
Here's what to expect this week on Diagnostic Imaging.

Here's what to expect this week on Diagnostic Imaging.

Brain regions that control memories and imagination are more tightly connected in people who get lonely.

68Ga-pentixafor can clearly distinguish between healthy and malignant tissue on both CT and MRI scans.

A combination of acoustic imaging methods and algorithms offers a better method to explore the brain’s gray and white matter.

Machine learning can pinpoint specific activity patterns in the brain that could lead to more targeted therapies.

The 16-channel head adaptive image receive radiofrequency coil opens the door for greater comfort and future coil design improvements.

Differences in cortical thickness development correlates to cognitive differences and could be involved in increased risk for mental illness.

Novel deep learning model can provide needed information from multi-modal imaging even when some modalities are absent.

7T MRI and MR-Guided Focused Ultrasound present new clinical opportunities in the pipeline.

The mechanisms, magnitude, manifestations, and management of stroke during the pandemic.

Advanced imaging can help pinpoint the location and cause of lingering nerve damage in patients who have recovered from the virus.

fMRI scans show that babies’ brain activity can be influenced through associative learning, presenting a potential strategy for promoting the development of life-long skills in infants who have injured brains.

Brain MRI scans reveal that anxiety is independently associated with a faster progression from mild cognitive impairment to Alzheimer’s disease.

Basic photographs paired with AI technique can pick up on retinal changes that are early signs of the progressive central nervous system disorder.

Magnetic resonance spectroscopy reveals neurochemical abnormalities that shed light on how the virus impacts the brain.

Older women exposed to higher levels of air pollution can experience a 24-percent increase in Alzheimer’s risk.

Approximately half of all patients who experience stroke, brain bleeds, or blocked blood vessels, identified on MRI or head CT in this study, had high blood pressure or type 2 diabetes.

New scanner is designed to augment neurological and musculoskeletal imaging functions.

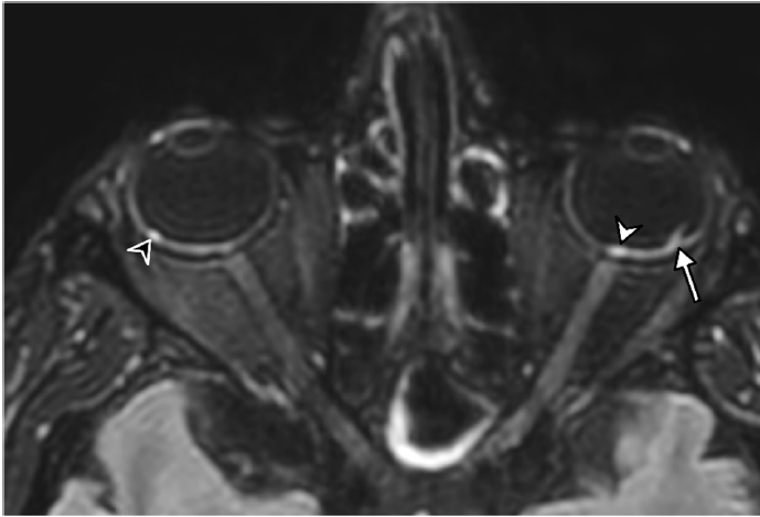
Identification of facial nerves impacted by this condition increases dramatically with DCE-MRI.

Certain parts of the brain respond differently to hot-button language found in campaign ads and speeches.

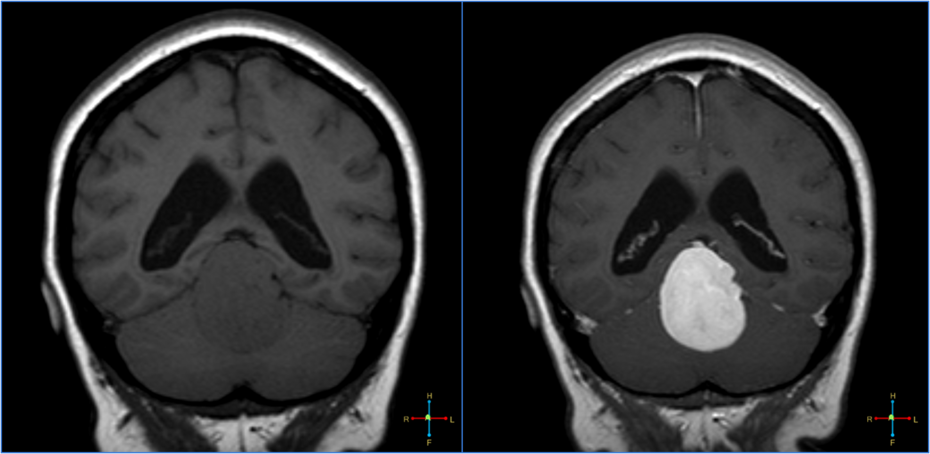
A convolutional neural network can accurately measure skeletal muscles, helping predict patient survival.

Interventional radiologists are uniquely positioned to practice stroke intervention.

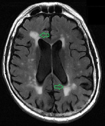
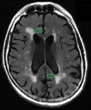
A tool that objectively measures the volume of white matter lesions can accurately pinpoint evidence of early dementia.

Here's what to expect this week on Diagnostic Imaging.

Worldwide effort will amass large datasets from institutions that can be used to identify long-term traumatic brain injury and augment therapies.