Breast Tomosynthesis; Guidance for Pediatric CTA; and Micro-Ultrasound and Prostate Cancer

Clinicians should adopt a lower threshold for evaluating patients for stroke and providing care.

Responders who have cognitive impairment have reduced gray matter thickness in the brain consistent with neurodegenerative conditions.

18F-FDG PET/MRI can identify pain generator locations, leading to changes in pain management.

Diagnostic Imaging's Weekly Scan; July 10, 2020

Case study results show patient has brain connectivity similar to healthy individuals, pointing to positive prognosis possibilities.

Diagnostic Imaging's Weekly Scan: July 3, 2020

Scans used, for the first time, to examine relationship between neocortex and cognitive decline.

T1 mapping has the potential to determine neuroblastoma aggressiveness, as well as early efficacy of treatment.

Convolutional neural network accurately identifies “mass effect” lesions in more than 50 disease entities.

Image analysis method allows clinicians to more accurately see changes in the brains of patients with schizophrenia based on specific therapies.

Diagnostic Imaging Weekly Scan: June 26, 2020

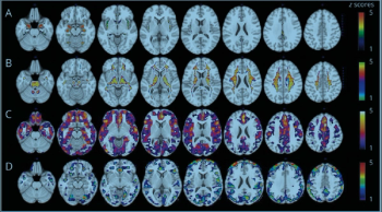
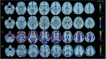
Women score worse than men in four key brain health areas associated with Alzheimer’s biomarkers.

Modified dynamic contrast-enhanced MRI can pinpoint a leaky blood-brain barrier in both active and retired players.

Diagnostic Imaging's Weekly Scan: June 19, 2020

MRI images captured on female rugby players reveal long-lasting impacts of head impacts on the brain.

Three patterns emerge in patients analyzed in multi-institutional study.