
Scans show greater amyloid accumulation in the brains of older adults who get less than six hours sleep nightly.

Scans show greater amyloid accumulation in the brains of older adults who get less than six hours sleep nightly.

49-channel device tracks the brain’s electrophysiological processes and can be an effective imaging option for children or patients who have difficulty being still.

Duke researchers determined task-fMRI does not produce reliable predictions individuals will respond in particular circumstances or future mental health.

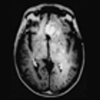
Iranian researchers diagnosed ischemic stroke in COVID-19-positive child with no other symptoms.

Technologist positive for the virus experienced a loss of smell and altered sense of taste.

For use with PET imaging, the radiopharmaceutical helps estimate density and distribution of tau, a marker of Alzheimer's disease.

Half of patients hospitalized who have neurological findings for acute stroke could die.

Diagnostic Imaging poses five questions about recent COVID-19 and neurological research to UCSF Radiology Chair Christopher Hess, M.D.

Concentration on virus-related scans largely sidelines other imaging needs.

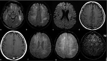
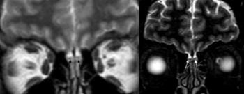
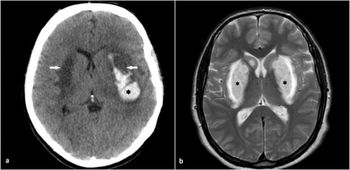
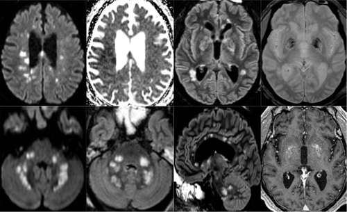
Multiple brain regions and cerebral spinal fluid can be affected.

Deep-learning model outperformed neuroradiologists in predicting risk for disease development.

Accurate measures of brain volume could bolster assessments of neurological health.

Diagnosic Imaging talks with Khan Siddiqui, M.D., chief medical officer and chief strategy officer of bedside MRI company, Hyperfine.

Superconducting head MRI approved for use in critical care environments.

Yale neurologist share first-hand experience with scanning patients positive for the virus.

An artificial intelligence algorithm uses 3D MRI images to identify a specific genetic mutation that prompts tumor development.

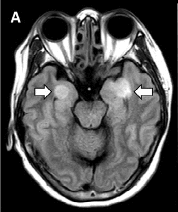
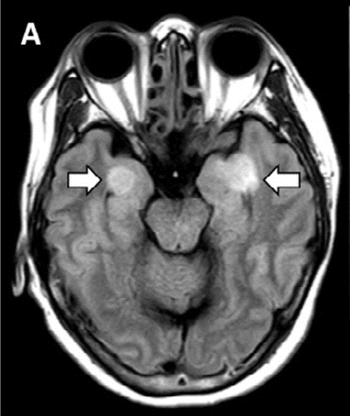
Images similar to those found in patients with anosmia associated with other types of coronavirus infections.

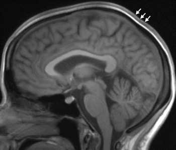
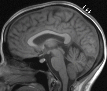
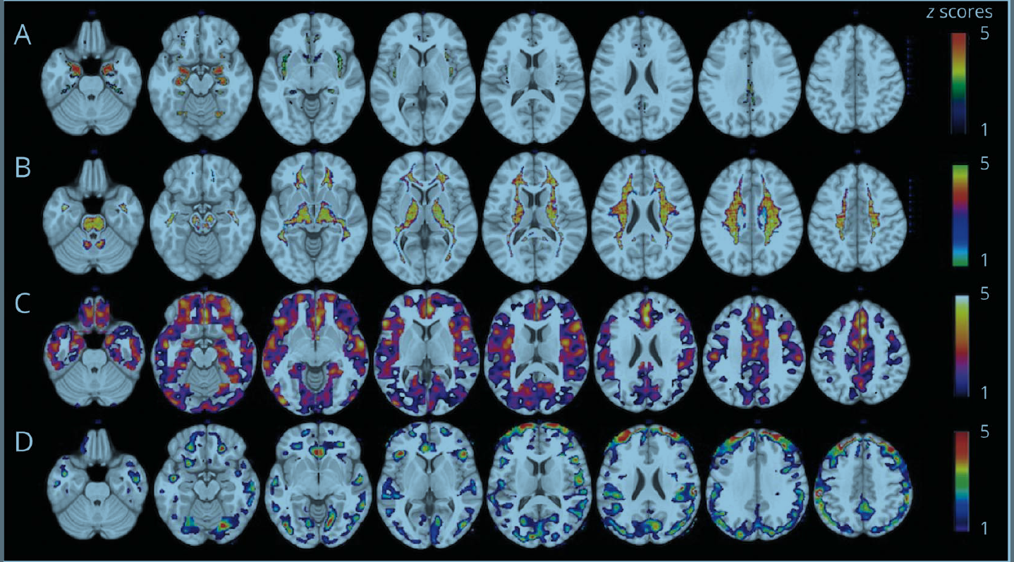
Astronauts experience a sustained increase in brain volume and other impacts.

CT and MRI scans show neurological impacts.

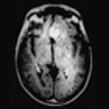
Case of acute necrotizing encephalopathy could be first of many.

Using MRI can identify which patients can benefit most from the blood test.

New MRI technique reveals iron accumulations that could lead to Parkinson’s dementia prediction.

Bedside MRI could offer stroke patients a safer alternative to conventional MRI.

Hyperfine’s portable MRI aimed at increasing imaging access and reducing cost.

American Headache Society published recommendations for when neuroimaging is most beneficial